Что это за болезнь
Этот недуг представляет собой врожденную аномалию в структуре нервных стволов, что приводит к утрате способности передавать нервные импульсы. Синдром Шарко также вызывает ряд других серьезных последствий, таких как утрата двигательной активности. Если не начать лечение вовремя, заболевание будет прогрессировать. Это может привести к хромоте, а в самых тяжелых случаях — к нарушениям дыхательной функции.
У данного недуга есть и другие названия: патология Тута или Мари. Эти три врача — Шарко, Мари и Тута — первыми начали исследование болезни, что и стало причиной появления данного названия синдрома.
Исследования показали, что это заболевание имеет наследственный характер. Если хотя бы один из членов семьи страдает от этого синдрома, вероятность того, что у его детей будет такой же диагноз, превышает 50%. При этом симптомы могут варьироваться.
Синдром Шарко, также известный как остеоартрит, представляет собой серьезное заболевание, которое затрагивает суставы и может привести к их деформации. Врачи отмечают, что это состояние часто связано с травмами или нарушениями кровообращения, что делает его особенно опасным для пациентов с диабетом или сосудистыми заболеваниями. Лечение синдрома Шарко требует комплексного подхода. Врачи рекомендуют сочетание медикаментозной терапии, направленной на уменьшение боли и воспаления, с физиотерапией для восстановления функции суставов. В некоторых случаях может потребоваться хирургическое вмешательство для коррекции деформаций. Важно, чтобы пациенты следовали рекомендациям специалистов и регулярно проходили обследования, чтобы избежать осложнений и сохранить качество жизни.

Причины
Болезнь Шарко-Мари-Тута была впервые описана в 1847 году, а более детальное клиническое описание появилось в 1869 году. Однако наиболее активные исследования данного заболевания начались в 90-х годах XX века, когда случаи синдрома стали фиксироваться с возрастающей частотой.
Как уже упоминалось, этот тип патологии имеет наследственный характер, хотя также зарегистрированы спорадические случаи, которые подтвердили, что основной причиной возникновения заболевания являются мутации в генах.
Согласно имеющимся данным, подобные мутации наблюдаются у 20% семей, страдающих от синдрома Шарко. Это заболевание является одним из самых распространенных прогрессирующих расстройств и относится к числу наиболее тяжелых дегенеративных процессов в центральной нервной системе. Также причиной развития синдрома Шарко могут быть инфекционно-токсические заболевания, вызванные вирусами с высокой нейротропностью.
| Симптом | Описание | Возможные методы лечения |
|---|---|---|
| Мышечная слабость | Потеря силы в мышцах, затруднение выполнения повседневных действий. | Физиотерапия, медикаментозная терапия (например, препараты, улучшающие нервно-мышечную проводимость), ортопедические средства (например, ортезы). |
| Атрофия мышц | Уменьшение размера и массы мышц, приводящее к истощению. | Физиотерапия, электростимуляция мышц, диета с высоким содержанием белка. |
| Фасцикуляции | Непроизвольные сокращения отдельных мышечных волокон, вызывающие подергивания мышц. | Лечение основного заболевания, вызвавшего синдром Шарко-Мари-Тута. В некоторых случаях могут применяться миорелаксанты. |
| Потеря чувствительности | Снижение или отсутствие ощущений в конечностях (боль, температура, прикосновение). | Физиотерапия, медикаментозная терапия (например, анальгетики при болях), ортопедические средства для предотвращения травм. |
| Деформация стоп и кистей | Изменение формы стоп и кистей, приводящее к деформации суставов. | Ортопедическая обувь, ортезы, оперативное вмешательство в запущенных случаях. |
| Нарушение походки | Изменение походки, затруднение ходьбы. | Физиотерапия, ортопедические средства (например, трости, ходунки), оперативное вмешательство. |
| Затруднение выполнения мелкой моторики | Трудности с выполнением точных движений пальцами рук. | Эрготерапия, адаптивные устройства. |
| Боль | Различная по интенсивности и локализации. | Анальгетики, физиотерапия, блокады. |
Симптомы
Синдром Тута может проявляться различными симптомами. Для того чтобы своевременно выявить заболевание и начать лечение, важно внимательно следить за своим состоянием.
Если вы заметили один или несколько из перечисленных ниже симптомов, рекомендуется как можно скорее обратиться к врачу. В детском возрасте заболевание практически не проявляется, поэтому его можно диагностировать только у лиц старше 14 лет.
Ключевые симптомы данного расстройства:
- ощущение усталости в мышцах ног. Больные отмечают, что им удобнее перемещаться на месте, чем просто стоять;
- снижение чувствительности в конечностях, появление «гусиной кожи» и парестезии;
- при отсутствии лечения заболевание может привести к частичной атрофии мышц;
- затруднения в движении указательного и большого пальца;
- усиление нижнечелюстного рефлекса, ослабление жевательных мышц, провисание неба и дистрофия языка;
- уменьшение объема мускулатуры голеней;
- деформация стопы, которая начинает напоминать перевернутую бутылку;
- изменение походки, при котором человек старается поднимать колени как можно выше.
Опасная особенность этого синдрома заключается в его медленном прогрессировании. Если с момента появления первых признаков прошло значительное время, у пациента могут возникнуть повреждения нервных окончаний как верхних, так и нижних конечностей.
Эффективные мази для облегчения боли в мышцах.
Синдром Шарко, также известный как остеоартрит, вызывает множество обсуждений среди пациентов и специалистов. Люди описывают его как болезненное и изнурительное состояние, которое затрагивает суставы, особенно в области стоп и голеностопа. Многие отмечают, что симптомы могут проявляться внезапно, включая отек, покраснение и ограничение подвижности. Важно, что лечение синдрома Шарко требует комплексного подхода. Врачи рекомендуют физиотерапию, чтобы улучшить подвижность и укрепить мышцы вокруг пораженного сустава. Некоторые пациенты также находят облегчение в использовании ортопедических стелек и противовоспалительных препаратов. Однако, как подчеркивают специалисты, ранняя диагностика и индивидуальный подход к лечению играют ключевую роль в успешном управлении этим состоянием. Обсуждения на форумах показывают, что поддержка со стороны сообщества и обмен опытом могут значительно помочь тем, кто сталкивается с этой проблемой.

