Плюсы и минусы
Магнитно-резонансная томография обладает как положительными, так и отрицательными сторонами.
К числу преимуществ можно отнести отсутствие радиационного воздействия во время диагностики, высокую точность получаемых данных и возможность создания трехмерных изображений.
Среди недостатков МРТ стоит выделить длительное время, необходимое для получения снимков. Также для выполнения процедуры требуется использование дорогостоящего оборудования, что приводит к высокой стоимости обследования.
Врачи отмечают, что магнитно-резонансная томография тазобедренного сустава является высокоинформативным методом диагностики, позволяющим получить детализированные изображения мягких тканей, хрящей и костей. Процедура начинается с подготовки пациента: ему необходимо снять все металлические предметы и, при необходимости, надеть специальный халат. Во время исследования пациент располагается на столе томографа, который затем перемещается в магнитное поле. Врачи подчеркивают, что процедура безболезненна и безопасна, однако некоторые пациенты могут испытывать дискомфорт из-за ограниченного пространства. Важно, чтобы во время сканирования пациент оставался неподвижным для получения качественных изображений. Результаты МРТ помогают врачам точно диагностировать различные заболевания, такие как артрит, травмы или опухоли, что в свою очередь способствует выбору оптимального метода лечения.

Показания и противопоказания
Тазобедренный сустав является одним из самых крупных суставов в человеческом организме. Томографию применяют в следующих случаях:
- если у пациента возникают постоянные боли, которые не поддаются лечению стандартными методами;
- при наличии дисплазии;
- когда существует риск образования опухолей;
- в случае серьезных травм или вывихов;
- при диагностированном артрите или некрозе;
- если есть вероятность образования тромбов в этой области;
- при защемлении нервов;
- для проведения дополнительных исследований.
Кроме того, данная процедура необходима, если требуется контролировать состояние протеза. Также она актуальна для мониторинга динамики лечения различных заболеваний.
Магнитно-резонансная томография сустава может быть выполнена только при отсутствии металлических инородных тел, которые могут быть намагничены. К таким предметам относятся пирсинг, протезы и спицы.
Еще одной причиной, по которой может быть отказано в проведении томографии, является наличие у пациента высокоточных медицинских устройств, таких как имплантированный кардиостимулятор.
Также существуют другие факторы, которые могут стать основанием для отказа в МРТ тазобедренного сустава:
- избыточный вес пациента. Некоторые модели аппаратов могут обследовать людей весом до 200 килограммов, но они не подойдут, если масса тела значительно превышает этот предел;
- высокая вероятность эпилептического припадка. Если у пациента наблюдаются неконтролируемые подергивания, потребуется письменное согласие на проведение МРТ;
- беременность на поздних сроках;
- возраст пациента до 7 лет;
- наличие клаустрофобии.
Таким пациентам рекомендуется рассмотреть альтернативные методы обследования.
| Этап процедуры МРТ тазобедренного сустава | Детали процедуры | Что испытывает пациент |
|---|---|---|
| Подготовка к исследованию | Заполнение анкеты, удаление металлических предметов (украшения, слуховые аппараты), объяснение процедуры врачом. Возможно назначение седативных препаратов при сильном беспокойстве. | Небольшое волнение, ответы на вопросы врача. |
| Размещение в аппарате МРТ | Пациент ложится на стол, который задвигается в туннель аппарата. Возможно использование специальных подушек и фиксаторов для комфортного и неподвижного положения. | Звук работающего аппарата (достаточно громкий), ощущение замкнутого пространства. Важно лежать неподвижно. |
| Проведение сканирования | Аппарат генерирует мощное магнитное поле и радиоволны, которые создают детальные изображения сустава. Процедура занимает от 30 до 60 минут. | Небольшие постукивающие звуки, вибрации. Важно сохранять неподвижность, чтобы избежать артефактов на снимках. |
| Завершение процедуры | Стол выдвигается из аппарата. Врач может задать дополнительные вопросы. | Ощущение облегчения, возможность встать и одеться. |
| Получение результатов | Обработка данных и составление заключения врачом-рентгенологом. Результаты предоставляются пациенту или лечащему врачу. | Ожидание результатов, обсуждение результатов с врачом. |
Подготовка к МРТ
Для выполнения МРТ пациенту не нужна особая подготовка. В день процедуры человек может питаться так же, как обычно. Исключение составляют случаи, когда требуется использование специального контрастного вещества.
Контраст применяется довольно редко. Он помогает обнаружить небольшие опухоли и используется для определения границы между здоровыми и пораженными участками тела.
Для того чтобы пройти данное обследование, необходимо иметь направление от лечащего врача.
Перед началом процедуры следует временно убрать все металлические предметы. Пациенту нужно лечь на специальный стол в горизонтальном положении.
МРТ тазобедренного сустава вызывает у людей разные эмоции и мнения. Многие отмечают, что процедура безболезненная и быстрая, что особенно важно для тех, кто испытывает дискомфорт или боль. Пациенты ценят высокую точность диагностики, позволяющую выявить даже незначительные изменения в тканях и суставах. Однако некоторые испытывают тревогу из-за замкнутого пространства аппарата, что может вызывать клаустрофобию. Важно отметить, что врачи и медицинский персонал стараются создать комфортную атмосферу, объясняя каждый этап процедуры. В целом, большинство людей остаются довольны результатами и качеством обследования, подчеркивая его важность для дальнейшего лечения и восстановления.

