Что такое артродез сустава
Это хирургическая процедура, направленная на фиксацию сустава в одном положении и удаление поврежденных тканей.
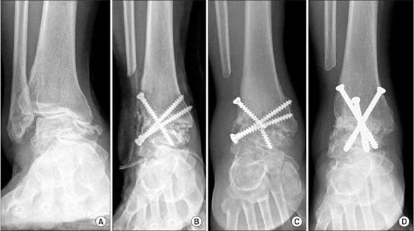
Артродез голеностопного сустава обеспечивает неподвижность сустава и восстанавливает функциональность ноги.
Такой подход помогает устранить болевые ощущения, возникающие из-за воспалительных процессов или заболеваний суставов. Двигательная активность компенсируется несросшимися костями оперированной конечности.
Существуют также артродез тазобедренного и коленного суставов. Люди, впервые сталкивающиеся с такими операциями, часто задают врачу вопрос: «Что это такое?».
Артродез коленного сустава создает искусственный анкилоз, то есть преднамеренно ограничивает движение в суставе, предотвращая дальнейшее развитие осложненного артроза.
Операция рекомендуется в тех случаях, когда консервативные методы лечения не принесли улучшения, а заболевание вызывает значительный дискомфорт и имеет тенденцию к ухудшению.
Хирургическое вмешательство в области тазовых суставов проводится, когда протезирование или коррекция сустава невозможны или не дали желаемого результата в устранении болей. Артродез тазобедренных костей ограничивает подвижность конечности, устраняя последствия активного дегенеративного процесса.
После операции пациент проходит курс реабилитации в течение нескольких месяцев, который включает в себя гимнастику, физиотерапию и прием лекарств по назначению врача.
Такой подход оправдан, когда перед пациентом и врачом стоит задача избавления от мучительных болей. Важно, чтобы врач предупредил о возможных последствиях – частичной утрате функциональности оперируемой конечности.
Врачи отмечают, что артродез голеностопного сустава является эффективным методом лечения различных заболеваний, таких как остеоартрит и травмы. Процедура заключается в хирургическом слиянии костей сустава, что позволяет устранить болевой синдром и восстановить функциональность конечности. Хирурги используют современные технологии, включая миниинвазивные методы, что снижает риск осложнений и сокращает время восстановления. Врачи подчеркивают важность предварительной диагностики и индивидуального подхода к каждому пациенту. После операции необходима реабилитация, которая включает физиотерапию и специальные упражнения для восстановления подвижности. В целом, артродез позволяет многим пациентам вернуться к активной жизни.

Виды
Сращивание костей помогает избавиться от деформированных тканей конечности и устранить болевые ощущения.
Артродез чаще всего применяется при повреждениях тазобедренного, голеностопного, лучезапястного и коленного суставов.
В медицинской практике выделяют внутрисуставной и внесуставной артродез.
Основное различие между ними заключается в том, что при внутрисуставном артродезе удаляются элементы костей, после чего на конечность накладывается гипсовая повязка, обеспечивающая ее неподвижность на период восстановления.
Внесуставной метод предполагает вживление в суставную ткань биологических материалов, взятых из других суставов пациента, после чего кости фиксируются.
Комбинированная операция объединяет оба подхода: сначала удаляются хрящ и часть кости, затем сустав дополнительно фиксируется металлическим штифтом.
Компрессионный артродез осуществляется с использованием компрессионных аппаратов, которые обеспечивают естественную амортизацию при движении и способствуют сокращению времени восстановления после процедуры артродезирования.
Панартродез (или полный артродез) стопы включает коррекцию четырех типов суставов в голеностопном суставе. Эти виды пластики позволяют полностью устранить негативные последствия артритов, артрозов, подагры, вывихов, переломов и других заболеваний.
Аппарат Илизарова представляет собой еще один метод артропластики, при котором хирург создает искусственный перелом, устанавливая в костную ткань аппарат, который вытягивает и фиксирует травмированную область.
