Почему болеют суставы
Характер и причины заболеваний коленных суставов
- Воспалительные процессы. Воспаление может быть вызвано травмами, инфекциями, которые попадают в организм через кровоток, переохлаждением, чрезмерной физической активностью или стрессовыми ситуациями.
- Травматические повреждения. К этой категории относятся повреждения мягких тканей, ушибы, вывихи, растяжения и переломы.
- Дегенеративные изменения. К факторам, способствующим дегенерации, можно отнести процессы старения и износа организма, преждевременное разрушение суставов, которые подвергаются значительным нагрузкам, а также нарушения обмена веществ в тканях, вызванные гормональными или витаминно-минеральными дисбалансами.
- Наследственная предрасположенность.
Врачи отмечают, что заболевания коленных суставов представляют собой разнообразную группу патологий, каждая из которых требует индивидуального подхода к диагностике и лечению. Наиболее распространенными являются остеоартрит, который характеризуется дегенерацией хрящевой ткани, и ревматоидный артрит, являющийся аутоиммунным заболеванием. Врачи также выделяют травматические повреждения, такие как разрывы связок и менисков, которые часто возникают у спортсменов. Важно отметить, что своевременная диагностика и лечение могут значительно улучшить качество жизни пациентов. Специалисты рекомендуют регулярные профилактические осмотры, особенно для людей с предрасположенностью к заболеваниям суставов, чтобы избежать серьезных осложнений и сохранить подвижность на долгие годы.

Общие симптомы заболеваний колена
При любых заболеваниях коленных суставов наблюдаются схожие симптомы. К ним относятся болевые ощущения в области колена, щелчки, ограничение подвижности, усиление дискомфорта при ходьбе и сгибании, отечность, припухлость тканей, а в некоторых случаях — деформация сустава и покраснение кожи.
Важно различать различные виды заболеваний коленного сустава и их проявления, а также проводить детальную диагностику.
| Заболевание | Симптомы | Возможные причины |
|---|---|---|
| Остеоартроз (гонартроз) | Боль в колене, особенно при нагрузке, скованность, хруст, деформация сустава, ограничение подвижности | Износ хрящевой ткани, возраст, травмы, ожирение, генетическая предрасположенность |
| Ревматоидный артрит | Боль, припухлость, покраснение, утренняя скованность, деформация сустава, системное воспаление | Аутоиммунное заболевание, генетическая предрасположенность |
| Острый бурсит | Острая боль, припухлость, покраснение, ограничение подвижности | Травма, инфекция |
| Хондромаляция надколенника | Боль под надколенником, хруст, ощущение «подскакивания» коленной чашечки | Повреждение хряща надколенника, неправильное положение надколенника, перегрузка |
| Менископатия | Боль, щелчки, чувство нестабильности в колене, отек | Травма мениска |
| Тендинит (воспаление сухожилий) | Боль, припухлость, болезненность при пальпации | Перегрузка, травма, воспаление |
| Лигаментоз (повреждение связок) | Боль, отек, нестабильность сустава | Травма |
| Болезнь Осгуда-Шлаттера | Боль под коленной чашечкой, припухлость | Воспаление места прикрепления сухожилия к большеберцовой кости, чаще у подростков |
Наиболее частые заболевания
Чаще всего заболевания коленного сустава возникают в результате травм. Повреждение сложной структуры коленного сустава приводит к возникновению воспалительных процессов.
На этом фоне могут развиваться различные патологии.
Заболевания коленных суставов — это тема, которая вызывает много обсуждений среди людей разных возрастов. Многие отмечают, что с возрастом проблемы с коленями становятся все более актуальными. Артрит и остеоартрит — наиболее распространенные диагнозы, и пациенты часто делятся своими переживаниями о боли и ограниченной подвижности. Некоторые говорят о том, как важно вовремя обратиться к врачу и не игнорировать первые симптомы. Другие акцентируют внимание на необходимости физической активности и правильного питания для поддержания здоровья суставов. В социальных сетях можно встретить множество советов по лечению и реабилитации, от народных средств до современных медицинских технологий. Люди также обсуждают важность профилактики и регулярных осмотров, чтобы избежать серьезных последствий. В целом, общение на эту тему помогает многим не только найти поддержку, но и узнать о новых методах лечения и ухода за коленными суставами.

