Описание болезни
Данная болезнь встречается довольно редко. Наиболее подвержены ей мужчины. Обычно она развивается в результате интенсивной физической нагрузки. Продолжительность заболевания может составлять до 40 лет, при этом в редких случаях оно влияет на продолжительность жизни.
Смертельный исход возможен только из-за серьезных осложнений или сопутствующих заболеваний. Тем не менее, качество жизни людей с таким диагнозом значительно ухудшается.
Говоря о причинах летальности, стоит отметить, что бульбарное расстройство может привести к нарушениям сердечного ритма и дыхания.
Сирингомиелия — это заболевание, при котором в спинном мозге образуются полости, заполненные жидкостью. Врачи отмечают, что это может привести к различным неврологическим симптомам, включая боль, слабость и потерю чувствительности. Причины сирингомиелии могут быть разнообразными, включая травмы, опухоли и наследственные факторы. Лечение заболевания зависит от его стадии и тяжести симптомов. Врачами рекомендуется наблюдение за пациентами с легкими формами, в то время как более серьезные случаи могут требовать хирургического вмешательства для удаления полостей или коррекции причин, вызвавших заболевание. Важно, чтобы пациенты проходили регулярные обследования и следовали рекомендациям специалистов для минимизации рисков и улучшения качества жизни.

Клиника
На ранних стадиях заболевания симптомы могут быть незаметны. Признаки сирингомиелии спинного мозга начинают проявляться, когда болезнь достигает более серьезной стадии.
Одними из первых сигналов являются слабость в руках, особенно в кистях, резкое снижение веса, а также уменьшение чувствительности к боли и температурным изменениям.
Это означает, что если пациент получит травму или обожжет кожу рук горячим предметом, он не сможет быстро отреагировать. Кожа может приобретать синюшный оттенок и покрываться фурункулами. Со временем симптомы могут распространиться на другие участки тела. Часто пораженные области чередуются с болезненными участками, где кожа остается нормальной.
Также пациенты отмечают резкую и жгучую боль, которая может возникнуть в любой части тела. Кроме того, у людей с данным диагнозом часто наблюдается искривление позвоночника.
На второй стадии заболевания проявляются такие симптомы, как снижение мышечного тонуса, значительное уменьшение объема мышц и общая слабость. Двигательные функции становятся серьезно ограниченными, возникает парез конечностей, нарушается терморегуляция и потоотделение. В некоторых случаях после еды человек может сильно потеть.
Зрачки пациентов обычно сужаются, а веки опускаются. Эти симптомы могут проявляться только на одном глазу из-за паралича в шейном отделе.
Со временем из костей начинает вымываться кальций, что приводит к их хрупкости. Если пациент ломает кости, он может не ощущать боли.
| Симптом | Возможная причина (связанная с сирингомиелией) | Методы лечения/управления |
|---|---|---|
| Боль (ощущение жжения, покалывание) в руках, плечах, спине или ногах | Повреждение спинного мозга, сдавливание нервных волокон сирингомиелической полостью | Лекарства от боли (анальгетики, антидепрессанты, противосудорожные препараты), физиотерапия, хирургическое вмешательство (для удаления кисты или уменьшения давления) |
| Мышечная слабость и атрофия | Повреждение нервных клеток, отвечающих за мышечную функцию | Физиотерапия, эрготерапия, ортопедические приспособления |
| Нарушение чувствительности (потеря чувствительности к боли, температуре, прикосновению) | Повреждение сенсорных нервных путей | Физиотерапия, адаптивные стратегии |
| Нарушение координации движений (атаксия) | Повреждение мозжечковых путей | Физиотерапия, эрготерапия, ортопедические приспособления |
| Изменение рефлексов (гипорефлексия или гиперрефлексия) | Повреждение рефлекторных дуг | Наблюдение, физиотерапия |
| Сколиоз | Мышечная слабость и дисбаланс | Ортопедические приспособления, хирургическое вмешательство |
| Головная боль | Повышенное внутричерепное давление (в некоторых случаях) | Лекарства от головной боли, хирургическое вмешательство (в зависимости от причины) |
Почему возникает заболевание
На сегодняшний день точно не установлены причины возникновения этого заболевания. Тем не менее, предполагается, что оно может быть связано с нарушениями в формировании нервной трубки.
