Причины
Плечевая трубчатая кость состоит из диафиза — центральной части, а также верхнего и нижнего концов. Верхний конец образует суставная головка, имеющая шаровидную форму, а под ней находится сужение, известное как шейка. Ниже шейки, между большим и малым бугорком, располагается условная граница между средней частью кости и её верхним концом — хирургическая шейка плеча.
Справка. Переломы хирургической шейки плеча составляют примерно 40% всех травм плечевой кости и чаще всего наблюдаются у пожилых людей.
Основные причины переломов связаны с непрямым механическим воздействием, которое возникает при падении на руку или локоть, ударах, толчках или при попадании в кость какого-либо предмета с силой. В результате этого плечевая кость может сгибаться, и давление, оказываемое на неё, приводит к травме.
Тип повреждений в момент травмы определяет разновидности перелома шейки плечевого сустава, которые делятся на вколоченные, аддукционные и абдукционные.
Внимание! Переломы предплечья часто происходят при непрямом ударе, падении, спотыканиях или падении на скользкой поверхности.
Часто перелом шейки наблюдается у пожилых людей из-за остеопороза. Хрупкость костей обусловлена хроническими заболеваниями. При этом уменьшается количество костных балок, истончается наружная стенка кости, а полость костномозгового пространства увеличивается. Переломы шейки плеча, как правило, бывают закрытыми. В случае серьезных повреждений травма может сочетаться с переломами других костей скелета.
Врачи подчеркивают, что лечение перелома шейки плеча требует комплексного подхода. Первоначально важно провести точную диагностику, включая рентгенографию, чтобы определить степень повреждения. В зависимости от характера перелома, может быть рекомендовано консервативное лечение, такое как иммобилизация с помощью повязки или шины. В случаях смещения фрагментов кости, специалисты могут настаивать на хирургическом вмешательстве для их правильного восстановления.
После операции или иммобилизации начинается этап реабилитации, который включает физиотерапию и специальные упражнения для восстановления подвижности и силы плечевого сустава. Врачи акцентируют внимание на важности соблюдения всех рекомендаций, чтобы избежать осложнений и обеспечить полноценное восстановление. Также они советуют пациентам быть терпеливыми, так как процесс заживления может занять несколько месяцев.

Классификация переломов
Переломы шейки плеча происходят в результате падения на руку, которая находится в отведенном или приведенном положении. Эти травмы можно классифицировать на несколько типов: без смещения отломков, со смещением и вколоченные. В зависимости от положения кости в момент травмы, переломы подразделяются на аддукционные и абдукционные. Давайте подробнее рассмотрим каждый из этих видов.
| Стадия лечения | Методы лечения | Ожидаемые результаты/Возможные осложнения |
|---|---|---|
| Первая помощь (до госпитализации) | Иммобилизация конечности (повязка «косынка», шина), обезболивание (анальгетики) | Снижение боли, предотвращение дальнейшего повреждения |
| Иммобилизация (гипс, ортез) | Наложение гипсовой повязки, использование ортеза | Стабилизация перелома, сращение костей |
| Хирургическое вмешательство (в случае необходимости) | Остеосинтез (металлические пластины, винты, штифты), артропластика | Быстрое восстановление функции плеча, уменьшение риска осложнений |
| Реабилитация | Лечебная физкультура (ЛФК), физиотерапия (УВЧ, электрофорез, магнитотерапия), массаж | Восстановление подвижности плечевого сустава, укрепление мышц, уменьшение боли и отека |
| Контроль | Рентгенологическое исследование | Оценка процесса сращения костей, выявление возможных осложнений |
Вколоченный
Вколоченный перелом шейки плечевой кости часто возникает в результате падения или под воздействием сильного прямого или непрямого давления на кость, когда рука находится в вытянутом или согнутом состоянии. Такой перелом также называют вклиненным, так как он характеризуется вдавливанием обломка в головку кости.
