Определение и характеристика болезни
Услышав диагноз впервые, пациент может не понимать, что такое фиброзная дисплазия кости. Важно, чтобы опытный врач объяснил ему суть этого диагноза и возможные последствия.
Справка! Код по МКБ 10 – М85.0 – дисплазия избирательная, одной кости. Также это заболевание известно под другими названиями: синдром Лихтенштейна-Брайцева, остеодисплазия, волокнистая дисплазия.
Фиброзная дисплазия представляет собой заболевание костной и соединительной ткани, при котором соединительная ткань замещает костную и хрящевую. Это заболевание имеет врожденный характер и возникает из-за мутаций в генах.
Данная патология приводит к нарушениям в строении и функционировании опорно-двигательной системы. В более тяжелых и затяжных случаях могут наблюдаться деформации и нарушения работы внутренних органов.
Клинические проявления болезни включают выраженный болевой синдром и заметные изменения в форме костных структур. Заболевание может затрагивать как скелет взрослых, так и детей.
Правильно проведенная диагностика и своевременное лечение могут существенно снизить риск осложнений и восстановить нормальное функционирование опорно-двигательного аппарата.
Врачи отмечают, что лечение фиброзной дисплазии требует индивидуального подхода, так как проявления заболевания могут значительно варьироваться. Основными методами терапии являются наблюдение, медикаментозное лечение и хирургическое вмешательство. В случаях, когда заболевание не вызывает серьезных симптомов, специалисты рекомендуют динамическое наблюдение. При наличии болевого синдрома или деформаций кости может быть показано применение нестероидных противовоспалительных препаратов. Хирургическое лечение рассматривается при значительном ухудшении качества жизни пациента, когда необходимо удалить пораженные участки кости. Важно, чтобы лечение проводилось в рамках мультидисциплинарной команды, включающей ортопедов, эндокринологов и других специалистов, что позволяет достичь наилучших результатов и минимизировать риски.

Причины
В медицинской практике до сих пор не установлены точные причины фиброзной дисплазии.
Основная гипотеза специалистов заключается в том, что это может быть связано с аномальным развитием плода в утробе, генетической предрасположенностью и мутациями.
Если генетическая предрасположенность к изменениям в структуре опорно-двигательной системы может объяснить наличие фиброзной дисплазии у детей, то как быть с взрослыми? Почему у них наблюдаются значительные деформации скелета?
Существует множество факторов, которые могут способствовать развитию различных нарушений в строении опорно-двигательной системы. Рассмотрим ключевые причины дисплазии:
- врожденные аномалии костной структуры;
- изменения в гормональном фоне;
- заболевания суставно-связочного аппарата и мышечные патологии;
- недостаточное питание, стрессовые ситуации, инфекции, болезни половой системы, токсикоз, нездоровый образ жизни;
- осложнения, возникающие при инфекционных заболеваниях;
- побочные эффекты от бесконтрольного приема медикаментов;
- интоксикация организма из-за воздействия токсичных веществ;
- нездоровый образ жизни;
- травмы опорно-двигательного аппарата и патологические переломы, приводящие к осложнениям;
- невыявленные и не леченные воспалительные процессы в костно-мышечных тканях.
Важно! Наиболее подвержены фиброзной дисплазии дети, здоровье которых во многом зависит от образа жизни их родителей, особенно матери во время беременности.
| Метод лечения | Описание метода | Показания/Противопоказания |
|---|---|---|
| Наблюдение | Регулярные осмотры и обследования для мониторинга прогрессирования заболевания. | Для пациентов с незначительным поражением костей, без симптомов или с минимальными симптомами. Противопоказаний нет, если нет других сопутствующих заболеваний, требующих активного лечения. |
| Хирургическое вмешательство | Удаление пораженной костной ткани, костная пластика, остеотомия. | Для пациентов с обширными поражениями костей, вызывающими деформацию, боль, функциональные нарушения или угрозу для жизни. Противопоказано при тяжелых сопутствующих заболеваниях, препятствующих проведению операции. |
| Бифосфонаты | Препараты, замедляющие резорбцию костной ткани. | Для пациентов с активным прогрессированием заболевания, болями в костях, высоким риском переломов. Противопоказано при почечной недостаточности, беременности, грудном вскармливании. |
| Дендросомы | Лечение, направленное на подавление активности остеокластов. | Используется в экспериментальных исследованиях, эффективность и безопасность не полностью установлены. |
| Кальцитонин | Гормон, регулирующий обмен кальция. | Может использоваться для уменьшения боли и замедления прогрессирования заболевания. Противопоказан при аллергии на препарат. |
Лечение
Лечение фиброзной дисплазии начинается с тщательной диагностики скелета пациента. Для этого используются такие методы, как МРТ, КТ и рентгенография. На основе полученных результатов врач подбирает индивидуальную терапию.
На ранних стадиях заболевание хорошо поддается лечению, однако в более запущенных случаях может потребоваться хирургическое вмешательство (выскабливание и трансплантация) для предотвращения дальнейшего ухудшения деформации костей.
Если не проводить лечение, фиброзная дисплазия может привести к серьезным осложнениям, таким как клеточные опухоли, фибромы, а также значительно повышает риск развития онкологических заболеваний.
Методы и продолжительность лечения дисплазии зависят от степени тяжести заболевания и его локализации. Чаще всего болезнь затрагивает кости черепа и челюстей, а также бедренные и берцовые кости.
Далее мы подробнее рассмотрим, как осуществляется лечение в зависимости от различных мест локализации заболевания.
Фиброзная дисплазия — это заболевание, которое вызывает много вопросов и обсуждений среди пациентов и врачей. Многие люди делятся своим опытом лечения и управления симптомами. Некоторые отмечают, что важным аспектом является ранняя диагностика, которая позволяет избежать серьезных осложнений. Врачи рекомендуют индивидуальный подход к каждому случаю, так как проявления болезни могут значительно различаться.
Некоторые пациенты говорят о положительном влиянии физиотерапии и регулярных физических упражнений на общее состояние. Другие упоминают о необходимости контроля за состоянием костей и регулярных обследованиях. Важно также учитывать психологический аспект: поддержка со стороны близких и общение с другими людьми, столкнувшимися с этой проблемой, помогают справиться с эмоциональными трудностями.
В целом, мнения о лечении фиброзной дисплазии разнообразны, и каждый ищет свой путь к улучшению качества жизни.

