Причины возникновения
Перелом плеча может произойти в результате различных обстоятельств, связанных с повышенной нагрузкой на костную структуру.
Наиболее уязвимыми к таким травмам являются пожилые люди, которые часто падают и получают ушибы. Это связано с тем, что в их организме могут происходить нарушения обменных процессов, а уровень кальция и других необходимых микроэлементов может значительно снижаться. Физиологические изменения, связанные с возрастом, затрагивают значительное количество людей по всему миру.
Также подобные травмы или трещины в области плечевой кости часто встречаются у детей дошкольного возраста. Это связано с тем, что их кости еще не полностью окрепли, а навыки безопасного падения не развиты.
В группу риска попадают и спортсмены, которые подвергаются значительным нагрузкам на руки и плечевые суставы. При интенсивных тренировках может произойти не только повреждение костной ткани, но и переломовывих плеча.
Таким образом, основными факторами, способствующими возникновению перелома, являются:
- падение с опорой на руки;
- дорожно-транспортные происшествия;
- спортивные травмы;
- прямые удары.
Перелом плечевой кости у ребенка представляет собой серьезную и опасную травму, так как несвоевременное обращение к врачу и отсутствие необходимого лечения могут привести к тяжелым и необратимым последствиям на протяжении всей жизни.
Врачи отмечают, что лечение перелома плечевой кости зависит от его типа и степени тяжести. В большинстве случаев, при неосложненных переломах, рекомендуется консервативный подход. Это включает иммобилизацию конечности с помощью шины или повязки, что позволяет кости зажить в правильном положении. Важно следить за состоянием пациента и при необходимости проводить контрольные рентгенографии.
В случаях смещения или сложных переломов может потребоваться хирургическое вмешательство. Операция позволяет восстановить анатомическую целостность кости и обеспечить более быстрое и качественное заживление. После операции или консервативного лечения врачи советуют начинать реабилитацию как можно раньше, чтобы восстановить подвижность и силу плеча. Физиотерапия и специальные упражнения играют ключевую роль в процессе восстановления. Важно, чтобы пациенты следовали рекомендациям врачей и не игнорировали реабилитационные мероприятия, что поможет избежать осложнений и ускорить возвращение к привычной жизни.

Классификация
Травмы плеча представляют собой более сложную проблему, чем может показаться на первый взгляд. В первую очередь, следует выделить два основных типа переломов плеча: закрытые и открытые, так как это важная классификация.
Кроме того, переломы можно условно разделить по месту их возникновения:
- Наименее распространены дистальные переломы, которые затрагивают нижнюю часть плеча. Они составляют примерно 1% от общего числа всех возможных переломов.
- Чуть чаще встречаются диафазальные переломы, которые происходят в средней части плеча. Их доля составляет около 3% от общего количества.
- Наиболее распространены проксимальные переломы, затрагивающие верхний конец плечевой кости. Эти переломы составляют около 7% от общего числа.
Также переломы можно классифицировать по следующим признакам:
- со смещением;
- без смещения;
- большого бугорка;
- хирургический;
- чрезмыщелковый;
- оскольчатый.
| Этап лечения | Методы лечения | Возможные осложнения |
|---|---|---|
| Первая помощь | Иммобилизация конечности шиной или косынкой, обезболивание (анальгетики), приложение холода. | Повреждение нервов и сосудов, шок. |
| Диагностика | Рентгенография, компьютерная томография (КТ) | Неправильная диагностика, задержка лечения. |
| Репозиция (вправление) | Закрытая репозиция (без операции), открытая репозиция (хирургическое вмешательство) | Повторный перелом, повреждение нервов и сосудов, инфекция. |
| Иммобилизация | Гипсовая повязка, ортез, внутренняя фиксация (пластины, винты) | Атрофия мышц, контрактуры суставов, синдром запястного канала (при длительной иммобилизации). |
| Реабилитация | Лечебная физкультура (ЛФК), физиотерапия, массаж | Недостаточное восстановление функции плеча, хроническая боль. |
| Контроль | Периодические рентгенологические исследования | Несвоевременное выявление осложнений. |
Симптомы
В зависимости от типа перелома будут различаться как симптомы, так и подходы к лечению.