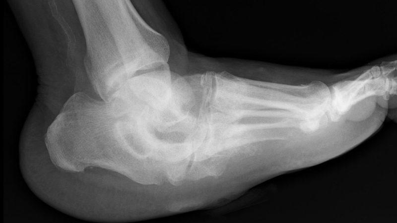
Диагностика
Синдром Шарко проявляет симптомы, схожие с другими нервно-мышечными расстройствами. Для того чтобы установить наиболее точный диагноз, врач назначает ряд диагностических процедур. В первую очередь специалист проводит визуальный осмотр, чтобы выявить нарушения в двигательной активности, а также проводит беседу с пациентом для определения симптомов.
Затем пациенту назначается электромиография (ЭМГ), которая позволяет оценить рефлексы нервов и мышц, а также их проводимость. Поскольку это заболевание имеет наследственный характер, обязательно требуется анализ ДНК и общий анализ крови. При необходимости врач может рекомендовать биопсию нервных волокон. Результаты этих исследований могут выявить демиелинизацию нервных окончаний и мышечную атрофию.
Лечение
Как уже упоминалось ранее, главной причиной возникновения данного заболевания является врожденная генетическая аномалия. К сожалению, даже самые современные медицинские технологии не способны полностью устранить эту проблему, однако возможно замедлить прогрессирование болезни и облегчить симптомы. Наиболее эффективные методы терапии синдрома Шарко включают:
- назначение витаминов, карнитина, АТФ и других препаратов, способствующих улучшению состояния мышечной ткани;
- для повышения проводимости нервных импульсов применяются Нивалин или Прозерин;
- для нормализации кровообращения рекомендуются такие средства, как никотиновая кислота, Галидор или Тренал;
- в качестве дополнительной терапии рекомендуется физиолечение: электрофорез, электромиостимуляция и амплипульс;
- для предотвращения деформации позвоночника и конечностей полезно заниматься гимнастикой и проходить массаж;
- в некоторых случаях может быть рекомендовано ношение ортопедической обуви;
- в тяжелых ситуациях может потребоваться хирургическое вмешательство, такое как шунтирование артерии.
Важно помнить, что необходимо отказаться от вредных привычек, при необходимости снизить вес и придерживаться сбалансированного питания. Метод лечения подбирается с учетом индивидуальных особенностей пациента. Только квалифицированный специалист может назначить правильную терапию.

Заключение
Если вам поставили этот диагноз, не стоит впадать в уныние. Правильное питание, регулярные физические упражнения и адекватное лечение помогут справиться с неприятными проявлениями синдрома Шарко. Имейте в виду, что только врач может назначить необходимую терапию, поэтому не откладывайте визит к специалисту, если у вас появились какие-либо из перечисленных симптомов.
Вопрос-ответ
Каковы основные симптомы синдрома Шарко
Основные симптомы синдрома Шарко включают сильную боль в области пораженного сустава, отек, изменение цвета кожи и ограничение подвижности. В некоторых случаях может наблюдаться деформация сустава, а также повышение температуры в области воспаления.
Какие методы лечения применяются при синдроме Шарко
Лечение синдрома Шарко может включать консервативные методы, такие как физиотерапия, применение противовоспалительных препаратов и использование ортопедических средств. В более тяжелых случаях может потребоваться хирургическое вмешательство для коррекции деформаций или устранения болевого синдрома.
Какова роль реабилитации в восстановлении после синдрома Шарко
Реабилитация играет ключевую роль в восстановлении функции пораженного сустава и снижении болевого синдрома. Индивидуально подобранные программы физической терапии помогают улучшить подвижность, укрепить мышцы и предотвратить повторные травмы, что способствует более быстрому восстановлению пациента.
Советы
СОВЕТ №1
Обратитесь к специалисту. Если вы подозреваете наличие синдрома Шарко, важно как можно скорее обратиться к врачу, который сможет провести необходимые обследования и поставить правильный диагноз. Раннее вмешательство может значительно улучшить прогноз.
СОВЕТ №2
Следите за состоянием суставов. Регулярно проверяйте свои суставы на наличие отеков, покраснений или изменений в форме. Это поможет вам вовремя заметить ухудшение состояния и обратиться за медицинской помощью.
СОВЕТ №3
Соблюдайте режим физической активности. Умеренные физические нагрузки могут помочь поддерживать подвижность суставов и укреплять мышцы. Однако важно проконсультироваться с врачом о том, какие упражнения будут безопасны и эффективны для вас.
СОВЕТ №4
Изучите методы реабилитации. Физиотерапия и специальные реабилитационные программы могут значительно помочь в восстановлении функции суставов и уменьшении болевого синдрома. Обсудите с вашим врачом возможность включения этих методов в ваш план лечения.