| Этап артродеза голеностопного сустава | Детали процедуры | Возможные осложнения |
|---|---|---|
| Предоперационная подготовка | Оценка состояния пациента, рентгенография, планирование операции, обсуждение с пациентом рисков и преимуществ, анестезия (общая или спинальная) | Аллергические реакции на анестезию, кровотечение |
| Хирургический доступ | Разрез кожи и мягких тканей, обнажение костей голеностопного сустава | Инфекция, повреждение нервов и сосудов, образование гематом |
| Резекция хряща и кости | Удаление поврежденных хрящевых поверхностей суставных концов большеберцовой и таранной костей | Кровотечение, повреждение кости |
| Фиксация костей | Остеосинтез с использованием пластин, винтов, стержней или внешней фиксации | Неправильное сращение костей, инфекция, повреждение нервов и сосудов, нестабильность фиксации |
| Закрытие раны | Зашивание мягких тканей, установка дренажа | Инфекция, образование гематом, замедленное заживление |
| Послеоперационный период | Иммобилизация гипсовой повязкой или ортезом, физиотерапия, контроль заживления, снятие швов | Инфекция, тромбоз, образование контрактур, псевдоартроз |
Показания и противопоказания
Артродезирование рекомендуется проводить пациентам только при наличии определенных показаний:
- постоянные интенсивные боли;
- нестабильный сустав;
- деформация сустава;
- гнойные или туберкулезные инфекции;
- травмы, вызывающие боль и деформацию костей;
- неправильно сросшаяся конечность.
Перед тем как направить пациента на операцию, врач осуществляет полное обследование, чтобы выявить возможные противопоказания. К ним относятся детский и пожилой возраст, инфекционно-воспалительные заболевания, колебания артериального давления и нестабильное состояние здоровья.
Артродез голеностопного сустава — это хирургическая процедура, которая вызывает много обсуждений среди пациентов и специалистов. Многие люди отмечают, что операция помогает избавиться от хронической боли и восстанавливает функциональность ноги. Однако, как и любая операция, артродез имеет свои риски и ограничения. Некоторые пациенты делятся положительным опытом, подчеркивая, что после реабилитации они смогли вернуться к активной жизни, заниматься спортом и выполнять повседневные задачи без дискомфорта.
С другой стороны, есть и те, кто выражает опасения по поводу длительного восстановления и возможной потери подвижности в суставе. Важно отметить, что успех операции во многом зависит от квалификации хирурга и индивидуальных особенностей пациента. Многие рекомендуют тщательно подходить к выбору врача и клиники, а также заранее обсуждать все возможные последствия. В конечном итоге, артродез может стать эффективным решением для тех, кто страдает от серьезных заболеваний голеностопного сустава, но требует взвешенного подхода и подготовки.

Описание процедуры
Разберемся в процессе артродезирования.
Подготовка пациента включает в себя полное обследование его состояния. Это подразумевает анализы крови и мочи для оценки свертываемости, резус-фактора и группы крови.
Также необходимо провести тесты на ЗППП, чтобы избежать возможных осложнений после операции. Перед вмешательством на суставах пациенту назначается рентген.
Важно! За неделю до артродезирования следует исключить из рациона НПВС, препараты, влияющие на свертываемость крови, а также тяжелую и жирную пищу. Непосредственно перед операцией запрещено есть и пить.
Процесс выполнения операции включает следующие этапы:
- анестезия;
- стерилизация инструментов и антисептическая обработка ног;
- разрез мягких тканей;
- удаление нежизнеспособных участков костной и хрящевой ткани;
- формирование сращивания таранной и большеберцовой кости;
- фиксация обездвиженного сустава металлическими штифтами.
Время, необходимое для артродезирования, составляет от 2 до 6 часов в зависимости от выбранной техники, необходимости забора структурных элементов хрящевой ткани пациента и степени запущенности заболевания.
Со временем прооперированные ткани срастаются, и функции обездвиженного сустава частично начинают выполнять другие хрящи.
Реабилитация
В период восстановления необходимо использовать нестероидные противовоспалительные препараты (НПВС) и анальгетики для снятия болевого синдрома.
Чтобы предотвратить развитие инфекции в местах установки металлических конструкций, врач назначает антибактериальные препараты для внутреннего применения.
В течение первых суток после операции пациенту запрещено вставать с постели, чтобы избежать негативных последствий от наркоза.
Гипс придется носить в течение 3-4 месяцев, что поможет минимизировать риск неправильного срастания костей. В этот период человек будет передвигаться, опираясь на здоровую ногу и используя костыли.
Следующий этап восстановления включает физиотерапевтические процедуры (электрофорез, магнитотерапия, УВЧ, лазеротерапия), массаж и лечебные упражнения под контролем специалиста.

Осложнения
Любое хирургическое вмешательство может привести к нежелательным последствиям. Эта ответственность лежит не только на хирургах и медицинском персонале, проводящих операцию, но и на самом пациенте, который должен строго следовать рекомендациям по подготовке и восстановлению.
К числу возможных осложнений после артродезирования относятся:
- остеомиелит (инфекция костей и мягких тканей ноги);
- тромбоз вен и артерий;
- кровотечения и образование гематом;
- повреждение нервных окончаний, что может привести к нарушению чувствительности;
- изменения в походке;
- отеки и сильные болевые ощущения;
- нагноения;
- тошнота и рвота;
- онемение и покалывание в конечностях.