Тендинит
Это воспаление связок коленного сустава. Повреждения связок могут возникать из-за микротравм или инфекционных процессов в организме. Симптомы заболевания проявляются незначительно, боль ощущается лишь при выполнении определенных движений и зависит от того, какая именно связка пострадала.
Игнорирование лечения может привести к хронической форме заболевания, что в свою очередь может вызвать разрыв связки. В таком случае потребуется хирургическое вмешательство для восстановления.
Менископатии
Это группа заболеваний, связанных с внутрисуставными менисками коленного сустава. Мениски представляют собой две хрящевые прокладки, находящиеся в коленном суставе. Повреждения менисков могут возникать в результате травм или воспалительных процессов. Наиболее распространенные виды патологий менисков:
- отрыв от места прикрепления;
- различные виды разрывов;
- аномальная подвижность;
- дегенерация хрящевой ткани, приводящая к варусной или вальгусной деформации нижних конечностей;
- кистозное перерождение.

Травмы колена
Каждый из нас хотя бы раз в жизни сталкивался с травмами колена, например, с так называемой «асфальтовой болезнью», которая чаще всего встречается у детей. Эти травмы сопровождаются выраженной болью, отечностью мягких тканей и образованием гематом. Существует несколько типов травм колена:
- ушиб мягких тканей коленного сустава;
- травматический гемартроз (скопление крови в суставной полости);
- разрывы или отрывы менисков;
- растяжения и разрывы внутрисуставных и внесуставных связок (передней и задней крестообразной, латеральной и медиальной коллатеральной, связки надколенника и другие);
- внутрисуставные переломы костей;
- перелом и вывих надколенника;
- разрывы капсулы сустава.
Болезнь Гоффа
Болезнь Гоффа встречается довольно редко. Это состояние характеризуется воспалением жировой ткани, расположенной в капсулах сустава, и последующей дегенерацией этой ткани. Основными факторами, способствующими развитию заболевания, являются травмы и сжатие, возникающее между костями. Определить наличие болезни можно по отеку на передней части колена и ниже подколенной области, а также по появлению боли и ограничению возможности полного разогиба ноги.
Киста Беккера
Это доброкачественное кистозное образование, которое не трансформируется в злокачественную опухоль. Киста развивается медленно и безболезненно, однако при достижении значительных размеров могут возникнуть болевые ощущения, что потребует хирургического вмешательства.
Наиболее часто встречающимися и серьезными заболеваниями коленного сустава являются следующие типы.
Артроз
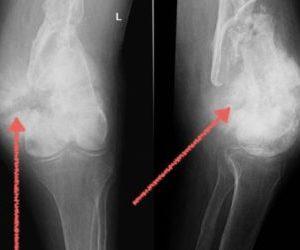
Это разрушение хрящевой ткани в коленном суставе и образование остеофитов, то есть костных наростов. Артроз приводит к деформации, сужению суставной щели и образованию анкилоза. Постепенно, если не проводить лечение, щель между суставами полностью исчезает, и подвижность сустава теряется.
Артроз может развиваться у людей любого возраста. На начальном этапе заболевание протекает незаметно, и боль ощущается лишь после значительных физических нагрузок, после чего она проходит самостоятельно.
На второй стадии болевые ощущения становятся постоянными, и человеку требуется принимать обезболивающие и противовоспалительные препараты. Из-за боли амплитуда движений в колене значительно уменьшается.
На последней стадии происходит полное разрушение хрящевой ткани. Пациент страдает от постоянных болей и теряет возможность нормально передвигаться, в данной ситуации единственным решением может стать операция.
Артрит
Это воспалительный процесс в тканях сустава. Причинами могут выступать инфекции, гормональные и эндокринные нарушения обмена веществ, а также аутоиммунные заболевания. Артрит коленного сустава чаще всего указывает на наличие общего заболевания в организме. Он может сопутствовать таким состояниям, как ревматоидный артрит, реактивный артрит, подагра и системная красная волчанка.