Каждый конкретный вид перелома имеет свои особенности, включая место повреждения и характер травмы костной ткани, а также наличие или отсутствие сопутствующих повреждений.
Люди, столкнувшиеся с переломом плечевой кости, часто делятся своим опытом и советами. Многие отмечают, что первое, что нужно сделать — это обратиться к врачу для точной диагностики и назначения лечения. Важно помнить, что самолечение может привести к осложнениям. Некоторые рекомендуют использовать холодные компрессы для уменьшения отека и боли в первые дни после травмы.
Пациенты также подчеркивают значимость реабилитации. Физиотерапия и специальные упражнения помогают восстановить подвижность и силу в руке. Многие делятся, что терпение и соблюдение рекомендаций врача играют ключевую роль в успешном выздоровлении. Важно не спешить с возвращением к активной жизни, чтобы избежать повторных травм. Общение с другими людьми, пережившими подобные ситуации, может стать источником поддержки и полезных советов.

Закрытый перелом
Этот тип перелома чаще всего затрагивает верхнюю часть плеча. При этом наблюдаются следующие характерные симптомы:
- в области сустава возникают болезненные ощущения;
- если травма имеет вколоченный характер, отек пораженной области будет развиваться постепенно, а боль будет усиливаться при движении рукой или вращении плеча. Легкие движения не будут ограничены;
- при наличии смещения наблюдается заметная деформация конечности.
При переломе средней части плеча травма может оказаться более серьезной, чем кажется на первый взгляд, и могут образоваться осколки с смещением.
Чаще всего такая травма происходит в результате падения или прямого удара. В этом случае можно выделить косые, поперечные и винтообразные переломы.
Подобная травма часто сопровождается повреждениями нервных и мышечных волокон, а также могут пострадать артерии. Это состояние особенно распространено при оскольчатом переломе.
К основным симптомам данного типа перелома относятся:
- Острая боль в области плеча.
- Явная деформация с смещением.
- Хруст отломков.
- Появление отека и гематомы, которые могут распространяться до кисти.
- Ограничение движений конечности.
- Трудности с удержанием кисти в поднятом положении, пальцы могут безвольно свисать.
Открытый перелом
Открытый перелом представляет собой травму, характеризующуюся следующими признаками:
- в области повреждения образовалась открытая рана, через которую видна кость;
- из раны идет кровотечение, которое необходимо остановить как можно скорее с помощью жгута, накладываемого на верхнюю треть плеча;
- любое движение рукой вызывает интенсивную боль;
- вокруг раны наблюдаются отек и гематома.

Со смещением
При возникновении такого перелома любая попытка двигать рукой вызывает сильную боль. Кроме болевых ощущений, наблюдаются выраженные отеки и образование синяков.
Резкие движения поврежденной конечностью становятся затруднительными, поднять руку или отвести ее в сторону становится невозможно.
При осмотре врачом и пальпации можно услышать характерные скрипы, а пациент ощущает дискомфорт и боль.
Если образовались осколки, но рана остается закрытой, внешнее деформирование конечности все равно будет заметно.
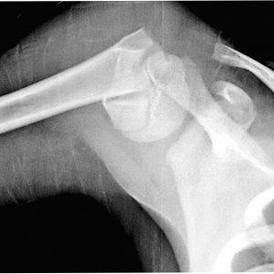
Постановкой диагноза должен заниматься квалифицированный специалист, который оценит рентгеновские снимки, сделанные после травмы в двух проекциях.
Если произошел перелом головки плечевой кости с явным смещением, важно строго следовать всем рекомендациям врача, чтобы избежать ухудшения состояния.
При травме хирургической шейки может произойти смещение с образованием осколов. В этом случае смещение отломка может быть как боковым, так и срединным.
Ключевым фактором, влияющим на направление смещения осколков, является рефлекторное сокращение мышц в момент получения травмы.
