Описание болезни
Экзостоз представляет собой уникальное костное образование, которое развивается на костных структурах и имеет различные формы.
Суть этого нароста заключается в том, что он сначала формируется из хрящевой ткани, а затем постепенно уплотняется и превращается в кость. Существуют также термины, такие как краевые экзостозы, однако чаще всего врачи используют выражение костно-хрящевой нарост (см. фото ниже).
С течением времени патологический процесс приводит к тому, что ткани начинают трансформироваться в губчатую кость. Плотная оболочка сверху покрыта тонким слоем, что и способствует образованию данного нароста.
Как лечить синовит голеностопного сустава
С греческого языка название экзостоза переводится как «кость, находящаяся снаружи», что объясняет его внешний вид в виде нароста на кости.
Экзостоз представляет собой доброкачественное образование на поверхности кости, которое может возникать в различных частях тела. Врачи отмечают, что экзостозы часто развиваются в ответ на механическое раздражение или травму, и могут быть бессимптомными. Однако в некоторых случаях они вызывают боль, ограничение движений или косметические дефекты. Лечение экзостозов зависит от их размера, локализации и симптоматики. Врач может рекомендовать наблюдение, если образование не вызывает дискомфорта. В случаях, когда экзостоз приводит к болям или нарушению функции, может потребоваться хирургическое вмешательство для его удаления. Важно, чтобы пациенты обращались к специалистам для диагностики и выбора оптимального метода лечения, так как самостоятельное лечение может привести к осложнениям.

Этиология
Существует множество факторов, способствующих образованию данной кости, и различные наросты формируются также из-за отсутствия определенной локализации.
Основной причиной могут быть регенеративные процессы, происходящие в поврежденной области после травмы. Травма сама по себе является ключевым фактором, способствующим возникновению патологического нароста.
Экзостозная болезнь может развиваться в результате удара, который возникает при воспалении слизистых оболочек в организме человека.
Кроме того, данное заболевание может быть вызвано рядом патологических процессов: такими как венерические инфекции (RW), остеомиелит и другие. Воспаление также может стать главной причиной появления этого недуга. К числу возможных причин его развития относятся и ущемления надкостницы.
Хроническое воспаление, которое длительное время присутствует в организме пациента, может привести к образованию наростов. Они могут возникать вследствие некроза тканей или нарушений в работе органов и систем.
Патология может возникнуть из-за разрыва связок, что приводит к утрате их целостности. Образовавшиеся новообразования могут быть следствием опухолевых процессов. Наросты также могут появиться после хирургического вмешательства. В некоторых случаях они могут быть результатом врожденных заболеваний костной ткани.
Подробнее о том, как лечить синдром импинджмента, читайте здесь.
К сожалению, причины и последствия формирования наростов остаются не до конца понятными. Существует мнение, что подобные явления возникают на фоне нарушений в процессе энхондрального окостенения.
| Симптом | Возможная причина экзостоза | Метод лечения |
|---|---|---|
| Боль в области поражения | Травма, воспаление, давление на окружающие ткани | Консервативное лечение (НПВС, физиотерапия), хирургическое удаление (в случае сильной боли, ограничения подвижности, косметического дефекта) |
| Ограничение подвижности сустава | Разрастание костной ткани, сдавливание нервов и сосудов | Хирургическое удаление |
| Припухлость, деформация кости | Нарушение процесса окостенения, хроническое воспаление | Хирургическое удаление, в некоторых случаях — наблюдение |
| Онемение, покалывание | Сдавливание нервов | Хирургическое удаление, медикаментозная терапия (в зависимости от причины онемения) |
| Косметический дефект | Генетическая предрасположенность, хроническое раздражение | Хирургическое удаление |
| Отсутствие симптомов | Бессимптомное течение | Наблюдение |
Клиническая картина
Симптомы данного заболевания могут проявляться по-разному. В некоторых случаях они протекают абсолютно незаметно, и диагноз устанавливается случайно во время рентгенографического исследования или когда наросты достигают таких размеров, что становятся видимыми.
