Анатомические особенности
В первые шесть месяцев жизни тазобедренные суставы новорожденных испытывают минимальную нагрузку. Для обеспечения базовой подвижности, такой как ползание или сидение, достаточно, чтобы в головке бедренной кости начали формироваться костные ядра.
В возрасте 15-17 лет хрящи в суставе полностью заменяются костной тканью. Шейка бедренного сустава продолжает расти до 20 лет, после чего хрящи заменяются на кость.
Чтобы ребенок мог стоять и ходить, необходимо своевременное формирование ядер окостенения в верхней части вертлужной впадины. Задержка в их развитии может привести к риску возникновения врожденного вывиха. Несвоевременно сформированный сустав может стать причиной деформации.
Процесс формирования тазобедренного сустава проходит несколько ключевых этапов:
- от закладки элементов сочленения у плода до первых месяцев жизни, когда суставы еще состоят из хрящевой ткани;
- с шести месяцев до полутора лет происходит активное развитие костных ядер, заменяющих хрящи;
- до начала полового созревания происходит слияние костных ядер в пластинки;
- наиболее поздно завершается окостенение центрального и нижнего отдела вертлужной впадины.
Формированию ядер после рождения способствуют следующие факторы:
- активные движения ногами стимулируют работу мышц бедра и улучшают кровообращение в глубоких отделах суставов;
- нормальная подвижность активирует спящие клетки, и на месте хрящевой ткани начинают образовываться костные балки.
Врачи отмечают, что задержка развития ядер окостенения тазобедренных суставов требует комплексного подхода к диагностике и лечению. В первую очередь, важно провести тщательное обследование, включая рентгенографию и ультразвуковое исследование, чтобы оценить состояние суставов и исключить другие патологии. В зависимости от степени задержки, специалисты могут рекомендовать консервативные методы, такие как физиотерапия и лечебная гимнастика, которые способствуют улучшению кровообращения и укреплению мышечного корсета. В некоторых случаях может потребоваться медикаментозная терапия для уменьшения воспаления и боли. Важно также следить за общим развитием ребенка и корректировать физическую активность, чтобы избежать перегрузок. Врачами подчеркивается, что ранняя диагностика и своевременное лечение играют ключевую роль в успешном восстановлении функции тазобедренных суставов.

Причины отклонений
Причины возникновения аномалий развития суставов:
- эндокринные и инфекционные заболевания, а также интоксикации во время беременности, которые могут нарушить процесс формирования клеток (например, сахарный диабет);
- нехватка витаминов D, B, E, а также минералов, таких как кальций, фосфор, йод и железо, что может привести к рахиту;
- преждевременные роды и незрелость органов и систем у недоношенных детей могут стать причиной отклонений в развитии;
- искусственное вскармливание новорожденных;
- неправильное положение плода в утробе (тазовое или поперечное предлежание);
- многоплодная беременность;
- повышенный тонус матки;
- медикаментозная коррекция беременности.
Дисплазия наблюдается у 2-3% населения. Выявлены различные особенности распространения данной аномалии:
- наибольшее количество случаев дисплазии фиксируется в странах Скандинавии (4%), в Украине (5-20%), в то время как в США она чаще встречается среди европеоидной расы по сравнению с негроидной;
- наименьшее количество случаев дисплазии наблюдается у индейцев Южной Америки, китайцев и жителей Африки;
- в России уровень патологии составляет 2-3%, в экологически неблагополучных регионах этот показатель может достигать 12%;
- установлена связь между патологиями и традицией тугого пеленания. У народов, где пеленание не практикуется, младенцы имеют больше свободы движений, что способствует естественному состоянию сгибания и отведения ног, и, как следствие, нарушения встречаются реже;
- до 80% случаев патологии фиксируется у девочек;
- в 33% случаев заболевание передается по наследству;
- врожденный вывих бедра встречается в 10 раз чаще, если у родителей были признаки дисплазии;
- левый сустав поражается чаще (60%), чем правый (20%) или оба сустава одновременно (20%).
| Стадия задержки развития ядер окостенения | Методы лечения | Ожидаемый результат |
|---|---|---|
| Легкая (задержка на 1-2 месяца) | Динамическое наблюдение, физиотерапия (УВЧ, электрофорез с кальцием), массаж, лечебная гимнастика, витамин D3 | Догоняющий рост ядер окостенения, нормализация развития сустава к 1-2 годам |
| Умеренная (задержка на 3-6 месяцев) | Динамическое наблюдение, физиотерапия (более интенсивный курс), массаж, лечебная гимнастика, витамин D3, ортопедическая обувь (при необходимости) | Догоняющий рост ядер окостенения, нормализация развития сустава к 2-3 годам, возможно, с незначительным отставанием |
| Тяжелая (задержка более 6 месяцев, выраженные изменения в структуре сустава) | Комплексное лечение: физиотерапия, массаж, лечебная гимнастика, витамин D3, ортопедическая обувь, гипсовая иммобилизация (в отдельных случаях), оперативное вмешательство (в редких случаях) | Улучшение состояния сустава, снижение риска развития дисплазии, но возможно сохранение остаточных явлений |
Патологические варианты
Аномалии развития тазобедренных суставов можно классифицировать на три типа:
- дисплазия вертлужной впадины (ацетабулярная);
- дисплазия проксимальной части бедренной кости;
- ротационная дисплазия.