Без смещения
В случаях, когда смещение отсутствует, все признаки перелома могут быть менее выраженными или проявляться с некоторой задержкой:
- Боль носит тупой характер и в основном локализуется в верхней или нижней части руки. При этом её интенсивность не так велика, как при переломе со смещением. Усиление болевых ощущений наблюдается при попытках двигать рукой;
- Отек не возникает сразу после травмы, а появляется спустя несколько часов. Это связано с тем, что мышцы и артерии остаются неповрежденными отломками;
- Появление гематомы также задерживается, а её размер зависит от характера травмы;
- Внешняя деформация конечности отсутствует.
При любом типе перелома критически важно оказать первую помощь пострадавшему, чтобы предотвратить смещение осколков и повреждение окружающих тканей.
Любое движение поврежденной конечностью может усугубить ситуацию и привести к возникновению дополнительных осложнений.
Дети менее подвержены смещениям, так как структура их костной ткани отличается от таковой у взрослых.
Перелом большого бугорка
Повреждение большого бугорка чаще всего происходит по отрывному типу и сопровождается вывихом.
Это связано с прикреплением мышц, отвечающих за движение плеча.
К основным признакам отрыва большого бугорка можно отнести:
- Боль в области плечевого сустава.
- Невозможность отводить плечо назад, ограничение подвижности руки.
- Явно выраженный отек в зоне повреждения.
Если не предоставить квалифицированную помощь и не выбрать правильные методы лечения, реабилитация может занять значительное время и не обеспечит полного восстановления.
Оскольчатый перелом
Оскольчатый перелом со смещением считается одним из наиболее серьезных и сложных видов травм.
При таком повреждении страдают кровеносные сосуды, мышечные и нервные волокна.
В таких случаях невозможно обойтись без хирургического вмешательства.
Подобные травмы встречаются редко у детей и чаще наблюдаются у взрослых, особенно пожилых людей.
Можно выделить несколько типов:
- При переломе в области сустава наблюдаются значительная деформация сустава и выраженная отечность. В этом случае требуется неотложное хирургическое вмешательство. Однако, часто операция оказывается невозможной из-за возраста пациента или его здоровья.
- Осколки могут повредить лучевой нерв, а также вены и артерии, что происходит при переломе средней части плеча.
- При травме нижней части конечности болевые ощущения могут иррадиировать на всю ногу. Для предотвращения движения осколков необходимо как можно скорее наложить гипсовую повязку.
Оказание помощи пострадавшему
Реабилитация после перелома плечевой кости во многом зависит от того, насколько правильно была оказана первая помощь в первые минуты после травмы. Обращение к пострадавшему при переломе плеча требует особого внимания, так как дальнейшее состояние человека будет зависеть от предпринятых действий:
- Сначала необходимо оценить состояние пациента и успокоить его. Для этого могут понадобиться легкие успокаивающие препараты. Затем важно обеспечить обезболивание. Если нет возможности сделать внутримышечную инъекцию, можно предложить пострадавшему таблетку-анальгетик, например, нимесулид или анальгин. Если у человека есть сердечные проблемы, и он испытывает учащенное сердцебиение и дискомфорт, можно использовать валокордин.
- Следующий важный шаг — это иммобилизация руки. Обездвиживание при переломе плечевой кости критически важно, так как в случае оскольчатого перелома это поможет предотвратить движение осколков. Для снижения подвижности руки можно использовать две жесткие пластины или дощечки, которые нужно приложить и зафиксировать. Повязка должна быть достаточно тугой, чтобы обеспечить неподвижность.
- Необходимо аккуратно транспортировать пострадавшего в травмпункт в сидячем положении.
Лечение
Перелом плеча проявляется различными симптомами, а лечение определяется на основе окончательного диагноза, установленного врачом.
К основным методам восстановления пациента относятся:
- скелетное вытяжение;
- консервативный подход;
- хирургическое вмешательство.
Если перелом несложный, то обычно применяется простое наложение гипса.
Среди особенностей можно выделить следующее:
- Перелом головки плеча имеет специфические признаки и требует хирургического вмешательства, что позволит восстановить подвижность конечности и нормальное функционирование сустава.
