Что собой представляет заболевание
Неправильно рассматривать эту патологию как отдельное заболевание; на самом деле, она возникает в результате уже существующих болезней или травм. Отек вызывает нарушения в кровообращении и дыхании, а зрачки реагируют аномально на обычные раздражители.
Как лечить перелом отростков позвоночника
Трабекулы, находящиеся в костном мозге, играют ключевую роль в обеспечении прочности и стабильности костной ткани. Их можно условно назвать несущими конструкциями организма. Благодаря нормальному функционированию костного мозга происходит образование новых клеток крови, а также созревают клетки иммунной системы и начинается процесс костеобразования. Это подчеркивает важность здоровья костного мозга для всего организма.
Обычный ушиб или повреждение кости могут привести к накоплению жидкости в костных пластинах позвонка. Избыточная жидкость нарушает кровообращение в тканях, что, в свою очередь, приводит к отеку тела позвонка и разрушению костной ткани суставов, известному как трабекулярный отек.
Это заболевание не следует недооценивать, так как оно может вызвать ряд серьезных последствий. При отечности позвонка может возникнуть давление на спинной мозг.
Врачи отмечают, что лечение трабекулярного отека костного мозга требует комплексного подхода. В первую очередь, важно установить причину отека, так как он может быть следствием различных заболеваний, включая травмы, воспалительные процессы или опухоли. В зависимости от диагноза, терапия может включать как консервативные методы, так и хирургическое вмешательство.
Консервативное лечение часто включает применение противовоспалительных препаратов, физиотерапию и изменение образа жизни. В некоторых случаях может потребоваться использование костных стимуляторов или других медикаментов для улучшения кровообращения и восстановления тканей.
Врачи подчеркивают, что регулярное наблюдение и контроль состояния пациента являются ключевыми для успешного лечения. Важно также учитывать индивидуальные особенности каждого пациента, чтобы подобрать наиболее эффективную стратегию терапии.

Причины
Как и любая другая болезнь, появление отека в области позвонка обусловлено множеством факторов. Все они так или иначе связаны с нарушениями в работе суставов и костной структуры.
Для точного определения причины и выбора лечения трабекулярного отека позвонка важно учитывать три типа заболевания:
- вазогенный отек;
- интерстициальный;
- цитотоксический.
Отек может возникать в результате воспалительных процессов, связанных с повреждением капилляров, а также из-за переломов и ушибов костей. Жидкость может скапливаться в костной ткани после хирургических операций и при значительных нагрузках на коленный сустав.
| Метод лечения | Механизм действия | Побочные эффекты |
|---|---|---|
| Коррекция основного заболевания (например, инфекция, лейкемия) | Устранение причины отека | Зависит от основного заболевания и его лечения |
| Гидратация | Увеличение объема крови, улучшение кровотока | Отеки, гипергидратация |
| Кортикостероиды | Противовоспалительное действие, снижение отека | Иммуносупрессия, гипергликемия, повышение артериального давления |
| Диуретики | Удаление лишней жидкости из организма | Гипокалиемия, гипонатриемия, обезвоживание |
| Оксигенотерапия | Улучшение оксигенации тканей | Возможны побочные эффекты при высоких концентрациях кислорода |
| Симптоматическая терапия (анальгетики, противовоспалительные) | Снижение боли и воспаления | Зависит от препарата |
Симптомы
При отеке позвоночника симптомы могут проявляться по-разному. Нервные волокна, отходящие от спинного мозга, контролируют функционирование внутренних органов, таких как мочевой пузырь, кишечник и почки. При наличии заболевания нервные импульсы могут ослабевать, что приводит к недержанию мочи и кала или, наоборот, к запорам.
Возможны неврологические проявления, среди которых можно отметить резкую реакцию зрачков на свет.
На ранних стадиях заболевания могут наблюдаться следующие признаки:
- постоянная ноющая боль;
- чувствительность костей, ощущение зуда;
- отечность в области повреждения;
- болезненность при прикосновении к воспаленному участку;
- тошнота, слабость, иногда головокружение;
- спазмы сосудов.
