Причины травмы
Перелом шиловидного отростка чаще всего возникает не из-за прямого механического воздействия, а в результате отдачи. При падении человек инстинктивно выставляет руку, согнутую в локте, и в этот момент на лучевую кость оказывается чрезмерная нагрузка.
Травма имеет ярко выраженный сезонный характер, и количество случаев перелома значительно увеличивается в позднюю осень и зимний период, особенно во время гололедицы.
Как лечить перелом кисти
Погодные условия — не единственная причина, также можно выделить следующие факторы:
- дорожно-транспортные происшествия;
- занятия активными видами спорта (катание на роликах, скейтборде, велосипеде и т.д.);
- спортивные и профессиональные травмы (например, неудачный прыжок или неправильное выполнение акробатического элемента);
- активные игры.
Врачи отмечают, что лечение перелома шиловидного отростка требует комплексного подхода. Первоначально важно провести тщательную диагностику, чтобы определить степень повреждения и исключить сопутствующие травмы. В большинстве случаев консервативное лечение, включающее иммобилизацию с помощью шины или гипса, является основным методом. Врачи рекомендуют ограничить физическую активность и обеспечить покой поврежденной области.
Физиотерапия также играет ключевую роль в восстановлении, помогая улучшить кровообращение и ускорить процесс заживления. В некоторых случаях, особенно при смещении отростка, может потребоваться хирургическое вмешательство для восстановления анатомической целостности. Важно, чтобы пациенты следовали рекомендациям врачей и регулярно проходили контрольные обследования для оценки динамики восстановления.

Разновидности переломов
Существуют различные виды переломов шиловидного отростка:
- Компрессионный перелом.
- Отрывной перелом шиловидного отростка.
| Стадия лечения | Методы лечения | Ожидаемые результаты/Возможные осложнения |
|---|---|---|
| Первая помощь | Иммобилизация конечности шиной или косынкой, обезболивание (анальгетики, холод) | Снижение боли и отека, предотвращение дальнейшего повреждения |
| Закрытый перелом без смещения | Иммобилизация гипсовой повязкой на 4-6 недель, физиотерапия (после снятия гипса) | Сращение костей, восстановление функции кисти |
| Закрытый перелом со смещением | Репозиция (вправление) отломков под местной или общей анестезией, иммобилизация гипсовой повязкой на 6-8 недель, физиотерапия | Сращение костей, восстановление функции кисти |
| Открытый перелом | Хирургическое вмешательство (остеосинтез), антибиотикотерапия, иммобилизация | Сращение костей, предотвращение инфекции, восстановление функции кисти |
| Реабилитация | Физиотерапия (УВЧ, электрофорез, магнитотерапия), лечебная физкультура, массаж | Восстановление подвижности сустава, силы мышц, предотвращение контрактур |
| Возможные осложнения | Неправильное сращение костей (псевдоартроз), артроз лучезапястного сустава, ограничение подвижности, инфекция, синдром запястного канала | Необходимость повторного хирургического вмешательства, длительная реабилитация, хроническая боль |
Компрессионный перелом
Образование травмы происходит в результате удара запястьем о лучевую кость, при этом основная нагрузка ложится на ладьевидную кость. Ударная сила вызывает смещение шиловидного отростка лучевой кости в наружную сторону и немного назад.
Интересный факт: Как правильно лечить компрессионный перелом поясничного отдела позвоночника?
Поскольку ладьевидная кость тесно связана с шиловидным отростком, в области соединения ладьевидной и полулунной костей возникает линейный перелом. Этот перелом проявляется в виде небольшой трещины и не сопровождается смещением отломков.
Перелом шиловидного отростка, хоть и считается редким, вызывает много вопросов у пациентов. Многие люди делятся своим опытом лечения и реабилитации. В основном, они отмечают, что важным этапом является правильная диагностика. Врачи рекомендуют делать рентген, чтобы исключить сопутствующие травмы. После этого назначается консервативное лечение: покой, иммобилизация и обезболивание.
Некоторые пациенты рассказывают о том, как им помогли физиотерапевтические процедуры, такие как ультразвук и магнитотерапия, которые способствовали быстрейшему восстановлению. Также многие подчеркивают важность соблюдения рекомендаций врача и выполнения специальных упражнений для укрепления мышц.
Однако не все так просто: некоторые сталкиваются с длительным периодом восстановления и необходимостью повторных визитов к врачу. В целом, люди советуют не игнорировать симптомы и обращаться за медицинской помощью при первых признаках травмы.

Отрывной перелом шиловидного отростка
Данный тип перелома в медицинской практике встречается довольно редко. В отличие от компрессионного перелома, здесь наблюдается полный отрыв костного фрагмента.
Такое повреждение обычно происходит из-за падения на вытянутую руку, при этом запястье резко смещается внутрь, или же может произойти полный вывих лучезапястного сустава.
