Характеристика повреждения
В нормальном состоянии головка плечевой кости удерживается в лопаточной впадине благодаря компенсационным механизмам суставной губы, капсулы, связок и мышц.
Повышенные физические нагрузки, резкие движения рук вверх, падения на вытянутые руки, удары в область дельтовидных мышц, а также некоординированные бросковые движения могут привести к вывиху плеча и повреждению мягких тканей.
Если травма незначительная, пострадавший может ощущать боль, треск и щелчки при движении плечом.
Серьезные травмы, как правило, сопровождаются полным вывихом, разрывом акромиально-ключичного сустава и банкарта, что приводит к воспалению (синовиту), отечности и сильной боли в пораженном суставе.
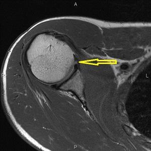
Повреждение банкарта плечевого сустава на МРТ свидетельствует о том, что основной причиной проблемы является отрыв хрящевой дуги (суставной губы) от костной ткани (лопатки).
Это приводит к увеличению нестабильности головки кости в лопаточной впадине и ее выскальзыванию из суставной полости.
Хрящевая дуга часто отрывается вместе с небольшим фрагментом кости (гленоидом).
Разрыв банкарта может сопровождаться передним или задним вывихом, а также переломом.
Врачи отмечают, что лечение повреждения банкарта плечевого сустава требует комплексного подхода. Первоначально важно провести тщательную диагностику, чтобы определить степень повреждения и сопутствующие травмы. В большинстве случаев консервативное лечение, включающее физиотерапию и укрепляющие упражнения, может быть эффективным, особенно для пациентов с незначительными повреждениями. Однако при наличии выраженной нестабильности или повторяющихся вывихов может потребоваться хирургическое вмешательство. Операция обычно включает восстановление поврежденных тканей и стабилизацию сустава. В послеоперационный период реабилитация играет ключевую роль в восстановлении функции плеча, и врачи рекомендуют индивидуально подобранные программы упражнений для достижения наилучших результатов.

Симптомы
Проверить наличие повреждения банкарта можно, опираясь на внешние признаки и результаты осмотра пациента:
- наблюдается выраженный болевой синдром, возникающий из-за воспалительного процесса в связках сустава;
- при отведении руки назад или подъеме вверх происходит смещение головки кости, сопровождающееся характерным щелчком;
- в области повреждения появляется отечность и гематома;
- значительно ограничивается диапазон движений из-за отека, вывиха и сильной боли при попытке поднять или отвести руку в сторону.
Диагностика осуществляется с помощью рентгенографии, магнитно-резонансной томографии и компьютерной томографии. Эти методы позволяют определить локализацию и степень разрыва банкарта.
Оценка степени травмы имеет критическое значение для выбора эффективных методов лечения. На основе результатов инструментальной диагностики травматолог принимает решение о необходимости хирургического вмешательства.
| Стадия повреждения Банкарта | Методы лечения | Ожидаемое время восстановления |
|---|---|---|
| Легкая (без смещения) | Консервативное лечение: покой, иммобилизация, физиотерапия, обезболивающие препараты | 4-6 недель |
| Умеренная (с незначительным смещением) | Консервативное лечение + артроскопия (в некоторых случаях) | 6-8 недель |
| Тяжелая (с выраженным смещением) | Хирургическое вмешательство (артроскопическая или открытая операция) | 8-12 недель и более |
Лечение
Серьезное повреждение банкарта включает разрыв поддерживающих тканей и перелом лопатки. В данной ситуации восстановить стабильность сустава без операции невозможно.
Люди, столкнувшиеся с повреждением банкарта плечевого сустава, часто делятся своим опытом и советами по лечению. Многие отмечают, что важным шагом является своевременная диагностика, так как раннее обращение к врачу может значительно ускорить процесс восстановления. Врачи рекомендуют комбинированный подход: физическая терапия, упражнения на растяжку и укрепление мышц, а также, в некоторых случаях, хирургическое вмешательство.
Пациенты подчеркивают, что важно следовать рекомендациям специалистов и не игнорировать реабилитацию. Некоторые делятся, что использование специальных бандажей и тейпов помогает снизить нагрузку на сустав и облегчить боль. Также многие отмечают, что поддержка близких и позитивный настрой играют ключевую роль в процессе выздоровления. В целом, опыт людей показывает, что терпение и последовательность в лечении способны вернуть к полноценной жизни даже после серьезных травм.