При длительном течении болезни могут возникнуть более серьезные осложнения:
- ограниченность движений в суставах;
- хромота;
- прекращение формирования новых хрящей и сухожилий;
- общее ослабление иммунной системы.
Также возможно частичное или полное нарушение чувствительности конечностей. При воспалении или травме шейных позвонков может наблюдаться нарушение дыхания, атрофия дыхательной мускулатуры и потеря тонуса сосудов. В случае затрудненного вдоха или невозможности выдоха необходимо срочно обратиться к врачу для получения квалифицированной помощи.
Запоздалое лечение может привести к серьезным последствиям, вплоть до летального исхода.
Если вы заметили подобные симптомы, не стоит игнорировать необходимость диагностики. В зависимости от тяжести заболевания может быть назначена либо медикаментозная терапия, либо хирургическое вмешательство.
Люди, столкнувшиеся с трабекулярным отеком костного мозга, часто делятся своим опытом и рекомендациями. Многие отмечают, что важным шагом в лечении является правильная диагностика, которая позволяет определить причины отека. Врачи советуют проводить комплексное обследование, включая МРТ и анализы крови.
Некоторые пациенты упоминают о положительном влиянии физиотерапии и легких физических нагрузок на восстановление. Также распространены рекомендации по изменению диеты, включая увеличение потребления кальция и витаминов.
Однако, важно помнить, что каждый случай индивидуален, и то, что помогло одному, может не подойти другому. Поэтому консультация с врачом и следование его рекомендациям остаются ключевыми в процессе лечения.

Лечение
Отек спинного отдела может возникнуть в результате вывиха позвоночника, автомобильной аварии или как осложнение тяжелых заболеваний.
Наиболее распространенным методом борьбы с этой проблемой является медикаментозная терапия, однако в некоторых случаях может потребоваться хирургическое вмешательство. Обычно в лечении применяются Актовегин, Йодид калия и витамины.
Консервативное лечение должно сосредоточиться на снятии боли и восстановлении нормального кровообращения. Также активно используется лечебная физкультура, которая помогает активизировать обменные процессы, способствующие восстановлению костной ткани. Весь курс лечения обычно занимает около года.
Если медикаментозная терапия не приносит ожидаемых результатов, может быть рекомендовано хирургическое вмешательство, но только после тщательной диагностики.
Особенности отека мозга бедренной кости
Отек костного мозга в бедренной кости приводит к разрушительным изменениям в костной ткани.
Такой процесс затрагивает не только костный мозг, но и саму кость, что может привести к образованию гнойных очагов.
В ходе заболевания внутри костного мозга происходит размножение патогенных бактерий. В данном контексте отек является лишь следствием основного заболевания.
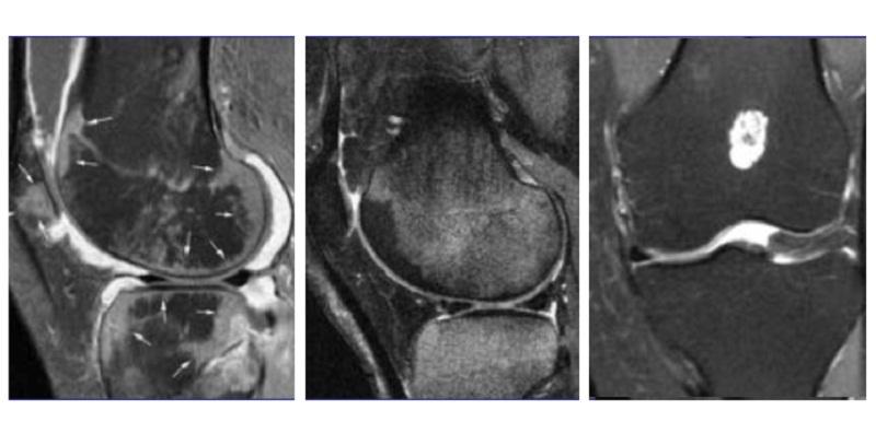
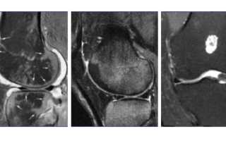
Изменения в костном мозге можно выявить с помощью магнитно-резонансной томографии и анализа крови.