Когда конечность находится в нейтральном положении в момент травмы, это приводит к образованию поперечной линии перелома, при этом периферический фрагмент углубляется в головку. Если вдавливание не происходит, то возникает перелом шейки плечевой кости со смещением и отломками.
Люди, столкнувшиеся с переломом шейки плеча, часто делятся своим опытом и советами по лечению. Многие отмечают, что важным шагом является своевременное обращение к врачу, так как правильная диагностика и лечение могут существенно ускорить восстановление. Врачи рекомендуют использовать иммобилизацию с помощью повязок или шины, чтобы обеспечить неподвижность поврежденной области.
Некоторые пациенты подчеркивают важность физиотерапии, которая помогает восстановить подвижность и силу мышцы после снятия гипса. Также часто упоминается о необходимости терпения, так как процесс заживления может занять несколько месяцев. Люди советуют не пренебрегать рекомендациями специалистов и следовать их указаниям, чтобы избежать осложнений. В целом, поддержка близких и положительный настрой играют важную роль в процессе реабилитации.

Аддукционный
Аддукционный перелом происходит в ситуации, когда рука согнута в момент травмы. В этом случае отломок кости поворачивается, смещается вперед и наружу, принимая отведенное положение, в то время как суставная головка остается на месте благодаря поддержке связок, которые предотвращают вывих. При этом повреждении центральный отломок кости и периферический образуют угол, направленный внутрь.
Абдукционный
Абдукционный перелом возникает, когда плечо отводится во время травмы. Центральная часть кости смещается вниз и вперед, в то время как периферическая часть поворачивается внутрь. Двойное давление приводит к смещению отломка внутрь и его подтягиванию вверх и вперед, что создает открытый угол, направленный наружу.

Симптомы
Переломы шейки плеча проявляются следующими признаками:
- интенсивная боль в верхней части плеча;
- заметное изменение положения плечевого сустава и оси плеча;
- подкожные кровоизлияния и гематома в области поврежденной кости;
- при переломе со смещением нарушается округлая форма плеча;
- при выполнении пассивных движений слышен хруст костных фрагментов;
- наблюдается небольшое укорочение плеча;
- в случае вколоченных переломов возможно ограниченное движение в плечевом суставе, сопровождающееся болью;
- можно прощупать конец дистального фрагмента сломанной кости;
- если смещенный костный отломок сдавливает сосудисто-нервный пучок, у пациента могут возникнуть синюшность руки, отек и ощущение покалывания.
Первая помощь
Оказание первой помощи при переломе плечевой кости включает в себя фиксацию поврежденной конечности и применение обезболивающих препаратов, таких как «Анальгин». Для уменьшения отека и гематомы к травмированной области можно прикладывать холод.
Важно! При переломах крупных костей необходимо срочно оказать первую помощь, которая включает в себя меры по облегчению боли, надежную иммобилизацию поврежденной конечности и организацию комфортной транспортировки в медицинское учреждение. В противном случае у пострадавшего может развиться шок.
Для иммобилизации поврежденной руки используется косыночная повязка. Для ее изготовления подойдет ткань или платок размером 80/80/113 см, который должен быть в форме равнобедренного треугольника, а также лестничная шина. Косыночная повязка должна поддерживать руку в локтевом суставе и фиксировать конечность в согнутом положении.
После получения травмы необходимо незамедлительно обратиться в больницу, где врач сможет назначить более эффективные медикаменты. В случае открытого перелома перед наложением шины специалист обработает рану антисептиком, проведет рентген и определит дальнейшую тактику лечения.
Диагностика
При обращении пациента в травматологический пункт врач проводит осмотр поврежденной конечности, выясняет обстоятельства травмы и уточняет жалобы. После этого для определения точного диагноза травматолог назначает дополнительные исследования. Диагностика позволяет различить перелом шейки от вывиха. Если наблюдаются нарушения чувствительности на наружной стороне плеча и отвисание руки, это может указывать на повреждение подкрыльцового нерва.
