Основные причины появления трещин в костях
Трещины в костях могут возникать в самых разных ситуациях: в результате дорожно-транспортных происшествий, бытовых или производственных травм, во время драк или при падениях.
К основным факторам, способствующим возникновению трещин, относятся:
- интенсивные тренировки с тяжестями;
- травмы, полученные во время занятий спортом;
- неудобная обувь;
- низкокачественный спортивный инвентарь;
- уменьшение плотности костной ткани;
- избыточный вес или анорексия;
- нехватка минералов, включая кальций;
- заболевания щитовидной железы;
- длительное применение гормональных препаратов и анаболических стероидов;
- нерегулярный менструальный цикл у женщин, менопауза.
Трещины в костях возникают из-за прямого воздействия, такого как удар или неудачное падение. В этом случае ткани не обладают достаточной прочностью, чтобы выдержать нагрузку, однако опорная функция кости остается. При переломах, напротив, происходит смещение костных фрагментов. На одном элементе скелета может образоваться одна или несколько трещин, которые могут иметь косые, прямые или спиралевидные линии.
Врачи подчеркивают, что лечение трещины в кости требует комплексного подхода. Прежде всего, необходимо провести рентгенологическое исследование для точной диагностики и определения степени повреждения. В большинстве случаев рекомендуется иммобилизация поврежденной области с помощью гипса или шины, что позволяет кости заживать в правильном положении. Важно также соблюдать режим покоя и избегать нагрузок на травмированную конечность.
В некоторых случаях может потребоваться хирургическое вмешательство, особенно если трещина сложная или сопровождается смещением. Врач может назначить противовоспалительные препараты для уменьшения боли и отека. Реабилитация играет ключевую роль в восстановлении, поэтому физиотерапия и специальные упражнения помогут вернуть функциональность и укрепить мышцы вокруг поврежденной кости. Врачи настоятельно рекомендуют следить за питанием, включая в рацион продукты, богатые кальцием и витамином D, что способствует более быстрому заживлению.

Повреждение костей у детей
У малышей до года нередко выявляют переломы линейного типа или трещины свода черепа, включая теменную, лобную, височную и затылочную кости. Часто они затрагивают несколько областей одновременно. В результате этого возникают повреждения сосудов и формируются гематомы.
Благодаря гибкости костей у детей, особенно у младенцев, часто наблюдаются вдавленные переломы, которые могут достигать основания черепной коробки. Такие травмы требуют срочной госпитализации. В противном случае последствия могут быть серьезными – фрагменты костей могут повредить кору головного мозга или кровеносные сосуды.
Трещины в других частях скелета у детей напоминают надлом зеленой веточки, при этом надкостница остается целой. В таких случаях процесс заживления тканей проходит быстро. Дети до трех лет должны находиться под постоянным вниманием родителей, так как именно в этом возрасте маленькие активные исследователи получают наибольшее количество травм, связанных с костной тканью.
| Стадия перелома | Метод лечения | Ожидаемое время заживления |
|---|---|---|
| Закрытый перелом без смещения | Иммобилизация гипсом или ортезом | 4-6 недель |
| Закрытый перелом со смещением | Репозиция (вправление) костных отломков, иммобилизация гипсом или ортезом, иногда операция | 6-8 недель и более |
| Открытый перелом | Хирургическое вмешательство (остеосинтез), антибиотики, иммобилизация | 8-12 недель и более |
| Перелом со значительным повреждением мягких тканей | Хирургическое вмешательство, возможно костная пластика, длительная иммобилизация, физиотерапия | 12 недель и более |
Симптомы трещины и отличия от перелома кости
Как распознать трещину в кости? Пациенты часто отмечают болезненные ощущения, которые усиливаются при движении или прикосновении к области травмы. В состоянии покоя боль становится менее выраженной, но могут ощущаться пульсация и покалывание. Например, при повреждении ребер вдох может вызывать резкую боль.
Эти симптомы объясняются тем, что при травме нарушается целостность надкостницы, содержащей рецепторы, которые передают сигналы о повреждении в мозг.
В зоне травмы быстро развивается отек, который обычно проходит в течение суток. Появление гематом также может свидетельствовать о наличии трещины в кости. Дискомфорт заставляет человека принимать наиболее удобное положение.
Чтобы отличить перелом от трещины, важно правильно интерпретировать симптомы, которые могут быть схожи и вводить в заблуждение.
К основным признакам перелома относятся:
- характерный хруст в области травмы;
- резкая боль;
- чрезмерная подвижность конечности и ее неестественное положение;
- «мраморный» цвет кожи;
- отечность;
- онемение.