Формирования могут вызывать значительный дискомфорт, и в некоторых ситуациях пациенты испытывают трудности с передвижением.
Однако существуют и особенно опасные образования, которые могут трансформироваться в злокачественные опухоли.
Наиболее часто наросты образуются на концах трубчатых костей, вблизи суставов. Их рост направлен в противоположную сторону. Наиболее распространенным является экзостоз большой берцовой кости, также часто встречаются поражения бедренной кости.
Проблемы могут возникать и с пальцевыми фалангами. Наросты формируются под ногтями и могут достигать размера около 1 см. Это заболевание часто вызывает болевые ощущения, особенно когда ноготь отслаивается и повреждается.
Разрастания, находящиеся в других областях, как правило, не вызывают боли.
Если у пациента появляется болевой синдром, это может указывать на начало злокачественного процесса.
Множественные наросты обычно располагаются симметрично в области ребер, ключиц и других мест. Они могут нарушать нормальный процесс роста костной ткани, что приводит к ее деформации.
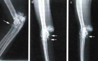
Экзостоз коленного сустава требует отдельного рассмотрения. Как и экзостозы позвоночника, их рост может быть направлен внутрь, что может повредить спинной мозг.
Экзостоз коленного сустава начинается с бедра и разрастается под четырехглавой мышцей, оказывая на нее давление. Это может привести к повреждению мышцы, ее растяжению, а иногда даже к переломам и образованию «новых» суставов.
Экзостоз — это доброкачественное образование на поверхности кости, которое может вызывать дискомфорт и ограничивать подвижность. Многие люди, столкнувшиеся с этой проблемой, отмечают, что сначала не придают ей значения, так как симптомы могут быть незначительными. Однако со временем экзостоз может начать болеть или натирать окружающие ткани, что приводит к необходимости лечения. Врачи рекомендуют наблюдение за состоянием, особенно если образование не вызывает дискомфорта. В случаях, когда экзостоз становится болезненным или мешает движению, может потребоваться хирургическое вмешательство для его удаления. Важно помнить, что своевременная диагностика и консультация специалиста помогут избежать осложнений и улучшить качество жизни. Многие пациенты отмечают, что после операции чувствуют значительное облегчение и могут вернуться к привычной активности.

Терапевтическая тактика
Лечение данного заболевания в основном требует хирургического вмешательства. Однако существуют исключения, когда некоторым пациентам возможно обойтись без операции. Эта стратегия не подходит для лиц младше 18 лет, так как в этом возрасте экзостозы часто исчезают самостоятельно.
Если костно-хрящевой экзостоз у детей вызывает выраженные боли, сдавливает сосудистые структуры или нарушает функционирование органов, то без хирургического вмешательства не обойтись.
Если же разрастания не увеличиваются и не причиняют неудобств, некоторые пациенты предпочитают наблюдаться у врачей, продолжая жить с ними.
Основными показаниями для операции являются:
- Значительные размеры опухолевых образований.
- Риск перерождения в злокачественную форму.
- Интенсивная боль, вызванная давлением на сосуды и нервы.
- Эстетические проблемы.
Подготовка к операции не требуется. Образования удаляются вместе с окружающей костью, что снижает вероятность рецидива. Операция может проводиться под местной или общей анестезией. После удаления экзостоза на ноге пациент может быстро вернуться к привычному образу жизни.
Подробности о лечении тендинита ахиллова сухожилия можно найти здесь.
После операции важно некоторое время ограничивать движение в пораженной области (например, экзостоза пяточной кости) с помощью специальной лонгеты. Также необходимо пройти курс реабилитации.
При соблюдении всех рекомендаций врача пациенты обычно быстро восстанавливаются. Однако в редких случаях могут возникнуть серьезные осложнения, когда заболевание начинает обостряться. Наросты могут вновь появляться, что может указывать на развитие онкологических заболеваний. Обычно это касается краевых экзостозов тел позвонков, лопатки и бедра.
Нетрадиционные методики
В терапии основное внимание уделяется хирургическому вмешательству, однако лечение народными средствами также активно применяется и может показать хорошие результаты на ранних стадиях заболевания.