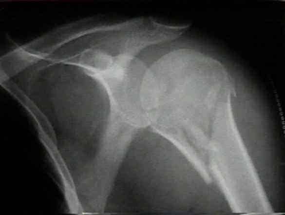
Наиболее информативным методом является рентгенография. Снимки делают в двух проекциях: аксиальной, когда изображение получается сверху вниз через подкрыльцовую ямку, и в прямой. При необходимости для более детального анализа травмы может быть назначена компьютерная томография.
Внутрисуставные переломы подтверждаются с помощью ультразвукового исследования. Снимки плечевой кости в аксиальной проекции позволяют выявить наличие боковых смещений отломков. Рентгеновские изображения помогают диагностировать и различать вколоченный перелом плечевой кости от невколоченного.
Лечение
Специалист устанавливает, какое лечение будет рекомендовано – консервативное или оперативное – основываясь на типе перелома и степени смещения костных фрагментов. Перелом плеча у людей пожилого возраста требует особого подхода, принимая во внимание возрастные особенности, наличие хронических заболеваний и дегенеративные изменения в организме. В некоторых случаях травм врач может применять метод скелетного вытяжения.
Вколоченные переломы без признаков смещения
В случае вколоченных переломов плеча рекомендуется амбулаторное и консервативное лечение. В область гематомы вводят «Прокаин» для анестезии. После этого накладывается гипсовая лонгета с клиновидным валиком под мышкой, при этом конечность немного отводится в сторону и фиксируется на месяц.
Далее пострадавшему назначается медикаментозная терапия с использованием анальгетиков, которая сочетается с физиотерапевтическими процедурами и лечебной физкультурой. Лечебная гимнастика для плечевого сустава проводится с использованием съемной лонгеты в течение двух недель. Затем врач назначает восстановительное лечение, включающее электрофорез с лекарственными средствами, парафиновые процедуры и массаж.
Для пациентов пожилого возраста в процессе лечения осуществляется контроль за состоянием сердечно-сосудистой системы, а также наблюдение за сопутствующими заболеваниями.
Переломы хирургической шейки плеча со смещением отломков
Закрытый перелом хирургической шейки плечевой кости, как левой, так и правой, может сопровождаться смещением фрагментов, что приводит к множественным повреждениям и давлению на нервные окончания и сосуды в области плеча. Лечение осуществляется в условиях стационара, и врач обязательно назначает рентгенографическое исследование.
Травматолог, применяя анестезию с использованием раствора новокаина, выполняет закрытую ручную репозицию отломков, выравнивая элементы кости с центральным фрагментом. На поврежденную область затем накладывается лонгета.
Если пострадавший получил сотрясение мозга или находится в состоянии шока из-за травмы, проводится скелетное вытяжение за локтевой отросток на всю длину плечевой кости. После этого руку фиксируют на иммобилизирующей шине, которая дополнительно укрепляется на туловище с помощью гипса и повязки. Процесс иммобилизации продолжается два месяца. Для контроля за процессом заживления пациент периодически проходит рентгенографию плеча. После завершения иммобилизации назначается лечебная гимнастика.
Хирургическое лечение
Хирургический метод используется при сложных переломах. Операция выполняется под общим наркозом. Хирург делает разрез на коже, освобождает главную вену, затем отодвигает мышцы и удаляет сгустки крови из области перелома.
После этого он сопоставляет костные фрагменты и фиксирует их с помощью пластины, винта или спиц, зашивает рану и накладывает гипсовую шину, которая простирается от края противоположной лопатки до лучезапястного сустава. Рука располагается и фиксируется на клиновидной подушке. Таким образом, врач осуществляет открытую репозицию костных отломков.
Для фиксации костей хирурги используют пластины из медицинских сплавов, которые не подвержены коррозии и обладают термомеханической памятью. Эти конструкции сближают костные обломки и надежно их удерживают. У детей фиксация костей может осуществляться с помощью спиц.
