Симптомы перелома стопы и запястья
Признаки перелома ладьевидной кости запястья и стопы могут быть не слишком очевидными, поэтому только оперативное выполнение всестороннего обследования способно избежать возникновения возможных осложнений.
Врачи отмечают, что лечение переломов кубовидной и ладьевидной костей требует индивидуального подхода, учитывающего степень повреждения и общее состояние пациента. В большинстве случаев консервативные методы, такие как иммобилизация с помощью гипса, оказываются эффективными. Однако при сложных переломах или смещениях может потребоваться хирургическое вмешательство. Специалисты подчеркивают важность ранней диагностики и адекватного лечения, чтобы избежать осложнений, таких как хондромаляция или хроническая боль. Реабилитация играет ключевую роль в восстановлении функции кисти, и врачи рекомендуют комплексный подход, включающий физиотерапию и лечебную физкультуру. Таким образом, грамотное лечение и последующая реабилитация способствуют успешному восстановлению пациентов.

Признаки перелома кости запястья
Для данного типа травмы характерны следующие признаки:
- отечность в области повреждения, которая может распространяться на соседние участки;
- болезненные ощущения на тыльной стороне запястья;
- усиление боли при движении лучезапястного сустава или при прикосновении к травмированной области;
- снижение функциональности руки;
- появление синяка в месте травмы;
- интенсивная боль при нажатии на точку, расположенную чуть ниже шиловидного отростка лучевой кости;
- возникновение болевых ощущений при надавливании вдоль оси первого и второго пальцев;
- ощущение хруста во время движения;
- невозможность сжать пальцы в кулак из-за болей в области анатомической табакерки (зона между отведенным большим и указательным пальцем);
- ограничение движений при активном или пассивном отведении кисти в сторону большого пальца.
Как осуществляется лечение перелома таранной кости
Так выглядит данное повреждение:
| Стадия лечения | Кубовидная кость | Ладьевидная кость |
|---|---|---|
| Первичная обработка (немедленная помощь) | Иммобилизация стопы и голеностопного сустава, обезболивание, контроль кровообращения | Иммобилизация стопы и голеностопного сустава, обезболивание, контроль кровообращения |
| Диагностика | Рентгенография в двух проекциях, возможно КТ или МРТ для уточнения характера перелома и смещения | Рентгенография в двух проекциях, возможно КТ или МРТ для уточнения характера перелома и смещения |
| Лечение (консервативное) | Гипсовая повязка на срок от 6 до 12 недель, регулярный контроль рентгеном | Гипсовая повязка на срок от 6 до 12 недель, регулярный контроль рентгеном, возможно использование ортезов после снятия гипса |
| Лечение (оперативное) | Остеосинтез (в случае значительного смещения фрагментов) | Остеосинтез (в случае значительного смещения фрагментов, несращения или псевдоартроза) |
| Реабилитация | ЛФК, физиотерапия, массаж, ортезирование после снятия гипса | ЛФК, физиотерапия, массаж, ортезирование после снятия гипса, возможно длительная реабилитация из-за сложности анатомии |
| Возможные осложнения | Псевдоартроз, артроз, ограничение подвижности в голеностопном суставе | Псевдоартроз, артроз, длительное нарушение функции стопы, повреждение окружающих связок |
| Продолжительность реабилитации | 3-6 месяцев | 4-12 месяцев и более |
Признаки перелома стопы
При переломе ладьевидной кости стопы можно наблюдать следующие признаки:
- резкая боль, которая возникает сразу после травмы и мешает опираться на поврежденную ногу;
- невозможность поворота ступни наружу;
- отек и синяк в области травмы;
- при ощупывании ступни может быть слышен хруст (крепитация), если произошло смещение костных фрагментов;
- изменение обычной формы ступни (при наличии смещения).
Так выглядит данный перелом:
Лечение переломов кубовидной и ладьевидной костей вызывает много обсуждений среди пациентов и врачей. Многие отмечают, что своевременная диагностика и правильный подход к лечению играют ключевую роль в восстановлении. Врачи подчеркивают важность рентгенографии для точного определения характера перелома. Некоторые пациенты делятся опытом, что консервативное лечение, включая иммобилизацию и физиотерапию, помогло им избежать хирургического вмешательства. Однако другие отмечают, что в сложных случаях операция становится необходимой для восстановления функции. В целом, люди советуют не игнорировать симптомы и обращаться к специалистам, чтобы избежать осложнений и ускорить процесс реабилитации.

Лечение перелома ладьевидной кости
В процессе лечения ставятся следующие цели:
- устранение болевых симптомов и отечности;
- корректное сопоставление костных фрагментов;
- применение медикаментов и проведение процедур для оптимального срастания поврежденной конечности;
- полное восстановление функциональности стопы.
