Показания
В голеностопном суставе присутствуют три основные кости:
- Таранная кость. Также известная как надпяточная, она располагается в нижней части сустава и покрыта хрящом. Ее главная задача – равномерное распределение веса по стопе.
- Малоберцовая кость. Эта тонкая кость соединяется с таранной в нижней части, формируя наружную лодыжку.
- Большеберцовая кость. Это крупная кость голени, которая простирается от коленного сустава до голеностопного, образуя медиальную лодыжку.
Помимо костей, сустав включает в себя связки, сухожилия, мышцы, отвечающие за сгибание и разгибание стопы, а также нервные окончания.
Рентгенологическое исследование основывается на том, что мягкие ткани пропускают рентгеновские лучи, в то время как твердые их поглощают. В результате мышцы и кожа на рентгеновских снимках выглядят темными, а кости – светлыми. Эта способность четко отображать костные структуры делает рентген незаменимым инструментом для диагностики заболеваний костей.
Направление на рентген может дать хирург, травматолог, ортопед, невропатолог или онколог в зависимости от выявленной патологии.
Рентген голеностопного сустава назначается при следующих симптомах:
- болевые ощущения в суставе;
- ограничение движений;
- отечность;
- изменения формы сустава.
Эти симптомы могут указывать на различные патологии, для диагностики которых и проводится рентген:
- Травмы. Переломы, вывихи, разрывы связок и повреждения мышц могут произойти во время спортивных занятий, на скользкой поверхности или при неосторожных движениях. Пациенты обычно жалуются на боль, ограничение подвижности и отеки. На рентгенограмме можно увидеть переломы, смещения костей и признаки разрыва связок.
- Артрит. Воспалительные процессы вызывают сильные боли и отечность, а также могут сопровождаться лихорадкой и головной болью.
- Артроз. Это заболевание связано с разрушением хрящевой ткани. Основные симптомы включают боль, хруст и скрип в суставе. Нога может часто подворачиваться. На рентгеновских снимках заметно сужение суставной щели и образование остеофитов.
- Нарушения целостности и плотности костной ткани. Рентген может выявить низкую плотность, наличие жидкости, признаки эрозий и кист.
- Остеомиелит. Инфекционное заболевание проявляется образованием свищей, сильными болями, лихорадкой и отеками. На рентгенограммах видны участки мертвых тканей и полости с гноем.
- Новообразования. На снимках они выглядят как круглые очаги с ровными краями.
Рентген голеностопного сустава является важным диагностическим инструментом, который позволяет врачам оценить состояние костей и суставов. Специалисты отмечают, что данный метод помогает выявить переломы, вывихи и другие травмы, а также дегенеративные изменения, такие как остеоартрит. Врачи подчеркивают, что рентгенография может показать наличие воспалительных процессов, например, при подагре или инфекциях. Кроме того, рентген помогает в планировании хирургического вмешательства, если это необходимо. Однако важно помнить, что рентген не всегда дает полную картину, и в некоторых случаях может потребоваться дополнительная визуализация, такая как МРТ или УЗИ, для более точной диагностики.

Противопоказания
Лучевая нагрузка при рентгеновском обследовании голеностопного сустава составляет не более 0,01 мЗв, что эквивалентно менее чем однодневному естественному облучению. Максимально допустимая годовая доза составляет 150 мЗв. Таким образом, негативное воздействие рентгенографии на здоровье минимально.
Тем не менее, рентгеновские исследования не проводятся без крайней необходимости в следующих случаях:
- Беременные женщины. Это противопоказание связано с потенциальным вредом от облучения для плода, что может привести к изменениям в структуре ДНК и РНК, а также к риску развития злокачественных опухолей.
- В период лактации. После рентгеновского обследования рекомендуется сцеживать молоко.
- Дети до 15 лет. Ускоренный обмен веществ и активный рост клеток делают детей особенно уязвимыми к радиации. При рентгенографии грудных детей их защищают специальными средствами.
- Люди, для которых регулярно проводятся исследования, основанные на рентгеновских технологиях, для определения дальнейшей тактики лечения.
