Процесс развития болезни
Фасции представляют собой соединительные ткани опорно-двигательного аппарата, которые выполняют роль естественного поддерживающего каркаса для мышц и связок. Подошвенная фасция является наиболее нагруженной частью в организме человека.
При ходьбе, беге и в положении стоя стопа часто подвергается значительным нагрузкам, что может приводить к микроповреждениям и разрывам фасций. Именно это и становится причиной появления пяточной шпоры.
При постоянных микротравмах фасция не успевает восстановиться, что приводит к воспалению тканей и возникновению болевых ощущений. Процесс заживления сопровождается образованием рубцовой ткани и костных наростов.
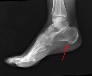
Название патологии выбрано не случайно — на рентгеновских снимках видно костное образование на пятке, напоминающее шпору.
Наиболее часто данное заболевание развивается на фоне плоскостопия и артроза голеностопного сустава, поскольку неправильное распределение нагрузки на голеностоп влияет на развитие фасциита. Другие причины возникновения этого заболевания будут рассмотрены далее.
Врачи отмечают, что лечение пяточной шпоры требует комплексного подхода. В первую очередь, важно снизить нагрузку на поражённую область. Специалисты рекомендуют использовать ортопедические стельки и специальные обувные вставки, которые помогают распределить вес тела более равномерно. Физиотерапия также играет ключевую роль: ультразвук, лазерная терапия и магнитотерапия могут значительно уменьшить воспаление и боль.
Кроме того, врачи советуют выполнять специальные упражнения для растяжки и укрепления мышц стопы и голени. В некоторых случаях может потребоваться инъекция кортикостероидов для снятия острого воспаления. Если консервативные методы не приносят облегчения, хирургическое вмешательство может стать последним вариантом. Важно помнить, что индивидуальный подход к каждому пациенту и соблюдение рекомендаций врача являются залогом успешного лечения.

Симптомы и диагностика
Заболевание развивается постепенно, и поэтому симптомы пяточной шпоры могут долгое время не вызывать беспокойства у пациента.
Тем не менее, прогрессирующая патология проявляется резкой болью в области пятки при нагрузке на голеностопный сустав.
Болевые ощущения могут ослабевать в течение дня, но особенно беспокоят пациента утром и вечером.
Асептическое воспаление фасций сопровождается покраснением и утолщением кожи в районе пяточной кости, а также резкой болью при опоре на стопу. При длительном течении заболевания становятся заметны костные разрастания.
На рентгеновских снимках четко видны изменения в структуре голеностопа, вызванные образованием шпоры, а ультразвуковое исследование выявляет воспалительный процесс в мягких тканях. При пальпации пациент ощущает сильную боль, сравнимую с ходьбой по осколкам стекла.
| Метод лечения | Описание | Плюсы | Минусы |
|---|---|---|---|
| Консервативное лечение (без операции) | Включает в себя медикаментозную терапию (нестероидные противовоспалительные препараты, местные анестетики), физиотерапию (УВЧ, лазерная терапия, магнитотерапия), ортопедические стельки и обувь, лечебную гимнастику. | Менее инвазивно, часто эффективно на ранних стадиях, меньше риск осложнений. | Может потребоваться длительное время для достижения результата, не всегда эффективно при запущенных случаях. |
| Внутрисуставные инъекции | Введение кортикостероидов или гиалуроновой кислоты в область пяточной шпоры. | Быстрое уменьшение боли и воспаления. | Временный эффект, риск побочных эффектов (инфекция, атрофия тканей), не подходит для длительного применения. |
| Хирургическое лечение | Удаление пяточной шпоры хирургическим путем. | Эффективно при неэффективности консервативного лечения, полное удаление шпоры. | Инвазивно, риск осложнений (инфекция, повреждение нервов), длительный период реабилитации. |
| Экстракорпоральная ударно-волновая терапия (УВТ) | Воздействие на пяточную шпору ударными волнами низкой интенсивности. | Стимулирует регенерацию тканей, уменьшает боль и воспаление, минимально инвазивно. | Может быть болезненно, не всегда эффективно, требует нескольких сеансов. |
Причины
Факторы, способствующие развитию плантарного фасциита, весьма разнообразны. Это заболевание может возникать как на фоне уже существующих проблем с опорно-двигательным аппаратом, так и в качестве самостоятельной патологии.