Как избавиться от солей в суставах
Некоторые люди обращаются к народным целителям и травникам, другие же следуют советам своих бабушек. Тем не менее, прежде чем начинать домашнюю терапию, важно понимать, что подобные методы могут иметь негативные последствия, поэтому стоит проконсультироваться с врачом.
Когда пациенты не достигают желаемых результатов, они начинают принимать обезболивающие и использовать различные мази. Однако такие действия могут быть крайне опасны для здоровья:
- Во-первых, неосмотрительное лечение может негативно сказаться на функции печени и почек, а также на желудочно-кишечном тракте.
- Кроме того, доброкачественные образования могут трансформироваться в злокачественные, а бесконтрольный прием медикаментов только ускорит этот процесс.
Тем не менее, народные методы не представляют опасности, если используются исключительно в профилактических целях. Важно сосредоточиться на образе жизни: сбалансированное питание, укрепление иммунной системы и физическая активность. Все это помогает предотвратить развитие заболевания, даже если произошла травма.
Некоторые заболевания также могут способствовать возникновению проблемы. Чтобы избежать этого, необходимо внимательно следить за своим здоровьем и регулярно проходить медицинские обследования.
Знаете ли вы, как лечить синдром фибромиалгии?
Чтобы избежать поражения конечностей, важно обеспечивать им отдых и расслабление. Не забывайте, что нагрузка на ноги должна быть равномерной, поэтому стоит выбирать удобную обувь с ортопедическими стельками.
Врачи часто рекомендуют компрессы для уменьшения отечности. Использование народных методов возможно и после хирургического вмешательства, но ни один из них не должен применяться без предварительной консультации с врачом.

Заключение
В этой статье вы узнали, что представляет собой экзостоз кости. Независимо от причин возникновения этой патологии, не стоит впадать в уныние. Этот недуг не так опасен, как может показаться на первый взгляд. Хотя в редких случаях образования могут трансформироваться в онкологические опухоли, такие случаи встречаются крайне редко.
В большинстве случаев прогноз остается положительным. Современные медицинские технологии позволяют удалить нарост в любой клинике, а у детей заболевание может самостоятельно пройти со временем.
Вопрос-ответ
Можно ли вылечить экзостоз?
Экзостоз — доброкачественное костно-хрящевое новообразование. Возникать может без видимых на то причин. Единственный вариант лечения — это хирургическое удаление.
Может ли экзостоз перейти в рак?
Самым серьезным осложнением экзостоза является опасность перерождения новообразования в злокачественную опухоль.
Как понять, что у тебя экзостоз?
Основной признак подногтевого экзостоза – отслаивание ногтевой пластины, ее деформация и увеличение кожного околоногтевого валика. К примеру, может появиться ощущение «вздутия» ногтя. Иногда наблюдается врастание в области краев.
Можно ли избавиться от экзостоза без операции?
Крупные наросты легко ощущаются языком. Как лечить? В домашних условиях экзостозы на десне вылечить невозможно, без хирургического вмешательства обойтись не получится. Проводить операцию по коррекции альвеолярного гребня должен хирург в стоматологии.
Советы
СОВЕТ №1
Перед тем как принимать какие-либо меры, обязательно проконсультируйтесь с врачом. Экзостоз может иметь разные формы и степени тяжести, поэтому важно получить профессиональную оценку состояния и рекомендаций по лечению.
СОВЕТ №2
Регулярно следите за состоянием экзостоза. Если вы заметили изменения в размере или форме образования, или если оно начинает вызывать дискомфорт, немедленно обратитесь к специалисту для повторной оценки.
СОВЕТ №3
Изучите возможные методы лечения экзостоза, включая консервативные и хирургические варианты. В некоторых случаях может быть достаточно наблюдения, в то время как в других может потребоваться операция для удаления образования.
СОВЕТ №4
Поддерживайте здоровый образ жизни, включая сбалансированное питание и физическую активность, чтобы укрепить иммунную систему и общее состояние здоровья. Это может помочь вашему организму справляться с различными заболеваниями, включая экзостоз.