Существует два типа факторов, способствующих развитию болезни: врожденные и приобретенные. Врожденные факторы связаны с неправильным развитием эмбриона. На возникновение недуга также существенно влияют врожденные аномалии спинного мозга.
Приобретенная форма заболевания возникает в результате травм и повреждений спинного мозга.
Сирингомиелия — это заболевание, при котором в спинном мозге образуются полости, заполненные жидкостью. Люди, столкнувшиеся с этой проблемой, часто описывают свои ощущения как странные и пугающие. Симптомы могут варьироваться от боли и онемения до нарушений двигательной функции. Многие пациенты отмечают, что первоначально не понимают, что происходит, и обращаются к врачам только после появления серьезных проблем. Лечение сирингомиелии может включать как медикаментозную терапию, так и хирургическое вмешательство, в зависимости от степени тяжести заболевания. Некоторые пациенты делятся положительным опытом после операции, когда удалось значительно улучшить качество жизни. Однако важно помнить, что подход к лечению должен быть индивидуальным, и консультация с опытным неврологом или нейрохирургом — ключевой шаг на пути к выздоровлению.

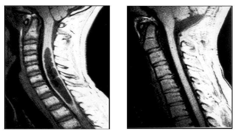
Как диагностировать недуг
Для установления точного диагноза необходимо обратиться к врачу-неврологу. Этот специалист основывает свои выводы на данных, полученных с помощью компьютерной и магнитно-резонансной томографии. Исследованию могут подвергаться различные отделы позвоночника: грудной, шейный, а в редких случаях и поясничный.
Также важно пройти обследование на наличие как злокачественных, так и доброкачественных образований в спинном мозге, а также на менингит и другие заболевания.
Способы лечения
Полностью избавиться от заболевания на сегодняшний день невозможно, однако медицина достигла значительных успехов, и теперь реально замедлить прогрессирование болезни.
Лечение сирингомиелии в шейном и грудном отделах позвоночника должно начинаться как можно раньше. В этом случае заболевание не окажет негативного влияния на качество и продолжительность жизни пациента. Важно правильно питаться, заботиться о своем здоровье и выполнять специальные физические упражнения.
Кисломолочные продукты оказывают положительное влияние на организм. Рекомендуется принимать кальций и магний в виде добавок или витаминов. Также стоит включить в рацион продукты, богатые витамином А.
Широко используется метод рентгенотерапии. Облучение рентгеновскими лучами позвоночника помогает замедлить развитие заболевания. Это позволяет полностью или частично избавиться от болей и неприятных ощущений в конечностях, а также уменьшить область не чувствительных участков. Однако стоит отметить, что положительные результаты достигаются только на ранних стадиях болезни.
Хороших результатов можно добиться и с помощью прозеринового лечения. Эта процедура снижает передачу нервных импульсов и также эффективна только на начальных этапах заболевания.
Кроме того, применяют радиоактивный йод с фосфором. Пациентам с данным диагнозом рекомендуется санаторно-курортное лечение.
Когда симптомы заболевания проявляются в полной мере, на помощь приходит хирургическая операция. Она позволяет сохранить функциональные возможности спинного мозга и предотвратить его повреждение.
Не стоит забывать и о медикаментозной терапии при этом заболевании. Однако если у пациента имеется сирингомиелическая киста в шейном отделе позвоночника, одними лишь препаратами улучшить состояние не удастся. Основная цель медикаментозного лечения заключается в снижении отечности спинного мозга.

Нетрадиционные методы
Народная медицина активно использует травяные настои и отвары, которые помогают улучшить чувствительность кожи и общее самочувствие пациентов. В первую очередь, популярностью пользуются настойки из каштана, клевер и другие травы.