В костях создаются отверстия, в которые устанавливается фиксатор, металл принимает необходимую форму под воздействием тепла тела. Такой остеосинтез отличается высокой стабильностью, поэтому в некоторых случаях можно обойтись без внешней иммобилизации. Металлические конструкции удаляются через несколько месяцев после операции, когда убедятся, что отломки хорошо срослись.
Эндопротезирование плечевого сустава
При наличии травмы, приведшей к раздроблению плечевой кости и возникновению асептического некроза головки, пациенту может быть рекомендовано эндопротезирование. В процессе операции применяются как однополюсные, так и тотальные эндопротезы. Врач выбирает подходящий тип протеза, основываясь на возрасте пациента и его общем состоянии здоровья.
Важно. Некоторые пациенты могут иметь противопоказания к эндопротезированию. В таких случаях им проводят артродез — операцию, целью которой является фиксация сустава в неподвижном состоянии.
Особенности лечения переломов шейки плеча у пожилых людей
Переломы шейки плечевой кости нередко встречаются у людей пожилого возраста. К основным предрасполагающим факторам относятся остеопороз, нехватка кальция, витамина D и другие дегенеративные изменения в организме, которые негативно сказываются на состоянии костей.
Лечение переломов у пожилых пациентов осуществляется с использованием консервативных методов и зависит от типа травмы. При проведении анестезии дозировка препаратов снижается, чтобы минимизировать риск повышения артериального давления, головокружения и других нежелательных эффектов. При выборе медикаментов принимается во внимание возраст пациента. Для ускорения процесса восстановления врач может назначить дополнительные препараты кальция и средства, способствующие улучшению кровообращения.
В случае аддукционных переломов плеча фиксируют на срок до четырех недель, тогда как при абдукционных сначала выполняется скелетное вытяжение, а затем иммобилизация на месяц. В некоторых ситуациях может потребоваться хирургическое вмешательство. Время восстановления для пожилых людей составляет примерно три месяца, однако этот период может увеличиваться из-за наличия хронических заболеваний, таких как сахарный диабет.
Реабилитация после перелома шейки плеча и его последствия
После лечения переломов шейки плеча пациенту необходимо пройти длительный курс реабилитации. Восстановительные мероприятия направлены на развитие подвижности сустава и укрепление мышц плечевого пояса. Упражнения следует выполнять ежедневно, как в домашних условиях, так и в стационаре под контролем специалиста. Физическая нагрузка увеличивается постепенно. В дополнение к лечебной физкультуре могут быть назначены физиотерапевтические процедуры, такие как солевые ванны, электрофорез, магнитная и грязевая терапия, массаж, а также занятия в бассейне.
Прогноз на выздоровление зависит от тяжести травмы и общего состояния здоровья пациента и может занимать до трех месяцев. Улучшение физического состояния может затянуться из-за возможных послеоперационных осложнений, таких как инфекции, нагноения и наличие хронических заболеваний. Неправильное лечение также может привести к образованию ложного сустава или неправильному сращению кости.
К сопутствующим повреждениям при переломе относятся разрывы сосудов, нервов и мышечной ткани, что может вызвать сильные кровотечения и неврологические расстройства, такие как онемение, покалывание, выраженные отеки руки, гематомы, паралич и некроз тканей.
ЛФК
Лечебная гимнастика при переломе хирургической шейки плеча начинается на третий день после получения травмы и проводится в виде курса, который делится на несколько этапов с постепенным увеличением нагрузки. В первые две недели пациент выполняет комплекс упражнений, направленных на различные движения руками и наклоны туловища.
На следующем этапе, который длится четыре недели, добавляются махи и разведения верхних конечностей с поворотами туловища, а также использование спортивного инвентаря. В третьем периоде, который также продолжается четыре недели, в упражнения включаются силовые нагрузки с мячом и гантелями, а также разрешается заниматься трудовой деятельностью, например, работать в саду.