Главный признак перелома – это смещение костной ткани, деформация или укорочение конечности, чего не наблюдается при трещинах. Боль бывает настолько интенсивной, что человек не в состоянии совершать даже минимальные движения.
Люди, столкнувшиеся с трещинами в костях, часто делятся своим опытом лечения и восстановления. Многие отмечают, что первое, что необходимо сделать, — это обратиться к врачу для диагностики и назначения правильного лечения. Врач может рекомендовать рентген, чтобы точно определить степень повреждения.
Некоторые пациенты рассказывают о важности покоя и ограничения физической активности в период восстановления. Им также советуют использовать специальные повязки или шины для фиксации поврежденной области.
Многие отмечают, что физиотерапия играет ключевую роль в процессе реабилитации. Упражнения, подобранные специалистом, помогают восстановить подвижность и укрепить мышцы вокруг травмированной кости.
Не менее важным аспектом является правильное питание, богатое кальцием и витамином D, что способствует более быстрому заживлению. В целом, люди подчеркивают, что терпение и соблюдение рекомендаций врача — залог успешного восстановления после травмы.

Методы диагностики: как отличить трещину от перелома
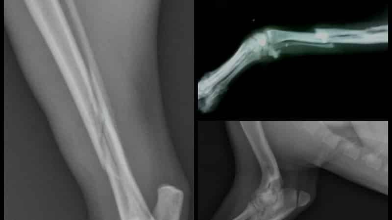
На приеме у хирурга или травматолога осуществляется первичный осмотр, фиксируются жалобы пациента, выясняется, каким образом была получена травма, и выдается направление на рентген. Этот метод диагностики трещин и переломов является стандартным и позволяет получить информацию о типе повреждения, увидеть, как выглядит трещина в кости на снимке, а также оценить ее размеры и состояние окружающих тканей.
Стратегия лечения зависит от точности диагноза. В сложных и тяжелых случаях для более детального определения характера повреждений применяется магнитно-резонансная томография, которая позволяет создавать трехмерные изображения с определением глубины повреждения кости.
Первая помощь при трещинах кости
Первая помощь при подозрении на трещину включает следующие шаги:
- наложение холодного компресса или льда для облегчения состояния пострадавшего до прибытия медицинской помощи;
- обеспечение полного покоя и исключение любых физических нагрузок;
- фиксация поврежденной конечности в медицинском учреждении (использование гипсовой лонгеты при трещине берцовой или лучевой кости, эластичного бинта при повреждении ребер);
- прием пероральных анальгетиков из группы нестероидных противовоспалительных средств.
При подозрении на трещину не следует:
- использовать наружные средства для растирания;
- двигаться, кашлять или наклоняться в сторону при повреждении ребер.

Методы лечения
После выявления трещины в бедренной кости врачи настоятельно советуют незамедлительно приступить к лечению, чтобы обеспечить правильное срастание тканей. Пострадавшего следует срочно доставить в медицинское учреждение, чтобы избежать возможных осложнений.
Крайне важно своевременно реагировать на симптомы и начать квалифицированное лечение трещины в кости руки. В больнице травматолог накладывает гипсовую лонгету, которая надежно фиксирует конечность на весь период реабилитации.
Методы лечения повреждений костной ткани основываются на консервативной терапии с применением нестероидных противовоспалительных средств (НПВС) и других медикаментов, обладающих противовоспалительным эффектом. Также на практике часто используется эластичное бинтование или иммобилизация конечностей.
Если трещина в лучевой кости или любом другом участке скелета останется без должного внимания, это может привести к ухудшению состояния, вплоть до полного перелома с смещением осколков, что может вызвать длительную утрату трудоспособности. Гематомы в области травмы могут загноиться, что является прямым путем к гангрене и потере конечности. Любая травма, даже если она кажется незначительной, требует вмешательства специалиста.
Рекомендация. Врачи советуют в течение двух недель после получения травмы употреблять продукты, богатые кальцием и природным коллагеном.
Как долго заживает трещина в кости? Время восстановления зависит от характера повреждения, возраста пациента и в среднем составляет от 4 до 6 недель. Полное восстановление может занять от 4 до 6 месяцев.
Медикаменты
При первых проявлениях трещины в костях ног, рук и других частях опорно-двигательного аппарата, а также после определения характера повреждения, назначаются следующие группы медикаментов:
- Нестероидные противовоспалительные средства (НПВС) для облегчения болевого синдрома, предотвращения шока, уменьшения отечности и воспалительных процессов (например, «Кетонов», «Пенталгин», «Ибупрофен»);
- Мочегонные препараты, направленные на улучшение оттока жидкости из области травмы (например, «Фуросемид», «Диакарб»);
- Лекарства, содержащие кальций, в сочетании с витамином D для ускорения процесса заживления тканей (например, цитрат или глюконат кальция);
- Мази, кремы и гели для наружного применения с согревающим или охлаждающим эффектом (например, «Фастум гель», «Апизартрон»).