- При травме хирургической шейки без смещения возможно наложение гипса на срок около одного месяца. Если вправление прошло успешно, срок может быть продлен до полутора месяцев.
- При переломе со смещением может быть использовано скелетное вытяжение, и пациенту потребуется оставаться в обездвиженном состоянии около месяца.
- В случае перелома с образованием осколков и их смещением необходимо провести операцию для их сопоставления, после чего будет наложен гипс.
Из медикаментов часто назначаются препараты кальция, анальгетики, антибиотики и противовоспалительные средства.
Реабилитация и восстановление
Реабилитация после перелома плеча может занять значительное время и зависит не только от желания пациента восстановиться, но и от его общего состояния здоровья.
В процессе реабилитации обязательно должны быть предусмотрены:
- массаж, который способствует ускорению заживления и улучшению кровообращения в поврежденной области, что, в свою очередь, помогает регенерации;
- физиотерапевтические процедуры, такие как электрофорез и ультразвук;
- комплекс упражнений лечебной физкультуры (ЛФК).
ЛФК при переломе плечевой кости оказывает положительное влияние и помогает восстановить функциональность конечности после длительного использования гипса.
Упражнения и лечебная физкультура после перелома с наложенным гипсом включают следующие этапы:
- через несколько дней после наложения гипсовой повязки необходимо начинать выполнять осторожные движения пальцами. Если движения вызывают боль, лучше отложить занятия;
- через неделю-две после снятия гипса стоит начать напрягать мышцы плеча, при этом сустав должен оставаться неподвижным. В случае возникновения боли занятия также следует отложить;
- после снятия гипса важно сосредоточиться на восстановлении подвижности локтевого и плечевого суставов.
Важно помнить, что переломы могут возникать не только из-за травм, но и из-за наличия сопутствующих заболеваний, таких как артрит, бурсит или остеопороз. Если врач выявит одно из этих состояний, будет назначена дополнительная терапия, направленная на решение возникших проблем.
Заключение
В данной статье были тщательно изучены различные типы переломов плеча, описаны основные шаги первой помощи для пострадавших, а также даны рекомендации по восстановлению функции руки после перелома плечевой кости.
Вопрос-ответ
Можно ли двигать рукой при переломе плечевой кости?
Упражнения после перелома плечевой кости можно начинать лишь по рекомендации врача. Обычно это происходит после снятия гипса. Иммобилизация при переломе плечевой кости строгая. Двигать рукой и заниматься упражнениями просто так нельзя.
Что надо делать при переломе плечевой кости?
Перелом плечевой кости. Тактика лечения зависит от типа перелома и количества поврежденных тканей. Она может включать иммобилизацию – наложение гипсовой повязки, использование корсета либо шины, а также хирургические вмешательства: соединение отломков и их фиксация, замену поврежденного сустава и другие методики.
Какое лечение является наилучшим при переломе плечевой кости?
Артропластика. При переломе локтевого или плечевого сустава вам может потребоваться артропластика (замена сустава). Хирург удалит повреждённый сустав и заменит его искусственным. Искусственный сустав (протез) может быть изготовлен из металла, керамики или прочного пластика.
Советы
СОВЕТ №1
Обратитесь к врачу сразу после травмы. Правильная диагностика и лечение перелома плечевой кости крайне важны для восстановления. Не откладывайте визит к специалисту, так как это может привести к осложнениям.
СОВЕТ №2
Следуйте рекомендациям врача по immobilization (фиксации) конечности. Обычно для этого используются гипсовые повязки или специальные шины. Соблюдение режима покоя поможет избежать смещения костей и ускорит процесс заживления.
СОВЕТ №3
После снятия гипса начните реабилитацию. Упражнения на растяжку и укрепление мышц плеча помогут восстановить подвижность и силу. Консультируйтесь с физиотерапевтом для составления индивидуальной программы восстановления.
СОВЕТ №4
Обратите внимание на питание. Убедитесь, что ваш рацион богат кальцием и витамином D, которые способствуют заживлению костей. Рассмотрите возможность добавления в рацион молочных продуктов, зелени и рыбы.