Кроме того, пациенты параллельно с лечебной физкультурой посещают бассейн, что способствует эффективному восстановлению опорно-двигательного аппарата и укреплению мышц.
Массаж
В реабилитационных мероприятиях после переломов важное место занимает массаж. Профессионалы в этой сфере должны обладать высокой квалификацией и использовать современные методы массажа, включая прерывистые вибрации, которые могут осуществляться как пальцами, так и с помощью специального молоточека.
Данная техника заключается в аккуратном постукивании по гипсовой повязке в области перелома. Массаж способствует укреплению связок и улучшению местного кровообращения, помогает устранить вторичные изменения в тканях после травмы, а также повышает сокращения и тонус мышц.
Физиотерапия
Физиотерапия играет ключевую роль в процессе восстановления здоровья после переломов. Физиотерапевтические процедуры помогают справиться с болевыми ощущениями, уменьшают отеки, способствуют заживлению ран, ускоряют регенерацию поврежденных тканей и костной мозоли, снижают воспалительные процессы и укрепляют иммунную систему.
Среди методов физиотерапии можно выделить магнитотерапию, электрофорез (воздействие электрического тока в сочетании с медицинскими препаратами), грязелечение, парафинотерапию и водные процедуры. Особенно эффективен электрофорез с кальцием, который способствует более быстрому образованию костной мозоли.
Также используются фонофорез и солевые ванны.
Однако физиотерапевтические процедуры имеют ряд противопоказаний:
- злокачественные опухоли;
- сердечно-сосудистая недостаточность;
- инфекционные заболевания;
- обострение хронических недугов;
- гиперфункция щитовидной железы;
- дерматологические заболевания, такие как дерматит, псориаз и экземы.
Заключение
Перелом шейки плеча может произойти в результате падения или непрямого удара. Крайне важно незамедлительно обратиться за профессиональной медицинской помощью и избегать самостоятельного вправления костей, чтобы не усугубить смещение отломков и не повредить сосуды и нервные окончания. Такие осложнения могут привести к инвалидности.
Следование указаниям врача является ключом к успешному восстановлению. Реабилитация в специализированных центрах поможет вернуть функции плечевого сустава.
Вопрос-ответ
Сколько времени требуется для заживления перелома шейки плечевой кости?
Плечевая кость — длинная кость в плече. Перелом проксимальной части означает её раздробление в области плечевого сустава. Заживление таких переломов обычно занимает от 6 до 12 недель.
Как правильно спать при переломе шейки плеча?
На время сна используйте повязку, под локоть положите подушку, чтобы рука была на одной высоте с телом. Попробуйте спать в полусидячем положении в кресле или в подушках. Ложитесь и вставайте с постели через здоровую сторону, дополнительно поддерживая травмированную руку здоровой рукой.
Можно ли шевелить пальцами при переломе шейки плеча?
Можно совершать активные движения, но присутствует ограничение из-за боли.
Советы
СОВЕТ №1
Обратитесь к врачу сразу после травмы. Правильная диагностика и рентгенография помогут определить степень перелома и выбрать подходящий метод лечения. Не откладывайте визит к специалисту, так как это может привести к осложнениям.
СОВЕТ №2
Следуйте рекомендациям врача по immobilization (иммобилизации). Обычно для лечения перелома шейки плеча требуется использование специальной повязки или шины. Соблюдение режима покоя и ограничения движений поможет ускорить процесс заживления.
СОВЕТ №3
Регулярно выполняйте назначенные упражнения для восстановления подвижности. После снятия иммобилизации важно постепенно возвращать функциональность плеча. Консультируйтесь с физиотерапевтом для разработки индивидуальной программы реабилитации.
СОВЕТ №4
Обратите внимание на питание. Убедитесь, что ваш рацион богат кальцием и витамином D, так как они способствуют укреплению костей и ускоряют процесс заживления. Включайте в меню молочные продукты, зелень, рыбу и орехи.