Задержка оссификации тазобедренных суставов диагностируется в случаях, когда развитие происходит медленно или вовсе отсутствует. В случае отсутствия окостенения ставится диагноз аплазии ядер окостенения.
При дисплазии суставная капсула не может удерживать головку бедренной кости на своем месте, что приводит к ее смещению вверх и наружу. В некоторых случаях головка бедра может выходить из вертлужной впадины, что вызывает подвывих, а при более тяжелых формах заболевания — вывих.
Если головка бедра поднимается выше уровня суставной впадины, она может быть заполнена жировой и соединительной тканью, что затрудняет процесс вправления вывиха.
Люди, сталкивающиеся с задержкой развития ядер окостенения тазобедренных суставов, часто делятся своими переживаниями и рекомендациями. Многие родители отмечают, что ранняя диагностика и регулярные обследования у ортопеда играют ключевую роль в лечении. Некоторые специалисты советуют использовать физиотерапию и специальные упражнения для улучшения подвижности суставов. Также распространены мнения о важности сбалансированного питания, богатого витаминами и минералами, которые способствуют укреплению костной ткани. В социальных сетях можно встретить истории успеха, когда благодаря комплексному подходу удавалось добиться значительных улучшений. Однако, несмотря на положительные отзывы, важно помнить, что каждый случай индивидуален, и лечение должно подбираться с учетом особенностей пациента.

Замедление
Признаки замедленного развития ядер тазобедренных суставов у детей и младенцев:
- легкое ограничение отведения бедра;
- уменьшенные размеры костных ядер в возрасте полугода;
- несоответствие темпов формирования суставов установленным нормам;
- отсутствие сформированных ядер к моменту начала ходьбы у ребенка.
Отсутствие
Аплазия характеризуется следующими признаками:
- асимметрия конечностей — движения затруднены или полностью отсутствуют;
- отсутствие первых ядер — суставная впадина и головка бедра состоят исключительно из хрящевой ткани;
- отсутствие признаков окостенения на различных этапах;
- деформация сустава под воздействием мышечной и связочной нагрузки;
- уплощение вертлужной впадины, вызванное ее мягкостью и неспособностью выдерживать давление;
- смещение головки бедра вверх и утрата округлой формы.

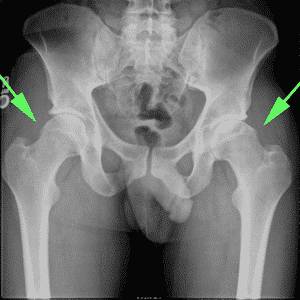
Диагностические исследования
Ультразвуковое исследование на этапе внутриутробного развития не предоставляет диагностически значимой информации. В этот период можно выявить лишь серьезные аномалии, такие как значительные деформации или отсутствие суставного соединения.
Для оценки правильности развития суставов у новорожденного можно обратить внимание на несколько признаков:
- анализируется симметрия кожных складок на бедрах и под ягодицами; различия в уровнях складок могут указывать на задержку в развитии сустава;
- проверяется амплитуда отведения бедра. Для этого ноги сгибают и прижимают к животу, а затем аккуратно разводят в стороны. Нормой считается легкость движений, в то время как при наличии патологии движения будут ограничены;
- обращается внимание на наличие щелчка при движении. Если щелчок присутствует, это может свидетельствовать о том, что головка бедра недостаточно зафиксирована в еще не полностью сформированной впадине.
При выявлении хотя бы одного из этих признаков рекомендуется провести ультразвуковое исследование и сонографию.
Норма
До начала XX века внимание уделялось исключительно тяжелым формам дисплазии. Легкие варианты этого состояния не диагностировались и не подлежали лечению. В 70-90-х годах под термином дисплазия стали понимать не только вывих, но и предвывих и подвывих тазобедренного сустава.
Когда же формируются ядра окостенения? Тазобедренные суставы начинают развиваться на восьмом месяце беременности. Нормальные размеры ядер окостенения тазобедренных суставов у новорожденных составляют от 3 до 6 мм.
Структура сустава отличается от взрослого:
- суставная впадина имеет уплощенную форму и располагается вертикально;
- связки сустава обладают высокой эластичностью;
- головка бедренной кости удерживается в суставной впадине благодаря натяжению суставной капсулы с помощью круглой тазобедренной связки;
- хрящевая пластинка вертлужной впадины предотвращает смещение бедренной кости вверх.
Лечебные мероприятия
Наиболее результативное лечение вывиха бедра наблюдается у детей до двух лет. В возрасте от двух до шести лет используется метод закрытого вправления вывиха. После шести лет прибегают к хирургическим вмешательствам.