Кроме этих случаев, выделяется перелом лучевой кости в типичном месте, так как в результате такой травмы шиловидный отросток также может быть оторван. Различают перелом шиловидного отростка лучевой кости как без смещения, так и со смещением.
Перелом со смещением лучевой кости делится на два типа:
- разгибательный (перелом Коллеса);
- изгибающий (перелом Смита).
Также существует перелом шиловидного отростка локтевой кости, при котором на рентгеновском снимке можно увидеть деформацию контуров конца локтевой кости.
Симптомы
Клинические проявления компрессионного типа:
- Значительная отечность, которая затрагивает близлежащие ткани.
- Боль и дискомфорт в области перелома.
- Чувство натяжения кожи.
- Ограничение подвижности верхней конечности.
- При попытке движения конечностью слышен отчетливый звук хруста (крепитации).
- В области перелома наблюдается усиленный приток крови, кожа становится красной, возможны гематомы.
Клинические проявления травмы отрывного типа:
- Сразу после травмы пострадавший ощущает резкую боль при любых попытках двигать рукой.
- Отечность, сопровождающаяся образованием гематом.
- Деформация лучезапястного сустава.
- Хруст, возникающий из-за трения костей при движении суставом.
- Онемение пальцев на руке.
- Увеличение болевых ощущений при постукивании по ладони и во время движений руками.

Первая помощь при таких переломах
Во время ожидания прибытия бригады скорой помощи важно правильно оказать первую помощь пострадавшему. Чтобы уменьшить болевые ощущения, предотвратить возможное кровотечение и избежать смещения, необходимо выполнить иммобилизацию поврежденной конечности. Для этого можно использовать любые доступные средства – зафиксировать конечность с помощью ткани или наложить специальную шину.
Обязательно обработайте поверхность раны антисептическим средством, например, раствором перекиси водорода или спиртовым раствором йода. Это поможет предотвратить заражение различными микроорганизмами.
Чтобы снизить отечность и облегчить боль, рекомендуется каждые 15 минут прикладывать к месту перелома лед или охлажденный предмет.
Для достижения лучшего результата можно предложить пострадавшему обезболивающее средство, например, нестероидный противовоспалительный препарат, такой как Диклофенак или Кетопрофен.
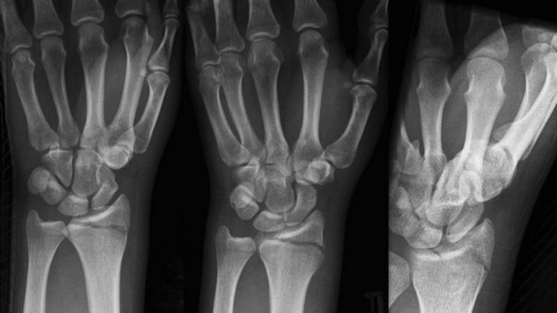
Диагностика перелома
На начальном этапе врач проводит сбор анамнеза заболевания, во время общения с пациентом уточняет детали происшествия и время падения. Затем осуществляется осмотр, после которого пострадавший направляется на рентгенографию лучезапястного сустава в двух проекциях: прямой и боковой.
Если требуется более подробная информация о состоянии мягких тканей, может быть назначена компьютерная томография или ультразвуковое исследование.
Лечение
Основным методом лечения компрессионного перелома шиловидного отростка является процедура, известная как репозиция, которая подразумевает сопоставление костных фрагментов. Эта манипуляция выполняется под местной или общей анестезией, в зависимости от степени тяжести травмы.
Для осуществления репозиции врач фиксирует одну руку пациента за внутреннюю часть лучезапястного сустава, а другую — за наружную. Затем он аккуратно сжимает конечность, чтобы костные отломки вернулись в свое естественное положение. После этого кисть отводится в сторону локтя, и на нее накладывается гипсовая лонгета.
Важно, чтобы манипуляция проводилась с достаточной силой, чтобы избежать повторного смещения.
Неправильное выполнение этой процедуры может привести к функциональным нарушениям конечности и даже к инвалидности.
Лечение отрывного перелома также включает репозицию и последующую иммобилизацию травмированной конечности. Врач захватывает большой палец пострадавшего, а остальные пальцы резко отводит в противоположную сторону.
При успешном выполнении процедуры происходит правильное сопоставление отломка шиловидного отростка и лучевой кости. Иммобилизация осуществляется с помощью гипсовой повязки, которую необходимо носить в течение месяца.
Для оценки правильности срастания костных отломков через неделю после травмы и перед снятием гипса назначается контрольная рентгенография.
В сложных случаях отрывного перелома шиловидного отростка может потребоваться хирургическое вмешательство с использованием фиксирующих средств, таких как винты, штифты или пластины. Если перелом затрагивает шиловидный отросток локтевой кости, лечение будет аналогичным.