Среди симптомов данного заболевания можно выделить:
- боль в колене, которая может проявляться по-разному; врач сможет установить точный диагноз, основываясь на характере боли;
- отек в области коленного сустава;
- покраснение кожи вокруг сустава;
- повышение температуры в области колена, что делает сустав «горячим»;
- деформация сустава.
Бурсит
Это воспалительное состояние, которое возникает из-за скопления жидкости в капсулах коленного сустава. Причинами могут быть травмы, инфекция, проникающая через кровоток, или ревматологические болезни.
В области колена наблюдаются отек и покраснение, а боль ощущается даже в состоянии покоя. Лечение бурсита обычно проводится консервативными методами, и только в запущенных случаях может потребоваться хирургическое вмешательство.
Теперь давайте обратим внимание на заболевания, связанные с нарушениями обмена веществ.
Хондропатии
Данная патология коленного сустава обусловлена нарушениями обмена веществ. Чаще всего это связано с нехваткой витаминов и минералов в период активного роста у детей и подростков.
У взрослых данное состояние проявляется в виде дистрофических изменений, которые могут привести к преждевременному разрушению суставов, особенно у спортсменов, или же быть следствием естественного старения у пожилых людей. Лечение хондропатий обычно дает положительные результаты, и хирургическое вмешательство требуется крайне редко.
Ревматизм
Ревматизм представляет собой системное заболевание, которое возникает в результате инфекции, вызванной стрептококком, и может привести к развитию аутоиммунных расстройств. Чаще всего это заболевание наблюдается у детей.
К основным признакам ревматизма относятся высокая температура тела, а также повышение температуры в области суставов, отечность колена и болезненность при нажатии. Лечение обычно осуществляется в стационаре, после чего рекомендуется санаторно-курортная реабилитация и дальнейшее наблюдение в поликлинике.
Туберкулез
Это заболевание инфекционного характера, которое вызывает разрушение костной ткани. К основным признакам туберкулеза относятся тянущая боль в колене, дискомфорт при сгибании ноги, локальное повышение температуры, быстрая утомляемость и отечность колена.
Хондроматоз
Это образование хрящевых образований внутри суставной капсулы. Заболевание имеет хронический характер, проявляется тянущими болями, отечностью в области колена, хрустом, а при наличии значительного количества узлов может приводить к ограничению подвижности в коленном суставе.
Болезнь Паджета
Это заболевание чаще всего наблюдается у мужчин пожилого возраста. Оно связано с нарушениями в образовании костной ткани, что приводит к увеличению хрупкости и деформации скелета.
Симптоматика проявляется слабо, боль может ощущаться в ночное время, а в области колена может наблюдаться повышенная температура. Для диагностики данной патологии применяются анализы крови, биопсия и рентгенографическое исследование.
Список редких заболеваний коленного сустава:
- вывих подколенника – воспаление связок или их ослабление, возникающее из-за дистрофии или травмы;
- хондроматоз – это преобразование синовиальной оболочки в хрящевую ткань с образованием хондром – доброкачественных плотных образований;
- болезнь Плика – утолщение или скручивание связок;
- фибромиалгия – заболевание, характеризующееся симметричными болями в костях и мышцах колен, слабостью, утомляемостью и расстройствами кишечника; причины этой болезни до конца не изучены;
- остеомиелит – гнойно-некротический процесс в костных и мягких тканях инфекционного характера; пациент ощущает слабость, недомогание, острую боль, а также повышается общая температура тела; причиной может быть травма или инфекция;
- синовит – воспаление синовиальной оболочки коленной чашечки с накоплением жидкости в суставной полости;
- суставная мышь – фрагменты костной или хрящевой ткани, свободно находящиеся в суставе и вызывающие сильную боль;
- болезнь Пеллегрини Штида у женщин – ограничение подвижности коленного сустава, возникающее из-за повреждения тазобедренного сустава и отека мягких тканей колена;
- эпикондилит – воспаление места прикрепления мышцы, наблюдаемое у мужчин старше 40 лет, с постепенным разрушением этого места и жгучей болью;
- энтезопатия – воспаление мест прикрепления связок и сухожилий к кости, сопровождающееся дистрофическими изменениями, снижением прочности сухожилий и разрывами; пациент испытывает постоянную ноющую боль, повышается температура в этой области, появляется тугоподвижность;
- рак – это перерождение костной ткани коленного сустава в злокачественные клетки; на ранних стадиях заболевание может проявляться только приступообразными болями, а на 3-4 стадиях наблюдаются деформация и отек, повышение температуры, а также онемение коленной чашечки и всей конечности.
