Переломы плечевой кости
Все переломы плечевой кости можно классифицировать на три категории: переломы верхней трети, тела и нижней трети плечевой кости (см. рис. 1). В свою очередь, последние подразделяются на надмыщелковые и внутрисуставные повреждения.
Переломы надмыщелков представляют собой травмы в области формирования локтевого сустава.
Согласно анатомическим особенностям, в дистальном сегменте плечевой кости выделяют один мыщелок и два надмыщелка (см. рис. 2).
Структура, находящаяся ближе к центру тела, называется медиальной, в то время как латеральной считается та, которая расположена дальше от центра (см. рис. 3).
Согласно Международной классификации болезней (МКБ-10), переломы надмыщелков обозначаются как переломы дистального отдела плечевой кости, их код — S42.4.
Важно различать дистальный и проксимальный отделы плечевой кости.
Дистальный отдел — это тот, который находится дальше от головы человека. В контексте плечевой кости это область формирования локтевого сустава.
Проксимальный отдел, наоборот, ближе к голове, и в случае плечевой кости это зона формирования плечевого сустава.
Врачи отмечают, что перелом надмыщелка плечевой кости является распространенной травмой, особенно среди спортсменов и людей, занимающихся активными видами спорта. Основными причинами таких переломов становятся падения, удары или чрезмерные нагрузки на плечевой сустав. Специалисты подчеркивают важность своевременной диагностики, так как неправильное лечение может привести к серьезным осложнениям, включая ограничение подвижности и хроническую боль.
Врачи рекомендуют проводить комплексное обследование, включая рентгенографию и, при необходимости, МРТ, чтобы точно оценить степень повреждения. Консервативное лечение, как правило, включает иммобилизацию и физиотерапию, однако в некоторых случаях может потребоваться хирургическое вмешательство. Важно, чтобы пациенты следовали рекомендациям врачей и не игнорировали реабилитацию, что поможет восстановить функцию плеча и избежать повторных травм в будущем.

Перелом медиального надмыщелка плечевой кости
Переломы медиального надмыщелка плечевой кости составляют около 12-20% от общего числа внутрисуставных переломов в области локтя и чаще всего встречаются у детей в возрасте от 9 до 14 лет. Эти травмы в четыре раза чаще наблюдаются у мальчиков по сравнению с девочками.
У 50% детей фиксируется смещение костных отломков, а отрыв фрагмента в области локтевого сустава происходит у 15-18% случаев.
Такое распространение связано не только с повышенной физической активностью детей этой возрастной группы, но и с определенными особенностями их развития. В процессе внутриутробного формирования в костях закладываются так называемые точки окостенения.
Из этих точек происходит замена мягкой соединительной ткани на плотную, костную. На момент рождения дистальный отдел плечевой кости не успевает полностью окостенеть, так как центр оссификации формируется лишь в 5-7 лет.
Процесс окостенения завершается в возрасте 15-20 лет. Из-за этого при чрезмерных нагрузках могут возникать микротрещины и разрывы костной ткани в местах с наименьшей плотностью.
На концах трубчатых костей в период роста формируются зоны активного роста, отвечающие за удлинение кости. Эти участки содержат много органических волокон и клеточных элементов, но относительно бедны минеральными веществами. Эта особенность также способствует возникновению подобных повреждений у детей.
Перелом медиального надмыщелка чаще всего происходит в результате прямого воздействия травмирующего фактора (например, удара или падения на отведенную руку).
Также возможен отрывной перелом, который возникает из-за сильного перенапряжения мышц, прикрепляющихся к медиальному надмыщелку.
Справка. К внутреннему надмыщелку прикрепляются сухожилия поверхностных мышц — сгибателей предплечья, кисти и пальцев.
При избыточной тяге происходит надрыв тканей надмыщелка. Обычно такой перелом возникает внутри капсулы локтевого сустава, что определяет клиническую картину. Однако у более старших пациентов (18-20 лет), когда процесс окостенения плечевой кости почти завершен, отрыв может происходить по краю надмыщелка. В этом случае повреждение не затрагивает локтевой сустав, что усложняет диагностику.
| Симптом | Возможная причина | Лечение |
|---|---|---|
| Боль в локтевом суставе | Прямая травма (падение на согнутый локоть) | Иммобилизация гипсовой повязкой |
| Отек и припухлость локтя | Непрямая травма (резкое сокращение мышц) | Физиотерапия |
| Деформация локтя | Перелом со смещением | Оперативное вмешательство (остеосинтез) |
| Ограничение подвижности локтя | Нарушение целостности кости | Иммобилизация, затем реабилитация |
| Синяки вокруг локтя | Кровоизлияние в мягкие ткани | Холодные компрессы |
| Потеря чувствительности в кисти | Повреждение нервов | Хирургическое вмешательство (в случае необходимости) |
| Крепитация (хруст) при пальпации | Костные отломки | Рентгенологическое исследование |
Перелом латерального надмыщелка
Данный тип травмы встречается реже, чем предыдущий, что связано с особенностями его возникновения.