Справка. Согревающие средства способствуют увеличению кровотока к пораженному участку, что помогает устранить воспаление тканей. Их рекомендуется использовать в первые 24 часа после травмы. Охлаждающие гели помогают снять болевые ощущения и могут применяться на протяжении всего периода лечения, независимо от времени, прошедшего с момента перелома.
Иммобилизация
Незначительные травмы, такие как трещина в пальце, не требуют использования гипса, так как процесс восстановления проходит значительно быстрее, чем при переломе. При трещине в руке или ступне, в зависимости от степени повреждения, врачи рекомендуют обеспечить неподвижность. Повреждения берцовых костей без своевременной иммобилизации могут привести к переломам.
При наложении гипса поврежденная конечность фиксируется так, чтобы не создавать нагрузку на кость. Пациент не получает специальных указаний от травматолога. Важно придерживаться режима покоя и не нагружать ногу раньше установленного срока.
Питание и активность
Для ускорения процесса восстановления специалисты советуют включить в рацион продукты, богатые кальцием, жирными кислотами, коллагеном и магнием. Это особенно актуально для детей, женщин в период менопаузы, а также во время беременности и грудного вскармливания, а также для пожилых людей.
Врачи подчеркивают важность поддержания здоровья организма. Укрепление мышечного корсета с помощью щадящих тренировок в спортзале, йоги, плавания и бега способствует улучшению физической формы и снижает риск повторных травм.
Люди с избыточным весом и диабетом особенно подвержены образованию трещин. Поэтому соблюдение принципов рационального и диетического питания является основой для крепости костно-мышечной системы.
Прежде всего, в рацион должны входить продукты, богатые кальцием:
- молочные и кисломолочные изделия;
- орехи, бобовые, зеленый горох, чечевица, кунжут, мак;
- фрукты, овощи и зелень (спаржа, морковь, сельдерей, брокколи, редис, земляника, крыжовник, виноград, смородина, абрикосы);
- морская капуста и рыба (сардина, лосось).
Также важны продукты, содержащие витамин D:
- рыбий жир – источник омега-3;
- белая рыба (палтус, треска);
- яичный желток в сыром виде, нерафинированное растительное масло, печень;
- овес, крапива, одуванчик, петрушка.
Витамин C играет ключевую роль в процессе восстановления при трещинах, действуя как связующее звено. Этот элемент можно сравнить с цементом, который используется при строительстве дома. К сожалению, не всегда продукты питания способны полностью восполнить нехватку минералов и витаминов. В таких случаях на помощь приходят мультивитаминные комплексы.
Заключение
Трещины в костях представляют собой тип травмы, при которой осложнения возникают довольно редко. Обращение за медицинской помощью на ранних стадиях, точная диагностика и адекватное лечение способствуют быстрому восстановлению.
Увеличение потребления продуктов, богатых кальцием, полезными минералами и жирами, помогает предотвратить образование трещин в костной ткани, даже при интенсивных физических нагрузках.
Вопрос-ответ
Можно ли не лечить трещину в кости?
Разновидностью закрытых переломов являются трещины костей, которые также вызывают боль и нарушение двигательных функций. Нелеченные трещины могут спровоцировать деформацию кости. Открытые переломы костей более опасны из-за высокого риска инфицирования, а закрытые легче диагностируются и поддаются лечению.
Как понять, что у меня треснула кость?
Симптомы трещины кости. Боль вызывают движения и ощупывания. Наблюдается тугоподвижность, человек старается не совершать лишних движений, принимает наиболее безболезненное положение. Над местом повреждения образуется отек, припухлость, увеличивается объем и сглаживаются контуры травмированной части тела.
Советы
СОВЕТ №1
Обратитесь к врачу для точной диагностики. При подозрении на трещину в кости важно пройти медицинское обследование, чтобы определить степень повреждения и получить соответствующее лечение.
СОВЕТ №2
Следуйте рекомендациям по immobilization (иммобилизации). Врач может рекомендовать использование гипса или шины для ограничения движения поврежденной области, что поможет ускорить процесс заживления.
СОВЕТ №3
Обеспечьте достаточное питание для восстановления. Употребление продуктов, богатых кальцием и витамином D, таких как молочные продукты, рыба и зеленые овощи, способствует укреплению костей и ускоряет заживление.
СОВЕТ №4
Не забывайте о реабилитации. После снятия гипса или шины важно выполнять специальные упражнения для восстановления подвижности и силы в поврежденной области, что поможет избежать осложнений в будущем.