Хотя отек костного мозга бедренной кости не столь опасен, как отек в области спинного мозга, он все равно требует точной диагностики и квалифицированного лечения. Терапия трабекулярного отека костного мозга бедренной кости осуществляется с помощью медикаментов. Применяются как стероидные, так и нестероидные препараты.

Особенности отека мозга большеберцовой кости
В результате травмы или перелома большеберцовой кости может возникнуть отек костного мозга в этой области. Человек начинает ощущать боль и давление в кости, также возможно появление кровотечения. Симптоматика схожа с проявлениями остеосклероза.
При повреждении нарушается опорная функция кости, и в месте травмы образуется отечность. Из-за изменений в структуре костной ткани может произойти уменьшение длины берцовой кости.
Для точной диагностики рекомендуется провести МКТ костной ткани. Врачи настоятельно советуют применять медикаментозное лечение, что существенно снижает риск прогрессирования заболевания. Для замедления процессов разрушения кости назначаются препараты на основе хрящевой ткани.
Как лечить реактивный трабекулярный отек
Реактивный трабекулярный отек позвонков возникает после хирургического вмешательства. Он сопровождается резкой болью и небольшой отечностью. Этот отек не представляет серьезной угрозы и легко устраняется с помощью специально подобранных нагрузок. Упражнения чередуются с определенными позициями.
Физиотерапия обычно продолжается в течение 10 дней, что, как правило, является достаточным сроком. В случае возникновения болей могут быть назначены анальгетики.
Трабекулярный отек в любом его проявлении является, прежде всего, признаком какого-либо заболевания. Увеличение объема жидкости в трабекулах может сигнализировать о нарушениях в процессах, происходящих в костном мозге.
Заключение
В заключение, стоит отметить, что это заболевание может перейти в хроническую форму, что в итоге может привести к инвалидности. Патология требует срочного вмешательства, и чем раньше начнется процесс лечения, тем выше вероятность полного выздоровления. Не стоит откладывать диагностику, так как терапия на ранних этапах развития трабекулярного отека может практически полностью устранить недуг.
Берегите свое здоровье и наслаждайтесь жизнью!
Вопрос-ответ
Как избавиться от отека костного мозга?
Отёк костного мозга обычно проходит сам по себе со временем. Ваш врач, вероятно, порекомендует вам покой, часто в течение нескольких месяцев. Для облегчения симптомов ваш врач может также порекомендовать нестероидные противовоспалительные препараты (НПВП).
Что такое трабекулярный костный отек?
Трабекулярный отек сопровождает травмы в 100 % случаев. Встречается в любом отделе позвоночника – от шейного до копчика. Локализация зависит от механизма травмы. Под действием механического фактора увеличивается давление на костную ткань, может произойти перелом позвонка, растяжение и разрывы связок.
Какие добавки полезны при отеке костного мозга?
Добавки с витамином D могут быть полезны профессиональным спортсменам, проходящим лечение отёка костного мозга бисфосфонатами, согласно новому исследованию, опубликованному в журнале European Soccer Pros. Отёк костного мозга — это отёк, вызванный накоплением интерстициальной жидкости в костях, часто связанный со стрессовым переломом.
Советы
СОВЕТ №1
Обратитесь к врачу для точной диагностики. Трабекулярный отек костного мозга может быть симптомом различных заболеваний, поэтому важно пройти полное обследование и получить рекомендации от специалиста.
СОВЕТ №2
Следуйте предписанному лечению. Если врач назначил медикаменты или физиотерапию, строго придерживайтесь его рекомендаций, чтобы ускорить процесс восстановления и избежать осложнений.
СОВЕТ №3
Обратите внимание на свой рацион. Употребление продуктов, богатых кальцием и витамином D, может помочь укрепить кости и улучшить состояние костного мозга. Рассмотрите возможность консультации с диетологом.
СОВЕТ №4
Не забывайте о физической активности. Легкие упражнения, такие как прогулки или растяжка, могут помочь улучшить кровообращение и способствовать восстановлению. Однако перед началом любых физических нагрузок проконсультируйтесь с врачом.