Медикаментозная терапия включает прием кальция в сочетании с витамином D. Поскольку эти препараты имеют накопительный эффект, их назначают на весь период лечения, до полного восстановления подвижности травмированной конечности.
При выраженном болевом синдроме могут быть рекомендованы нестероидные противовоспалительные препараты и средства для уменьшения отечности. Для восстановления хрящевой ткани показан прием хондропротекторов.
Реабилитация после травмы
Реабилитационные мероприятия направлены на ускорение процесса сращения костных структур и восстановление подвижности в лучезапястном и локтевом суставах.
Во время использования гипсовой лангеты рекомендуется регулярно двигать пальцами. Это поможет развить мышцы предплечья и улучшить кровообращение в кисти. В этот период также могут быть назначены следующие физиотерапевтические процедуры:
- Ультрафиолетовая терапия.
- Магнитотерапия.
- Ультравысокочастотная терапия (УВЧ).
Ультравысокочастотная терапия противопоказана при наличии металлических фиксирующих устройств, установленных для правильного сращивания перелома.
Через полторы недели к физиотерапевтическому курсу могут быть добавлены:
- Инфракрасная лазеротерапия.
- Импульсное электромагнитное поле ультравысокочастотной терапии (ЭП УВЧ).
- Магнитная стимуляция поврежденных нервных волокон.
После снятия гипсовой повязки для восстановления рекомендуется заниматься лечебной физкультурой и пройти курс массажа. Комплекс лечебной физкультуры должен включать как статические, так и динамические упражнения. В сочетании с массажем умеренные физические нагрузки помогут укрепить нервно-мышечный аппарат, повысить тонус мышц и восстановить нормальное кровообращение в тканях.
Наиболее эффективными являются такие упражнения, как: сгибание и разгибание руки в области запястья, движения кистью в разные стороны и круговые движения. По мере увеличения физической подготовки можно использовать обычную губку или ручной эспандер, постепенно увеличивая его жесткость.
Сроки восстановления и могут ли быть осложнения
Срок восстановления будет зависеть от сложности травмы, общего состояния пациента и типа проводимого лечения. В среднем, для полного восстановления поврежденной конечности требуется около полутора месяцев.
Возможные осложнения:
- Гнойно-септические – возникают из-за проникновения инфекции на любом этапе медицинской помощи. Чаще всего встречаются при открытых переломах и могут привести к сепсису.
- Неправильное сращение костей (например, образование ложного сустава) и деформация конечности. Это может произойти, если пациент снимет гипс раньше установленного срока.
- Остеомиелит – инфекционное заболевание, затрагивающее костный мозг и костную ткань.
- Косметический дефект (например, выпирание шиловидного отростка).
- Нейротрофические осложнения.
- Повреждения кровеносных сосудов и нервных пучков (синдром контрактуры – ограничение пассивных движений в суставе).
Заключение
Предотвратить возникновение осложнений возможно, следуя указаниям, данным врачом-травматологом. Оперативная и корректная доврачебная помощь, а также медицинское вмешательство являются ключевыми факторами для быстрого выздоровления.
В большинстве случаев перелом шиловидного отростка лучевой кости, протекающий без осложнений, имеет положительный прогноз и короткие сроки восстановления.
Вопрос-ответ
Каковы симптомы перелома шиловидного отростка локтевой кости?
Наиболее заметным симптомом перелома шиловидного отростка локтевой кости является острая боль, обычно ощущаемая с локтевой стороны или с внешней стороны запястья. У пациентов также могут наблюдаться отёк, синяки и болезненность в области шиловидного отростка локтевой кости.
Как быстро срастается локтевой отросток?
Руку фиксируют в том положении, при котором отломки занимают свои места. Для полного восстановления костной ткани требуется от 3 до 4 недель.
Можно ли шевелить пальцами в гипсе при переломе лучевой кости?
Двигать пальцами обычно разрешается через несколько дней после наложения гипсовой лонгеты или после того, как исчезнут симптомы перелома лучевой кости.
Советы
СОВЕТ №1
Обратитесь к врачу для точной диагностики. Перелом шиловидного отростка может быть неочевидным, поэтому важно провести рентгенографию или МРТ для подтверждения диагноза и определения степени повреждения.
СОВЕТ №2
Следуйте рекомендациям по иммобилизации. Врач может рекомендовать использование шины или гипса для ограничения движения в области шеи, что поможет предотвратить дальнейшие повреждения и ускорить процесс заживления.
СОВЕТ №3
Не забывайте о реабилитации. После снятия иммобилизации важно пройти курс физиотерапии, чтобы восстановить подвижность и укрепить мышцы шеи. Это поможет избежать повторных травм в будущем.
СОВЕТ №4
Обратите внимание на питание. Убедитесь, что ваш рацион богат кальцием и витамином D, которые способствуют укреплению костей и ускоряют процесс заживления. Рассмотрите возможность добавления в рацион молочных продуктов, зелени и рыбы.