Череп и челюсти
Лечение фиброзной дисплазии костей черепа может включать как частичное, так и полное удаление пораженной области кости.
Показания для проведения хирургического вмешательства:
- быстрое развитие замещения соединительной тканью костей черепа;
- выраженный болевой синдром;
- заметные косметические изменения в области челюсти и головы;
- нарушения функциональности костей.
Основная цель операции при фиброзной дисплазии челюсти заключается в устранении выпячивания костей, предотвращении дальнейшего разрастания соединительной ткани и уменьшении деформации суставов.
В 8-10% случаев наблюдаются рецидивы после трансплантации. В большинстве случаев пациенты отмечают значительное улучшение состояния и восстановление функций челюстных и черепных костей.
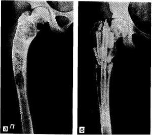
Бедренная кость
Фиброзная дисплазия бедренной кости приводит к интенсивным болям в области бедра и нарушает подвижность сустава, что затрудняет передвижение.
Хирургическое вмешательство в данном случае направлено на исправление поврежденной области с использованием подходящего по функциональным характеристикам трансплантата.
Терапия может считаться успешной только в том случае, если после завершения восстановительного периода не наблюдается рецидив.

Большая берцовая кость
Фиброзная дисплазия большеберцовой кости приводит к укорочению одной ноги по сравнению с другой, что в свою очередь вызывает нарушения в походке и осанке, хромоту и затруднения в нормальной работе опорно-двигательного аппарата.
Лечение этого состояния осуществляется через хирургическое вмешательство, направленное на пластику пораженных суставов и установку трансплантата.
После операции начинается восстановительный период, в течение которого пациент находится под внимательным наблюдением врачей. В этот период передвижение осуществляется с помощью костылей до полного заживления и восстановления области большеберцовой кости.
Заключение
Фиброзная дисплазия является заболеванием, относящимся к опухолевым патологиям опорно-двигательного аппарата. Она приводит к значительным изменениям в костной структуре и зачастую требует хирургического вмешательства.
После проведения лечения пациенту необходим регулярный медицинский контроль для снижения риска рецидивов. Благодаря профессиональной медицинской помощи состояние здоровья больного значительно улучшается, восстанавливаются двигательные функции, а также устраняются эстетические недостатки.
Вопрос-ответ
Можно ли вылечить фиброзную дисплазию?
В большинстве случаев врачам удается успешно исправить дефект с помощью операции. Медикаментозное лечение фиброзной дисплазии включает препараты, которые препятствуют атрофии кости.
Как лечат тяжёлую дисплазию?
Поэтому лечение при тяжелой дисплазии шейки матки только хирургическое, целью которого является удаление изменённых тканей. Сегодня существуют различные методики лечения: криотерапия, электрокоагуляция, радиохирургия, деструкция с помощью лазерного воздействия, фотодинамическая терапия и др.
Какое исследование проводится для подтверждения диагноза фиброзная дисплазия скуловой кости?
Основным инструментом для диагностики фиброзной дисплазии является компьютерная томография.
Советы
СОВЕТ №1
Обратитесь к специалисту. При подозрении на фиброзную дисплазию важно проконсультироваться с врачом-ортопедом или эндокринологом, который сможет провести необходимые исследования и назначить правильное лечение.
СОВЕТ №2
Регулярно проходите обследования. Фиброзная дисплазия может прогрессировать, поэтому регулярные рентгенографические исследования и другие диагностические процедуры помогут отслеживать изменения в состоянии костей и своевременно корректировать лечение.
СОВЕТ №3
Поддерживайте здоровый образ жизни. Правильное питание, физическая активность и отказ от вредных привычек могут помочь укрепить кости и улучшить общее состояние здоровья, что особенно важно при наличии фиброзной дисплазии.
СОВЕТ №4
Обсуждайте варианты лечения с врачом. Существует несколько подходов к лечению фиброзной дисплазии, включая медикаментозную терапию и хирургическое вмешательство. Обсуждайте с врачом все возможные варианты и выбирайте тот, который подходит именно вам.