Важно! В течение одного дня рекомендуется делать не более одного рентгеновского снимка.
| Нахождение на рентгенограмме | Возможные патологии | Дополнительные исследования |
|---|---|---|
| Перелом костей голени (большеберцовой, малоберцовой) | Перелом со смещением, перелом без смещения, компрессионный перелом, оскольчатый перелом | КТ, МРТ, ангиография |
| Вывих голеностопного сустава | Вывих таранной кости, подвывих | КТ, МРТ |
| Сужение суставной щели | Остеоартроз, артрит | Анализ синовиальной жидкости, МРТ |
| Уплотнение костной ткани | Остеосклероз, костная опухоль | Биопсия, КТ, МРТ |
| Разрушение костной ткани | Остеопороз, опухоль кости, инфекционный артрит | Биопсия, КТ, МРТ, анализы крови |
| Изменение структуры костной ткани | Остеомиелит, болезнь Педжета | КТ, МРТ, анализы крови |
| Кальцификаты в мягких тканях | Тендинит, тендовагинит, отложение солей | УЗИ, МРТ |
| Инородные тела | Металлические осколки, другие инородные тела | |
| Деформация костей | Врожденные аномалии, последствия травм |
Как проводится
Рентгеновское исследование проводится в специально оборудованном кабинете, и для его выполнения не требуется никакой предварительной подготовки. Время, необходимое для процедуры, составляет около 10 минут.
Показания для рентгена зависят от предполагаемой патологии, что определяет методику проведения исследования:
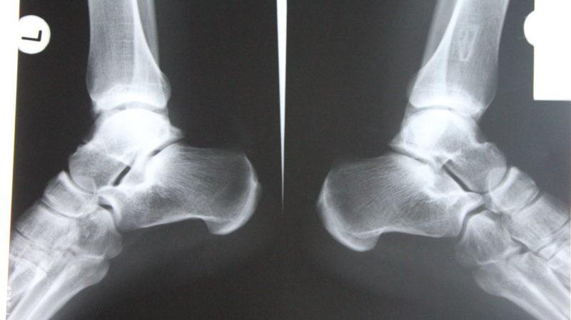
- Травма кости. Пациента укладывают на спину на кушетку, сгибают ногу в колене, а стопу располагают перпендикулярно поверхности. Это позволяет получить прямую заднюю проекцию, на которой четко видны все три кости, формирующие сустав.
- Повреждения сустава и большеберцовой кости. Больной занимает сидячее положение, пораженная нога располагается на специальной подставке. Исследование обычно выполняется в боковой проекции, но чаще пациента укладывают на бок. При этом здоровую ногу подгибают к животу, а больную оставляют выпрямленной.
- Патологии свода стопы. Пациент встает на одну ногу, другую поджимает. В этом случае рентген голеностопного сустава выполняется в двух проекциях: прямой и боковой.
- Признаки разрыва синдесмоза. Для диагностики данной патологии делают снимок в задней проекции с ротацией стопы. Пациент лежит на спине, ноги вытянуты, а поврежденная стопа слегка поворачивается внутрь.
Особенности. Для защиты остальных органов от радиационного воздействия используются свинцовые фартуки.
Рентген голеностопного сустава — это важный диагностический инструмент, который позволяет врачам оценить состояние костей и суставов в этой области. Многие пациенты отмечают, что процедура проходит быстро и безболезненно. Однако, результаты рентгена могут вызывать различные эмоции. Некоторые люди чувствуют облегчение, когда видят, что серьезных повреждений нет, в то время как другие могут быть обеспокоены обнаружением переломов или артритных изменений. Важно, что рентген помогает врачам точно поставить диагноз и назначить правильное лечение. Многие пациенты отмечают, что после получения результатов они чувствуют себя более информированными и уверенными в своих дальнейших действиях. В целом, рентген — это надежный способ получить четкое представление о состоянии голеностопного сустава и принять необходимые меры для восстановления здоровья.

Расшифровка результатов
В ходе диагностики и анализа производится сопоставление полученных изображений с нормальными показателями. Описываются следующие структуры:
- Костная поверхность. Наличие разрушений может указывать на серьезное воспаление или злокачественные опухоли. Отслоение может свидетельствовать о развитии периостита. Окостенение хрящевой ткани является признаком периостоза.
- Костная ткань. Увеличение объема костной ткани может говорить о воспалительных процессах или нарушениях кровообращения, в то время как уменьшение указывает на атрофию, вызванную недостаточной физической активностью.
- Структура кости. Нарушение целостности может быть признаком трещины или перелома. Снижение количества костных балок указывает на остеопороз, а увеличение плотности – на остеосклероз. Рассасывание или некроз костной ткани свидетельствует об остеолизе.
- Суставная щель. Ее сужение может указывать на артрит, сращение – на анкилоз, наличие остеофитов – на артроз, а расширение – на разрыв связок.