На формирование фасциита оказывают влияние образ жизни пациента и общее состояние его здоровья.
Рассмотрим ключевые причины появления пяточной шпоры:
- чрезмерная нагрузка на голеностопный сустав, приводящая к постоянным микротравмам (к основным факторам нагрузки относятся избыточный вес, занятия спортом, длительная ходьба и работа в стоячем положении, а также ношение неудобной обуви);
- сопутствующие заболевания опорно-двигательного аппарата (плоскостопие, вальгусная деформация, артрит, артроз);
- травмы области пятки.
Наиболее подвержены этому заболеванию спортсмены, люди с избыточным весом и любительницы обуви на высоких каблуках.
Возраст пациентов, обращающихся с вопросами о том, как выявить пяточную шпору, обычно составляет от 30 до 45 лет.
Многие люди, столкнувшиеся с пяточной шпорой, делятся своим опытом и методами лечения. Одни рекомендуют обратиться к врачу для точной диагностики и назначения лечения, так как самолечение может усугубить проблему. Другие советуют использовать ортопедические стельки, которые помогают снизить нагрузку на пятку и улучшить комфорт при ходьбе. Физиотерапия также часто упоминается как эффективный способ облегчения боли. Некоторые пациенты отмечают положительный эффект от массажа и растяжки, которые помогают расслабить мышцы и улучшить кровообращение. В дополнение к этому, народные средства, такие как компрессы с уксусом или картофелем, также находят своих сторонников. Важно помнить, что каждый случай индивидуален, и то, что помогло одному, может не подойти другому.

Лечение шпоры на пятке
Чтобы узнать, как и чем медикаментозно лечить шпору на пятке, стоит обратиться к травматологу или хирургу. Специалист проведет полное обследование и подберет индивидуально подходящее лечение.
Следует отметить, что медикаментозная терапия пяточной шпоры в основном направлена на облегчение симптомов, не устраняя при этом основную причину. Этот метод лечения помогает смягчить проявления заболевания и улучшить качество жизни пациента.
Какие медикаменты реально помогают
Основной задачей медикаментозного лечения фасциита является снижение болевых ощущений в области пятки и устранение воспалительных процессов. Для достижения этих целей эффективно применяются нестероидные противовоспалительные средства (НПВС) и местные анальгетики:
- перцовые и растительные пластыри (способствуют улучшению кровообращения, уменьшают отечность и болевые ощущения);
- кремы на основе акульего жира (обладают противовоспалительным и регенерирующим эффектом);
- мазь Пяткошпор с медицинской желчью (уменьшает выраженность воспаления мягких тканей, снижает раздражение кожи и облегчает симптомы пяточной шпоры);
- Димексид в форме геля (обладает противовоспалительным и обезболивающим действием, используется как основа для согревающего компресса).
Также подбираются индивидуально противовоспалительные препараты для перорального применения, инъекции и глюкокортикостероиды, которые помогают справиться с выраженным воспалением фасций и купировать болевой синдром.

Для чего нужна физиотерапия
Одной лишь медикаментозной терапии недостаточно для полного избавления от заболевания.
Комплексный подход к лечению включает физиотерапию, лечебную физкультуру, массаж и коррекцию стопы с помощью ортопедических средств.
Эти методы воздействуют непосредственно на костный нарост, вызывающий дискомфорт. Наиболее эффективными способами физиотерапии являются:
- лазерная терапия;
- ультравысокочастотная терапия (УВЧ);
- магнитотерапия;
- электрофорез;
- ударно-волновая терапия.
Процедуры направлены на улучшение кровообращения в области пятки, снятие болевых ощущений, замедление формирования костных образований, улучшение усвоения лекарств, а также восстановление поврежденных фасций и сухожилий.
Гимнастика и массаж
Эффективность лечебной физкультуры и массажа при плантарном фасциите заключается в повышении эластичности связок, мышц и сухожилий голеностопного сустава, снижении болевых ощущений и восстановлении правильного положения стопы.
Рекомендуется выполнять каждое из следующих упражнений по 5 раз:
- Упритесь ладонями в стену, поставив ноги одну за другую (больная нога сзади). Согните переднюю ногу в колене, задняя нога должна быть выпрямлена, а пятка оставаться прижатой к полу. Удерживайте это положение в упоре на стену с натянутым голеностопом в течение 30 секунд.