Метод лечения перелома ладьевидной кости стопы и запястья определяется врачом. Выбор подхода зависит от характера и степени тяжести травмы, а также от общего состояния здоровья пациента.
Лечение травмы стопы
Метод лечения зависит от типа травмы. Вот наиболее распространенные подходы к лечению:
- перелом без смещения костных фрагментов лечится с помощью наложения фиксирующей повязки на поврежденную ногу (от ступни до колена) с использованием металлического супинатора;
- перелом с незначительным смещением требует ручного сопоставления костных частей (под общей или внутрикостной анестезией), после чего проводится рентген для проверки правильности выполненных действий и накладывается гипсовая повязка;
- переломовывих с выраженным смещением костных отломков лечится с помощью вправления костей при помощи аппарата Черкес-Заде. Для сопоставления и фиксации смещенных отломков в правильном положении через головки плюсневых костей и пяточную кость вводятся две спицы, после чего накладывается гипс;
- острое травматическое повреждение или повреждение костного бугорка с сильным смещением фрагментов требует проведения операции открытой репозиции. В этом случае поврежденная кость открывается, обломки укладываются в правильное положение и фиксируются специальными штифтами. Как и в предыдущих случаях, операция завершается наложением гипса.
Медикаментозное лечение включает использование анальгезирующих, противовоспалительных и бактерицидных средств (при открытых повреждениях), а также препаратов, содержащих железо, кальций и магний. Кроме того, полезно применение иммуномодулирующих лекарств, биологически активных добавок и витаминных комплексов.
После снятия фиксирующей повязки для уменьшения боли и отечности активно применяются гели, кремы и мази местного действия.

Лечение травмы запястья
Лечение травмы ладьевидной кости запястья может осуществляться как консервативными методами, так и с помощью хирургического вмешательства.
Интересный факт: Как правильно лечить перелом ладьевидной кости запястья
При неосложненном переломе от середины предплечья до пальцев руки накладывают гипсовую повязку. Кисть фиксируют в слегка разгибенном положении, а пальцы оставляют немного согнутыми. В дополнение к этому назначаются противовоспалительные и обезболивающие препараты.
При осложненном переломе: открытых травмах, смещениях и других подобных случаях, требуется операция, в ходе которой фрагменты кости соединяются с использованием специальных устройств. После этого также накладывается гипсовая повязка. Если во время травмы были повреждены сухожилия или сосуды, их необходимо сшить.
Реабилитация при переломе ладьевидной кости
Важно! Во время ношения гипса при переломе ладьевидной кости нельзя допускать даже незначительных нагрузок на травмированную конечность.
Восстановление кисти после травмы включает в себя следующие мероприятия:**
- массаж;
- электрофорез;
- лечебная физкультура;
- УВЧ-терапия (воздействие ультравысокими частотами на пораженную область);
- ванночки с морской солью.
Реабилитационные процедуры способствуют сокращению времени восстановления после травмы, ускоряя обмен веществ и уменьшая отечность и воспаление тканей.
Восстановление стопы после травмы, как правило, занимает значительное время. Это обусловлено недостаточным кровоснабжением этой части ступни.
В период реабилитации применяются такие процедуры:
- УВЧ-терапия, магнитотерапия;
- ультрафиолетовое облучение поврежденной области;
- электрофорез с использованием препаратов кальция;
- специальный комплекс физических упражнений.
Сроки лечения
Срок восстановления после перелома ладьевидной кости стопы и запястья зависит от ряда факторов. Обычно процесс заживления занимает от двух с половиной до четырех месяцев.
В среднем, фиксирующая повязка остается на руке или ноге в течение двух-трех месяцев. Иногда продолжительность иммобилизации при переломе ладьевидной кости может составлять:
- один месяц (в случае повреждения костного бугорка);
- четыре-шесть месяцев (при травмах с смещением обломков или у пожилых пациентов).
После завершения периода иммобилизации, когда фиксирующая повязка будет снята, выполняется повторное рентгенографическое исследование. Затем назначаются различные процедуры для восстановления, которые проводятся в течение одного-трех месяцев.
Последствия перелома ладьевидной кости стопы
Отсутствие своевременной медицинской помощи и необоснованное прекращение лечения могут привести к негативным последствиям. В таких ситуациях могут возникнуть следующие проблемы:
- неправильное сращение (под углом) или полное отсутствие сращения;
- ограничение подвижности в суставе (контрактура);
- дистрофические изменения в суставе (остеоартроз);
- отмирание тканей из-за недостаточного кровоснабжения (некроз);
- полная неподвижность сустава (анкилоз).
Симптомы перелома кубовидной кости ступни
Кубовидная кость обладает высокой устойчивостью к травмам. Обычно ее повреждения происходят одновременно с травмами других частей стопы. При этом могут проявляться следующие признаки:
- усиление болевых ощущений при движении стопой;
- отек на тыльно-внутренней части стопы;
- затруднение при попытке полностью опереться на ступню;
- при пальпации можно заметить небольшую деформацию (в случае смещения костных фрагментов).