Читать также: Что такое ретролистез позвонка и как его лечить
Эффективный рецепт: возьмите чайную ложку настойки каштана и смешайте ее с двумя стаканами охлажденной кипяченой воды. Затем процедите получившуюся смесь и принимайте настой по четверти стакана примерно четыре раза в день перед едой.
Прогноз
В целом, прогноз по данной болезни является положительным, если лечение начато вовремя. Продолжительность жизни редко сокращается из-за этого заболевания. Тем не менее, пациенту следует осознавать, что основой хорошего самочувствия является сбалансированное питание.
Читать также: Как лечить конкресценцию позвонков
При возникновении проблем с температурной чувствительностью необходимо проявлять особую осторожность при взаимодействии с огнем и холодом. Важно всегда одеваться в соответствии с погодными условиями. Не рекомендуется находиться слишком близко к огню или прикасаться к горячим поверхностям, таким как плита или чайник.
Выбор профессиональной деятельности также должен учитывать состояние здоровья. Следует избегать работ, связанных с физической нагрузкой, длительным стоянием или сидением. Не стоит устраиваться на работу в цеха, где есть риск контакта с огнем и другими опасными факторами.
Без надлежащего лечения заболевание может привести к серьезным осложнениям, таким как пневмония, сепсис, пиелонефрит и даже остановка дыхания.
Меры предотвращения
Профилактика заболевания основывается на своевременной диагностике. Чтобы предотвратить возникновение приобретенной формы болезни, необходимо избегать травм позвоночника.
Если патология все же развилась, лечение должно проводиться корректно, с учетом всех рекомендаций врача.
Заключение
В данной статье вы ознакомились с понятием сирингомиелии спинного мозга, а также с методами ее лечения, симптомами, профилактическими мерами и возможными осложнениями.
Эта патология не является фатальным диагнозом, если начать лечение вовремя и следовать рекомендациям специалистов. Многие люди с таким заболеванием продолжают жить полноценной жизнью и находят в ней радость.
Вопрос-ответ
Какие симптомы могут указывать на наличие сирингомиелии?
Симптомы сирингомиелии могут варьироваться, но часто включают боль в спине, онемение или покалывание в руках и ногах, слабость в конечностях, а также проблемы с терморегуляцией. В некоторых случаях могут наблюдаться нарушения в работе внутренних органов.
Как диагностируется сирингомиелия?
Диагностика сирингомиелии обычно включает в себя магнитно-резонансную томографию (МРТ), которая позволяет визуализировать наличие кист в спинном мозге. Также могут быть проведены неврологические тесты для оценки функции нервной системы.
Какие методы лечения применяются при сирингомиелии?
Лечение сирингомиелии может варьироваться в зависимости от степени тяжести заболевания. В некоторых случаях может быть достаточно наблюдения и симптоматической терапии, в то время как в более тяжелых случаях может потребоваться хирургическое вмешательство для удаления кисты или декомпрессии спинного мозга.
Советы
СОВЕТ №1
Обратитесь к врачу-неврологу при первых симптомах. Сирингомиелия может проявляться различными неврологическими симптомами, такими как боль, онемение или слабость в конечностях. Раннее обращение к специалисту поможет установить диагноз и начать лечение на ранней стадии.
СОВЕТ №2
Регулярно проходите обследования. Если у вас уже диагностирована сирингомиелия, важно регулярно проходить МРТ и другие обследования, чтобы отслеживать прогрессирование заболевания и корректировать лечение при необходимости.
СОВЕТ №3
Изучите доступные методы лечения. Лечение сирингомиелии может включать медикаментозную терапию, физиотерапию и, в некоторых случаях, хирургическое вмешательство. Обсудите с врачом все возможные варианты и выберите наиболее подходящий для вас.
СОВЕТ №4
Поддерживайте активный образ жизни. Физическая активность и поддержание нормального веса могут помочь улучшить общее состояние здоровья и снизить риск осложнений. Обсудите с врачом подходящие для вас виды физической активности.