- Выполняйте растяжение стопы, поднимаясь на носки на приподнятой поверхности, по 20 раз вверх и вниз.
- Сжимайте и разжимайте пальцы ног, натягивая их в течение 30 секунд.
- Используя массажный мячик или цилиндр, массируйте стопу, перемещая его взад-вперед в течение 1-2 минут на каждую стопу.
Эти простые упражнения способствуют улучшению кровообращения и восстановлению эластичности тканей. Как выполнять самомассаж при пяточной шпоре, смотрите в видео:
Народная медицина – рецепт от шпоры на пятке
Лечение пяточной шпоры в домашних условиях с помощью уксуса и яйца – это популярный метод в борьбе с плантарным фасциитом. Эффективность данного средства объясняется согревающим и обезболивающим действием натуральных компонентов.
Для создания мази вам понадобятся: одно яйцо, 100 мл уксусной эссенции и 100 г сливочного масла или нутряного жира животного происхождения.
Процесс приготовления занимает 2-3 дня. Яйцо следует залить 9% уксусом, не разбивая скорлупу, и оставить в темном месте на 2-3 дня.
Когда скорлупа начнет растворяться, добавьте в яичную смесь жир и тщательно перемешайте. Затем оставьте мазь настаиваться в темном месте на пару недель, периодически помешивая.
Когда мазь будет готова, ее можно использовать в качестве основы для компресса, прикладывая к пятке на всю ночь.
Задержка с визитом к врачу и использование народных средств для лечения пяточной шпоры часто приводит к ухудшению состояния пациента и прогрессированию заболевания.
Медицинские специалисты настоятельно советуют не тратить время на самодельные методы и своевременно обращаться за профессиональной помощью. Мазь из яйца, уксуса и масла может лишь временно облегчить симптомы, создавая ложное ощущение выздоровления.
Заключение
Воспаление фасций в области голеностопного сустава часто приводит к образованию остеофитов – костных наростов, которые могут деформировать стопу и вызывать интенсивные болевые ощущения.
Лечение пяточной шпоры требует комплексного подхода, который включает физиотерапию, лечебную физкультуру, массаж и применение медикаментов. Только при своевременном обращении к специалисту-травматологу можно навсегда избавиться от неприятных симптомов, связанных с пяточной шпорой.
Вопрос-ответ
Какие симптомы указывают на наличие пяточной шпоры?
Основными симптомами пяточной шпоры являются резкая боль в пятке, особенно при первом шаге после сна или длительного сидения, а также дискомфорт при длительной ходьбе или стоянии. Боль может уменьшаться после разминки, но часто возвращается после отдыха.
Каковы основные методы лечения пяточной шпоры?
Лечение пяточной шпоры может включать консервативные методы, такие как применение противовоспалительных препаратов, физиотерапия, использование ортопедических стелек и изменение обуви. В более тяжелых случаях может потребоваться инъекция кортикостероидов или хирургическое вмешательство.
Как можно предотвратить появление пяточной шпоры?
Для предотвращения пяточной шпоры рекомендуется поддерживать нормальный вес, носить удобную обувь с хорошей амортизацией, избегать длительных нагрузок на ноги и регулярно выполнять упражнения для укрепления мышц стопы и голеностопа.
Советы
СОВЕТ №1
Используйте ортопедические стельки или специальные подушки для обуви. Они помогут снизить нагрузку на пятку и улучшить распределение веса при ходьбе, что может значительно уменьшить болевые ощущения.
СОВЕТ №2
Регулярно выполняйте упражнения на растяжку мышц и связок стопы. Это поможет улучшить гибкость и снизить напряжение в области пятки, что может способствовать уменьшению боли и дискомфорта.
СОВЕТ №3
Применяйте холодные компрессы на пораженную область. Это поможет уменьшить воспаление и облегчить боль. Делайте компрессы на 15-20 минут несколько раз в день, особенно после физической активности.
СОВЕТ №4
Обратитесь к врачу для получения профессиональной диагностики и рекомендаций. В некоторых случаях может потребоваться физиотерапия или другие методы лечения, такие как инъекции кортикостероидов или использование аппаратов для ударно-волновой терапии.