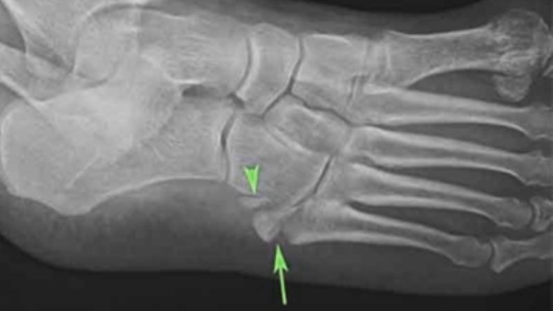
Ниже представлено изображение перелома кубовидной кости стопы:
Лечение перелома кубовидной кости стопы
Если травма незначительная и без смещения, поврежденную конечность фиксируют с помощью гипсовой повязки на срок от одного до полутора месяцев. В случае смещения, наличия костных обломков или открытого повреждения, перед наложением гипса костные фрагменты фиксируются специальными спицами.
Как лечить перелом шиловидного отростка подробно описано здесь.
Чтобы избежать нагрузки на травмированную ногу, рекомендуется использовать костыли.
Для облегчения боли и уменьшения воспаления в поврежденной области назначаются анальгезирующие и противовоспалительные препараты. Для устранения отека и синяков применяются различные гели. Также полезно принимать витаминные комплексы, мумие и кальций.
По завершении периода иммобилизации конечности рекомендуется проводить следующие восстановительные процедуры:
- лечебный массаж;
- лечебная физкультура (ЛФК);
- физиотерапевтические процедуры.
Кроме того, в этот период важно носить специально подобранную обувь с ортопедической подошвой.
Сколько заживает перелом кубовидной кости стопы
Срок восстановления после перелома кубовидной кости стопы зависит от множества факторов, поэтому время лечения может значительно различаться. Обычно процесс заживления занимает от двух до трех месяцев.
Массаж при переломе кубовидной кости
Массаж стопы помогает развить мышцы и сухожилия, улучшить кровообращение, уменьшить отеки и облегчить болевые ощущения.
Методика массажа при переломе кубовидной кости включает следующие этапы:
- активные поглаживания и растирания, которые способствуют разогреву тканей и их подготовке к последующим действиям; движения выполняются ладонью;
- выжимания (глубокие поглаживания); для этих движений используется основание ладони;
- чередование различных техник растирания: продольного, кругового, зигзагообразного и спиралевидного;
- легкое потряхивание поврежденной стопы.
Во время массажа не должно возникать значительного дискомфорта или болевых ощущений. Также стоит избегать массажа при нарушениях кровообращения, кожных заболеваниях и сердечно-сосудистых проблемах.
Заключение
Для эффективного восстановления после переломов ладьевидной и кубовидной костей крайне важно оперативно и точно установить диагноз. Также значительное значение имеет строгое соблюдение всех рекомендаций врача как в период иммобилизации конечности, так и после её завершения.
Вопрос-ответ
Как долго заживает перелом кубовидной кости
Поначалу пациенту может быть выполнена иммобилизация на срок 4-6 недель. При отсутствии нагрузки этого периода бывает достаточно для заживления перелома. По завершении иммобилизации степень нагрузки на ногу и уровень физической активности будут определяться имеющейся у пациента симптоматикой.
Сколько времени требуется для заживления кубовидной кости
Заживление полученной травмы занимает шесть недель, но нередко боль и/или отёк сохраняются в течение трёх месяцев после травмы. Продолжайте использовать обезболивающие средства по мере необходимости. Если вы довольны своим восстановлением и результатом, можете прекратить тренировки.
Как долго срастается перелом ладьевидной кости стопы
Условные сроки срастания костей: большеберцовая кость, ладьевидная, таранная, пяточная – 3-4 месяца. Бедренная – 4-6 месяцев.
Советы
СОВЕТ №1
Обратитесь к врачу сразу после травмы. Правильная диагностика и своевременное лечение переломов кубовидной и ладьевидной костей критически важны для восстановления функции руки и предотвращения осложнений.
СОВЕТ №2
Следуйте рекомендациям по реабилитации. После снятия гипса или шины важно выполнять специальные упражнения для восстановления подвижности и силы в кисти, чтобы избежать долгосрочных последствий.
СОВЕТ №3
Используйте противовоспалительные препараты по назначению врача. Это поможет уменьшить боль и отек в области травмы, что способствует более комфортному процессу восстановления.
СОВЕТ №4
Обратите внимание на питание. Убедитесь, что ваш рацион богат кальцием и витамином D, которые способствуют заживлению костей. Рассмотрите возможность добавления в меню молочных продуктов, зелени и рыбы.