В младенческом возрасте применяются функциональные методы вправления, такие как шины и стремена Павлика, а также ношение гипсовой повязки на протяжении около шести месяцев.
В процессе лечения назначаются:
- использование специальной шины для фиксации ног в правильном положении;
- физиотерапевтические процедуры, аппликации с парафином и ванночки с морской солью;
- лечебный массаж;
- активные движения в суставах в пределах допустимого;
- профилактика рахита.
Во время лечения не рекомендуется ставить ребенка на ноги или сажать его, а также использовать жесткие шины, которые ограничивают движения малыша. В возрасте 2-3 месяцев, при подозрении на патологию, применяются стандартные лечебно-профилактические меры:
- разведение ног с помощью мягких прокладок;
- широкое пеленание;
- гимнастические упражнения (отводящие и круговые движения в суставах);
- массаж ягодичной области.
При тяжелых формах вывиха требуется вправление. Если консервативные методы не приносят ожидаемого результата, проводят коррекционные операции.
Детям с дисплазией необходимо проходить ежегодную диспансеризацию, которая включает осмотр у ортопеда и рентгенологическое обследование.
Профилактика патологии
Профилактика во время беременности и в период младенчества:
- сбалансированное питание в процессе вынашивания и грудного вскармливания;
- начало введения прикорма с 7 месяцев;
- регулярные прогулки на свежем воздухе;
- массаж и физические упражнения для малыша;
- широкое пеленание (две пеленки располагаются между ногами, находящимися в согнутом и отведенном положении, третья фиксирует ножки);
- выполнение упражнений для развития суставов, рекомендованных врачом;
- применение витаминов, особенно витамина D в осенне-зимний период;
- избегать тугого пеленания. Известный педиатр Комаровский советует свободное пеленание, чтобы ребенок мог свободно двигать ногами.
Дисплазия тазобедренного сустава может привести к инвалидности уже в раннем возрасте или вызвать проблемы в зрелом возрасте. У женщин с данной патологией существует повышенный риск рождения ребенка с аналогичными нарушениями. Если биомеханические отклонения не достигают критического уровня, они могут не проявляться.
В возрасте от 25 до 55 лет дисплазия может способствовать развитию коксартроза.
Врожденная гиперподвижность суставов и эластичность связок при дисплазии позволяют некоторым людям добиваться успехов в спорте или танцах.
Заключение
Интерес к изучению ядер тазобедренного сустава обусловлен их важной ролью в развитии врожденного вывиха бедра. Анализ структуры сустава у детей осуществляется с помощью ультразвукового исследования.
Наиболее успешное лечение отсутствия ядер окостенения тазобедренных суставов наблюдается в младенческом возрасте и может быть проведено как консервативными, так и хирургическими методами. Даже при наличии незначительных симптомов поражения тазобедренных суставов возможно начать терапию на ранних этапах, что помогает предотвратить возникновение необратимых изменений.
Вопрос-ответ
В каком возрасте в норме появляется ядро окостенения головки бедренной кости?
В 3-6 месяцев появляется ядро окостенения в центре головки бедренной кости, которое к 1 году достигает 5-6 мм в диаметре.
Можно ли сидеть, если нет ядер окостенения?
При отсутствии ядра окостенения любая осевая нагрузка на бедро приводит к его деформации, вследствие чего может развиться подвывих и далее — вывих бедра. Соответственно, если ядро окостенения не развивается или развивается с задержкой, строго запрещены любые осевые нагрузки: стоять, а тем более – ходить нельзя.
Что означает отсутствие ядер окостенения тазобедренных суставов?
Отсутствие ядра оссификации (окостенения) головки бедра у детей до года — не патология. Чаще ядро оссификации в головке бедра появляется со 2-го до 8-го месяца жизни. Ядро оссификации при УЗИ видно раньше на 4-8 недель, чем на рентгенограмме.
Что такое ядро в тазобедренном суставе?
Ядра окостенения тазобедренного сустава находятся в области головки бедренной кости, в вертлужной впадине таза, там, где происходит формирование костной ткани. Сначала они должны появиться именно в верхней ее части уже к моменту рождения ребенка. Эта часть называется крышей.
Советы
СОВЕТ №1
Обратитесь к врачу-ортопеду для точной диагностики. Задержка развития ядер окостенения может быть связана с различными факторами, и только специалист сможет определить причину и назначить соответствующее лечение.
СОВЕТ №2
Регулярно проводите контрольные обследования. Важно следить за развитием тазобедренных суставов, чтобы вовремя заметить изменения и корректировать лечение при необходимости.
СОВЕТ №3
Обратите внимание на физическую активность. Умеренные физические нагрузки, такие как плавание или специальные упражнения, могут способствовать улучшению кровообращения и развитию суставов, но обязательно проконсультируйтесь с врачом перед началом любых тренировок.
СОВЕТ №4
Следите за питанием. Обеспечьте организм необходимыми витаминами и минералами, особенно кальцием и витамином D, которые играют важную роль в развитии костной ткани. Рассмотрите возможность консультации с диетологом для составления сбалансированного рациона.