Операция
Оперативное вмешательство проводится с целью восстановления целостности суставно-связочного аппарата.
Типы хирургических вмешательств зависят от степени повреждения плеча:
- артроскопическая стабилизация плечевого сустава осуществляется при разрыве хряща банкарта, если целостность лопаточной кости не нарушена;
- пластика Латерже применяется в случае частичного отрыва костных фрагментов вместе со связками;
- протезирование выполняется при полном вывихе (переломе) для дополнительной фиксации суставной капсулы.
Наиболее распространено малоинвазивное вмешательство, которое выполняется через несколько проколов в области дельтовидных мышц. Эта операция позволяет стабилизировать поврежденный сустав, фиксируя капсулу в анатомически правильном положении.
Процесс операции занимает от 30 до 90 минут. Хирург отделяет хрящевую ткань и связки, удаляет оторвавшиеся костные фрагменты, фиксирует суставную губу и связки в анатомически корректном положении, соединяя их с суставом с помощью биоразлагаемых крепежей.
При более серьезных повреждениях может потребоваться реконструкция лопаточной впадины и околосуставных тканей.
Банкарт фиксируется с использованием титановых штифтов.
Хирургическое лечение повреждений банкарта плечевого сустава показано при полном вывихе, переломе и разрыве вращательных элементов.
ВАЖНО! Операция противопоказана пациентам с тяжелыми соматическими заболеваниями, а также при острых гнойных и инфекционных процессах.
Реабилитация
Пациент, которому поставлен диагноз разрыва банкарта, должен быть готов к продолжительному восстановлению после хирургического вмешательства. В первые дни после операции рекомендуется соблюдать покой в стационаре. На следующий день после процедуры разрешается выполнять движения в кистях и локтях.
Послеоперационный период часто сопровождается болевыми ощущениями. В таких случаях врач может назначить противовоспалительные и обезболивающие препараты.
Реабилитация суставов и связок также включает в себя прием витаминно-минеральных комплексов, что способствует более эффективному восстановлению.
Через одну-три недели после операции пациенту назначают физиотерапевтические процедуры и специальные упражнения для восстановления подвижности плечевого сустава.
Все физические нагрузки должны выполняться под строгим контролем специалиста. Иммобилизация плеча с помощью бандажа может длиться до трех недель.
Реабилитационный процесс занимает от 8 до 12 недель. Полное восстановление работоспособности пациента происходит примерно через три месяца после операции. Возвращение к физическим нагрузкам, занятиям спортом и трудовой деятельности возможно через 3-6 месяцев.

Заключение
Нестабильность плечевого сустава делает его подверженным травмам различной степени тяжести. Наиболее распространенным диагнозом является разрыв банкарта плеча, который может произойти из-за резкого и несогласованного движения или удара. В результате этого повреждения сустав теряет свою двигательную функцию.
Восстановление банкарта осуществляется хирургическим методом, после чего следует 12-недельный курс реабилитации. Этот процесс включает в себя ограничение подвижности плеча, физиотерапевтические процедуры, лечебную физкультуру и прием медикаментов.
Вопрос-ответ
Стоит ли ремонтировать банкарт?
Артроскопическое восстановление по Банкарту дает хорошие функциональные результаты и ассоциируется с высокой степенью удовлетворенности пациентов, хотя не все пациенты возвращаются к спорту.
Является ли повреждение Банкарта разрывом от пощечины?
Пожалуй, самый известный тип разрыва суставной губы — это SLAP-разрыв, возникающий по верхнему краю губы. Разрыв Банкарта — это тип разрыва, возникающий по нижнему краю губы. Часто возникает в результате травматического повреждения и обычно сочетается с передними вывихами плеча.
Советы
СОВЕТ №1
Обратитесь к врачу для точной диагностики. При повреждении банкарта плечевого сустава важно получить профессиональную оценку состояния. Врач может назначить рентген или МРТ, чтобы определить степень повреждения и выбрать наиболее подходящее лечение.
СОВЕТ №2
Следуйте рекомендациям по реабилитации. После получения медицинской помощи важно соблюдать программу реабилитации, включающую физические упражнения для восстановления подвижности и силы плеча. Это поможет избежать повторных травм и ускорит процесс выздоровления.
СОВЕТ №3
Используйте лед и противовоспалительные препараты. В первые дни после травмы прикладывание льда к поврежденной области может помочь уменьшить отек и боль. Также можно использовать нестероидные противовоспалительные препараты (по рекомендации врача) для облегчения симптомов.
СОВЕТ №4
Избегайте чрезмерной нагрузки на плечевой сустав. Важно не перегружать поврежденный сустав в процессе восстановления. Постепенно увеличивайте физическую активность и избегайте движений, которые могут вызвать боль или дискомфорт.