- Стопа. Угол свода, превышающий или не достигающий 130°, а также высота, превышающая или не достигающая 35 мм, могут свидетельствовать о продольном плоскостопии. О поперечном плоскостопии говорит заворот большого пальца.
- Разрывы и растяжения связок. Исследование проводится в двух проекциях, часто с применением обезболивающих средств. Рентгеновские снимки при повреждении связок голеностопного сустава могут показать смещение таранной кости, скопление жидкости в области повреждения и утолщение связок. При разрыве наблюдаются смещения концов костей и увеличение щели мягких тканей.
Альтернативные методы
Несмотря на высокую эффективность и точность рентгенографического исследования, у этого метода имеются свои недостатки:
- облучение, которое может негативно сказаться на здоровье;
- невозможность оценить состояние мышечных тканей, нервных окончаний и сосудов.
В качестве альтернативы специалисты рекомендуют проводить другие виды исследований:
- Компьютерная томография. Этот метод позволяет получить несколько послойных изображений, что помогает выявить повреждения, опухоли, метастазы, гнойные образования, заполненные жидкостью полости, воспалительные процессы и разрушения хрящевой ткани. Для повышения информативности иногда используется контрастное вещество. Противопоказания включают беременность и возраст до 12 лет. Применение контраста не рекомендуется кормящим матерям и людям с заболеваниями почек. Основной недостаток – высокая стоимость.
- Магнитно-резонансная томография. Данный метод позволяет детально визуализировать суставы, оценить кровоток, состояние мышечной и костной тканей, а также выявить новообразования. Среди его преимуществ – высокая точность, минимальное количество противопоказаний, быстрая процедура и неинвазивность. Однако его не рекомендуют пациентам с ожирением и клаустрофобией. Недостаток – высокая цена.
- Ультразвуковое исследование (УЗИ). Этот метод используется для оценки состояния суставной жидкости, полости сустава и мягких тканей. Противопоказания отсутствуют.

Где делают
В большинстве медицинских учреждений и во всех травматологических пунктах функционируют рентгенологические кабинеты. Исследования в этих учреждениях проводятся по направлению и без оплаты.
В справочных материалах также можно найти данные о местах, где можно сделать рентген голеностопного сустава помимо поликлиник. Чаще всего это частные медицинские клиники, которые располагают современным рентгенологическим оборудованием.
Заключение
При наличии подозрений на переломы, воспалительные процессы или опухолевые образования в области голеностопного сустава рекомендуется провести рентгенографическое исследование. Этот метод позволяет оперативно выявить признаки заболеваний.
К недостаткам рентгена относят наличие определенных противопоказаний и неспособность визуализировать мягкие ткани. В качестве альтернативы рентгенографическому исследованию могут быть использованы ультразвуковое исследование, магнитно-резонансная томография и компьютерная томография.
Вопрос-ответ
Что лучше УЗИ или рентген голеностопного сустава
Ультразвуковое исследование не заменяет рентгенографию, но дополняет ее, поскольку рентгенологическая диагностика позволяет оценить состояние костной ткани и форму сустава в целом. УЗИ помогает лучше визуализировать суставные поверхности, синовиальную сумку, мягкие ткани, выявить дефекты сухожилий, хрящей и связок.
Как узнать, что болит голеностопный сустав
Боль в суставе голеностопа сопровождается и другими симптомами. Пациента может беспокоить чувство общей слабости, повышение температуры тела, деформация стопы, покраснение кожи над пораженным участком, нарушение чувствительности в стопе, неприятные ощущения – покалывания, мурашки, слабость в стопе.
Советы
СОВЕТ №1
Перед проведением рентгена голеностопного сустава обязательно сообщите врачу о всех имеющихся заболеваниях и аллергиях, а также о принимаемых вами лекарствах. Это поможет избежать возможных осложнений и обеспечит более точную интерпретацию результатов.
СОВЕТ №2
Если у вас есть возможность, возьмите с собой на рентген предыдущие снимки или медицинские документы, связанные с вашим состоянием. Это поможет врачу лучше понять динамику вашего заболевания и сделать более точные выводы.
СОВЕТ №3
Не забывайте о важности подготовки к процедуре. Обычно рентген голеностопного сустава не требует особой подготовки, но убедитесь, что на вас нет металлических предметов, таких как украшения или ремни, которые могут помешать получению качественного изображения.
СОВЕТ №4
После получения результатов рентгена обязательно обсудите их с вашим врачом. Не стесняйтесь задавать вопросы и уточнять непонятные моменты, чтобы полностью понять свое состояние и возможные дальнейшие шаги в лечении.