Как и в случае с переломом медиального надмыщелка, перелом латерального надмыщелка может произойти из-за прямого удара, падения на локоть или на руку, прижатую к телу.
Возможен отрывной перелом. Он возникает в результате чрезмерного напряжения мышц, сухожилия которых прикрепляются к этому костному образованию.
Перелом латерального надмыщелка часто происходит в результате дорожно-транспортных происшествий, падений на руку, прижатую к телу, а также во время выполнения спортивных упражнений с тяжелыми весами. Поэтому ограничения на физические нагрузки в спортзалах и при занятиях профессиональным спортом у детей и подростков имеют свое обоснование.
Молодая костная ткань отличается пониженной плотностью и высокой пластичностью. Это приводит не только к переломам, но и к образованию микротрещин и микроповреждений в костной ткани, которые сложно диагностировать.
Справка. К латеральному надмыщелку прикрепляются мышцы, отвечающие за разгибание предплечья, кисти и пальцев.
Перелом надмыщелка плечевой кости — это травма, о которой часто говорят как о довольно распространенной среди спортсменов и людей, ведущих активный образ жизни. Многие отмечают, что такая травма может возникнуть в результате падения или удара, и сопровождается сильной болью и ограничением движений в руке. Важно, что пациенты подчеркивают необходимость своевременной диагностики и лечения, так как неправильное обращение с травмой может привести к долгосрочным последствиям, включая хроническую боль и ограничение функции сустава.
Люди делятся опытом реабилитации, отмечая, что восстановление требует терпения и соблюдения рекомендаций врача. Физиотерапия и специальные упражнения играют ключевую роль в восстановлении подвижности и силы. Некоторые пациенты говорят о важности поддержки со стороны близких, что помогает справиться с психологическими аспектами травмы. В целом, мнения о переломе надмыщелка разнообразны, но все согласны в одном: правильный подход к лечению и реабилитации может значительно улучшить качество жизни после травмы.

Симптомы
При переломах надмыщелков основным симптомом является боль в области травмы. Также могут возникать отек и синяк. При нажатии на поврежденное место ощущается болезненность, повышенная подвижность, а также хруст костных отломков.
Этот тип переломов классифицируется как внутрисуставной и происходит внутри капсулы локтевого сустава. Поэтому помимо вышеуказанных симптомов, пострадавший испытывает дискомфорт при попытках согнуть или разогнуть поврежденную руку в локтевом суставе.
Важно учитывать, что если травма затрагивает лишь самый край надмыщелка, то зона перелома может не повредить капсулу локтевого сустава. В таком случае болезненности при движениях в суставе не будет. Тем не менее, боль может проявляться при движениях в лучезапястном суставе, а также при сгибании и разгибании пальцев.
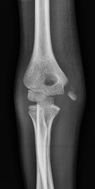
Для точного диагноза необходимо провести рентгенографию соединения плечевой, локтевой и лучевой костей в прямой и боковой проекциях.
Лечение
Лечение переломов латерального и медиального надмыщелков может быть как хирургическим, так и консервативным.
Консервативный подход применяется в тех случаях, когда перелом произошел без смещения костного отломка или если смещение незначительное и возможно его восстановление (репозиция).
Важно! Диагностику и лечение пациентов с переломами должны проводить только квалифицированные специалисты. Не занимайтесь самолечением и своевременно обращайтесь за медицинской помощью.
В травматологическом отделении после рентгенографического исследования врач установит диагноз и определит необходимый объем лечения.
Консервативное лечение перелома без смещения включает фиксацию конечности с помощью гипсовой лангеты, которая охватывает руку от верхней трети плеча до пальцев. Лангета отличается от обычного гипса тем, что она покрывает конечность гипсовым составом с трех сторон, а с одной стороны защищена только мягким бинтом. В отличие от этого, гипс оборачивает конечность полностью по кругу.
При переломах надмыщелков рука фиксируется в строго определенном положении (рис. 5). Это помогает избежать ряда осложнений, которые могут возникнуть при длительной фиксации. Повязка снимается через три недели после повторной рентгенографии и оценки степени сращения костных отломков.
Справка. Неправильное наложение гипса может привести к фиксации конечности в неправильном положении. Это не только затрудняет правильное сращение перелома, но и может вызвать осложнения, такие как нарушение кровообращения, отеки, образование пролежней и гангрену.
Если перелом сопровождается смещением костных отломков, врач после местного обезболивания выполняет закрытую репозицию.
После восстановления нормального положения костных фрагментов накладывается гипсовая повязка на том же уровне, что и лангета. Через три недели повязка снимается, и на одну-две недели устанавливается съемная повязка.