Основные методы лечения
Чем быстрее вы обратитесь к специалисту, тем выше шанс на полное выздоровление. Имейте в виду, что запущенные стадии заболевания могут привести к серьезным последствиям и потере трудоспособности.
К основным методам терапии относятся:
- фиксация поврежденного сустава, ограничение его подвижности, использование гипса или лангетки;
- противовоспалительная терапия, венотоники для улучшения кровообращения, хондропротекторы для восстановления и поддержания хрящевой ткани суставов;
- инъекции противовоспалительных или восстанавливающих препаратов в сустав, новокаиновые блокады;
- при наличии жидкости (например, при бурсите) выполняется пункция коленного сустава;
- хирургическое вмешательство на поздних стадиях заболевания;
- эндопротезирование или замена коленного сустава;
- артроскопия для лечения артроза;
- в период ремиссии применяются физиотерапевтические процедуры (магнитотерапия, электрофорез, ионофорез), массаж и лечебная физкультура.
Профилактика
В качестве мер профилактики применяются следующие подходы.
Лечебная физкультура (ЛФК), которая способствует улучшению гибкости и подвижности суставов. Занятия йогой также оказывают аналогичное воздействие.
Сбалансированное питание включает в себя продукты, богатые витаминами, которые полезны для хрящевой и костной ткани, такие как желатин и холодец, способствующие питанию хрящей, а также семга. Кроме того, рекомендуется принимать специальные витаминно-минеральные комплексы по назначению врача, например, кальцемин.
Поддержание здорового веса необходимо для предотвращения чрезмерных физических нагрузок на суставы и нарушения обмена веществ.
Для снижения нагрузки можно использовать расслабляющие компрессы, массаж и удобную ортопедическую обувь.
Также стоит применять защитные щитки и наколенники во время занятий спортом.
Заключение
В заключение следует отметить, что значительная нагрузка на коленные суставы требует осторожного и внимательного подхода. Существует множество факторов риска и заболеваний, и только врач может установить точный диагноз.
Например, воспаление коленной чашечки может возникать по различным причинам. Название заболевания коленного
Вопрос-ответ
Какое заболевание чаще всего поражает колено
Проблемы с коленом могут мешать многим: от занятий спортом до простого вставания со стула и ходьбы. Это может существенно повлиять на вашу жизнь. Наиболее распространённым заболеванием колена является остеоартрит. Хрящ в колене постепенно изнашивается, вызывая боль и отёк.
Как называется болезнь в коленном суставе
Гонартроз – это артроз коленного сустава, хроническое невоспалительное заболевание, проявляющееся прогрессирующим разрушением внутрисуставного хряща, которое сопровождается аномальным формированием костей, образующих сустав, изменениями синовиальной оболочки и синовиальной жидкости.
Советы
СОВЕТ №1
Регулярно выполняйте упражнения для укрепления мышц вокруг коленного сустава. Это поможет улучшить стабильность и снизить риск травм. Консультируйтесь с врачом или физиотерапевтом для подбора безопасной и эффективной программы тренировок.
СОВЕТ №2
Обратите внимание на свой вес. Избыточная масса тела создает дополнительную нагрузку на коленные суставы, что может привести к их преждевременному износу. Поддержание здорового веса поможет снизить риск развития заболеваний суставов.
СОВЕТ №3
Следите за своим питанием. Включайте в рацион продукты, богатые омега-3 жирными кислотами, антиоксидантами и витаминами, которые способствуют здоровью суставов. Это может помочь уменьшить воспаление и улучшить общее состояние коленных суставов.
СОВЕТ №4
Не игнорируйте симптомы. Если вы испытываете боль, отек или ограничение движений в коленях, обратитесь к врачу. Раннее выявление и лечение заболеваний суставов могут предотвратить серьезные осложнения в будущем.