Если вы испытываете дискомфорт, который не связан с нормальным процессом заживления, важно незамедлительно сообщить об этом своему лечащему врачу.
Отзывы
При наличии выраженного болевого синдрома, вызванного длительным развитием дегенеративных изменений в голеностопном суставе, многие пациенты обращаются к процедуре артродеза голеностопа.
Ниже представлены отзывы пациентов о данной процедуре.
Анфиса: “Мне проводили артродез как бедра, так и колена. После операции было очень больно, промидол облегчал состояние всего на 15 минут. В такие моменты пыталась уснуть, так как не было сил, но как только засыпала, боль снова накатывала, словно цунами. Бинты были пропитаны кровью, под ногой образовалась лужа. Кровотечение продолжалось в течение двух суток.
Я не могла есть, меня постоянно тошнило – не знаю, от боли, стресса или лекарств, возможно, от всего сразу. Как только наркоз отошел, я смогла передвигаться с помощью костылей, опираясь на здоровую ногу. Со временем раны перестали кровоточить, мне наложили гипсовый сапожок и объяснили, как с ним ходить.
Полное заживление ноги произошло через 4 месяца после операции. Спустя полгода я привыкла к ограниченной подвижности. Все мои страдания не были напрасными – боль в суставах, мучившая меня на протяжении многих лет, наконец, исчезла.”
Мария: “Прошел год после артродезирования, и, к сожалению, все еще болит. В месте, где сустав не замкнут, последняя, так сказать, дырочка, из-за которой сустав немного двигается, постоянно опухает и причиняет боль. Также болит сбоку стопы, и мне кажется, что она начала деформироваться – какие-то косточки стали выпирать. Ходить стало очень неудобно, поэтому я заказала ортопедические стельки.”
Заключение
Артродез представляет собой сложную хирургическую операцию, направленную на частичное ограничение подвижности сустава и удаление нежизнеспособных тканей. После проведения данной процедуры пациент может испытывать утрату подвижности в конечности. Процесс реабилитации требует полной отдачи от пациента, который должен строго следовать рекомендациям врачей и выполнять восстановительные упражнения.
Согласно отзывам, данная операция может быть весьма болезненной и требует продолжительного периода восстановления, при этом в некоторых случаях могут возникать негативные последствия. Поэтому важно доверять здоровье своих ног только опытным и квалифицированным специалистам.
Вопрос-ответ
Как проводится артродез
Артродез проводится под общим или спинальным наркозом. Хирург удаляет поврежденные суставные ткани, подготавливает поверхности костей и соединяет их с помощью металлофиксаторов (винтов, пластин, спиц) или костного трансплантата. Процедура завершается наложением швов и гипсовой фиксацией конечности.
Как ходят после артродеза голеностопного сустава
Сроки ношения повязки после артродеза: голеностопного сустава – 3-5 месяцев. Ходить в это время можно на костылях; коленного сустава – 3-4 месяца. Без опоры на оперированную ногу можно передвигаться на костылях; тазобедренного сустава – 6-7 месяцев.
Как проводится артроскопия голеностопного сустава
Хирургическое вмешательство проводится под общей или местной анестезией. Пациент ложится на бок или спину (реже на живот) для максимально удобного доступа к пораженному участку. Хирург выполняет в области поврежденного голеностопного сустава несколько разрезов, в которые вводят артроскоп.
Что такое артродезирование голеностопного сустава
Артродезирование — это хирургическое вмешательство по принудительной иммобилизации голеностопного сустава в месте соединения большеберцовой и таранной костей. Недостаток подвижности компенсируется элементами кости предплюсны голеностопного сочленения.
Советы
СОВЕТ №1
Перед операцией обязательно проконсультируйтесь с опытным ортопедом или травматологом. Узнайте о всех возможных вариантах лечения и обсудите, подходит ли вам артродез как метод. Это поможет вам принять обоснованное решение.
СОВЕТ №2
Подготовьтесь к операции заранее. Убедитесь, что у вас есть все необходимые медицинские документы, а также обсудите с врачом, какие анализы и обследования вам нужно пройти перед хирургическим вмешательством.
СОВЕТ №3
После операции следуйте всем рекомендациям врача по реабилитации. Это включает в себя выполнение назначенных упражнений, использование ортопедических средств и регулярные визиты к врачу для контроля процесса восстановления.
СОВЕТ №4
Обратите внимание на свое питание в период восстановления. Правильное питание, богатое витаминами и минералами, поможет ускорить процесс заживления и восстановить здоровье суставов.