Хирургическое вмешательство при переломе надмыщелка необходимо только в тех случаях, когда вместе с переломом произошел вывих локтевого сустава, и костный отломок застрял в поврежденном суставе. В таких ситуациях под общим обезболиванием выполняется вскрытие капсулы сустава, и аккуратно извлекается оторванный надмыщелок с прикрепленными сухожилиями. Затем оторванный участок кости фиксируется на месте с помощью металлической спицы или шурупа.
Если такая ситуация произошла в раннем возрасте (до 7-10 лет), когда костная ткань более мягкая и эластичная, оторванный отломок фиксируется с помощью капроновых узловых швов, накладываемых непосредственно на костную ткань (рис. 6).

Отзывы
Отзывы о лечении перелома надмыщелка плечевой кости у детей, как правило, имеют положительный характер. Процесс сращивания костных фрагментов проходит быстро и без серьезных осложнений.
“Я мама четырехлетнего мальчика. Во время прогулки в детском саду мой сын упал с горки и сильно ударился локтем. В травмпункте нам поставили диагноз “перелом медиального надмыщелка плечевой кости без смещения”. Три недели в гипсе были настоящим испытанием для моего ребенка. Он постоянно пытался снять повязку, так как кожа под ней чесалась. Двигаться с гипсом было неудобно, плавать нельзя. После снятия повязки рука плохо двигалась, ему было сложно ею управлять, он постоянно обо что-то задевал. Я переживала, что он снова ее сломает. Полное восстановление подвижности произошло только через две недели. Сейчас моего сына ничего не беспокоит”.
“Моему сыну 16 лет. Этой зимой на катке он поскользнулся и сильно упал, ударившись локтем. У него образовался большой синяк, локоть болел, но в движениях не было скованности. Сын жаловался на боль, но в течение недели продолжал ходить в школу. Когда боль не проходила, мы решили обратиться в травмпункт. На рентгене обнаружили перелом латерального надмыщелка. Если бы не рентген, я бы никогда не подумала, что у моего сына перелом. В молодости мы часто падали и приходили с синяками, но никогда ничего не ломали. Гипс он снял сам через две недели. Сейчас его ничего не беспокоит, рука функционирует нормально”.
Основная трудность в лечении детей с таким диагнозом заключается в обеспечении надежной фиксации костных фрагментов. Ребенку очень сложно оставаться неподвижным в течение длительного времени, поэтому от родителей требуется повышенное внимание и бдительность.
Следите за тем, чтобы ребенок не снимал повязку и не разматывал бинты. Каждый вечер проверяйте состояние бинтов и при необходимости заменяйте их на новые. Обратите внимание, не болтается ли поврежденная конечность в гипсе. При необходимости обратитесь за повторным наложением гипса.
Важно помнить, что подвижность в области перелома может не только увеличить сроки иммобилизации конечности, но и привести к образованию так называемого ложного сустава. Это пространство в кости на месте перелома, где концы обломков обрастают хрящевой тканью. Такое осложнение опасно тем, что в месте образования хрящевой ткани костная ткань уже не восстановится, и перелом не срастется.
Заключение
Переломы надмыщелков являются распространенной травмой среди детей и подростков. Их диагностика может быть затруднена из-за разнообразия клинических симптомов. Неправильная или запоздалая диагностика таких травм может привести к серьезным последствиям и длительной утрате нормальной функции конечности.
Однако при своевременном обращении к врачу и правильной иммобилизации такие переломы заживают быстро и не создают ограничений в повседневной жизни.
Вопрос-ответ
Как долго срастается перелом мыщелка плечевой кости?
Перелом мыщелка плечевой кости или чрезмыщелковый перелом плечевой кости (в основном у детей, подростков и молодых людей). В зависимости от тяжести перелома заживление может затянуться на несколько месяцев.
Что делать при переломе мыщелка?
Перелом мыщелков лечат в стационаре. При наличии смещения проводят пункцию, чтобы из сустава удалить скопившуюся кровь. На следующем этапе сустав фиксируют гипсовой повязкой – от ягодиц и до пальцев ног. Состояние покоя – необходимое условие для эффективного лечения.
Советы
СОВЕТ №1
Обратитесь к врачу при первых признаках травмы. Если вы подозреваете перелом надмыщелка плечевой кости, важно как можно скорее получить медицинскую помощь для правильной диагностики и лечения.
СОВЕТ №2
Следуйте рекомендациям врача по реабилитации. После лечения перелома важно выполнять назначенные упражнения и процедуры для восстановления подвижности и силы плеча.
СОВЕТ №3
Используйте поддерживающие устройства. В зависимости от тяжести перелома, может потребоваться ношение шины или повязки для ограничения движений и обеспечения правильного заживления.
СОВЕТ №4
Обратите внимание на питание. Убедитесь, что ваш рацион богат кальцием и витамином D, чтобы поддерживать здоровье костей и ускорить процесс восстановления после травмы.