Проведение МРТ
Пациенту важно понимать, как осуществляется процедура томографии. Кушетка, на которой находится человек, задвигается в аппарат, при этом область сустава оказывается в зоне сканирования. Кольцо аппарата вращается вокруг этого сустава с разных сторон.
Процесс проходит под внимательным наблюдением врача и медсестры. Исследование занимает не менее двадцати минут. Полученные снимки сохраняются в электронном виде.
Во время сканирования аппарат производит громкий звук. При необходимости пациент может воспользоваться берушами. Для получения снимков наивысшего качества крайне важно оставаться неподвижным. Это обследование отличается простотой, точностью и высокой скоростью получения результатов.
Что показывает
Многие интересуются, что именно показывает МРТ тазобедренных суставов.
Магнитно-резонансная томография не подвергает пациента воздействию ионизирующего излучения, как это происходит при рентгенографии. Благодаря этому МРТ можно проводить несколько раз подряд без риска для здоровья. Аппарат обеспечивает получение высококачественных изображений в разных плоскостях, что делает его идеальным для исследования мягких тканей бедер.
Структура бедренного сустава человека уникальна. У него есть кровеносный сосуд, а вокруг располагаются мягкие ткани, которые могут серьезно пострадать при травмах. Проведение МРТ позволяет выявить возможные изменения, что помогает врачам принять обоснованные решения о дальнейшем лечении.
Снимки МРТ тазобедренного сустава показывают:
- наличие дисплазии;
- появление опухолевых образований в мягких тканях;
- повреждения сустава (микротрещины, разрывы, повышенная концентрация крови).
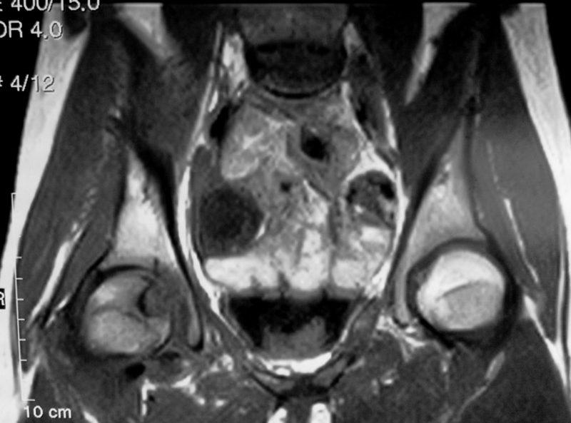
Фото МРТ тазобедренного сустава:

Альтернативы
Если у вас есть противопоказания для проведения МРТ, существуют несколько альтернативных методов диагностики.
- КГ-диагностика. В этом случае требуется введение контрастного вещества в тазобедренный сустав.
- Рентгенография. Благодаря своим особенностям, рентген может стать отличной заменой МРТ.
Какой метод – МРТ или рентген – будет более подходящим в вашей ситуации, следует обсудить с вашим лечащим врачом.
Где делают и сколько стоит
Чтобы пройти магнитно-резонансную томографию, требуется направление от врача-травматолога или онколога.
На сегодняшний день существует множество специализированных медицинских центров, где можно пройти данное исследование. В стоимость услуги включены как сама процедура МРТ, так и расшифровка результатов, а также заключение врача, основанное на полученных снимках.
Цена на МРТ зависит от ряда ключевых факторов. Во-первых, это уровень медицинского учреждения. Во-вторых, необходимость использования контрастного вещества. Поскольку оно является довольно дорогим, его применение существенно увеличивает стоимость исследования.
МРТ можно пройти и в ночное время, и в этом случае цена может быть ниже.
Для прохождения МРТ стоит быть готовым потратить около 3500 рублей. Если необходимо обследование нескольких тазобедренных суставов, то стоимость составит от 5000 до 7000 рублей. Отдельно оплачивается электронный носитель с результатами диагностики.
В общем, общая сумма за процедуру может составить около 14000 рублей.
Заключение
Магнитно-резонансная томография тазобедренного сустава играет значительную роль в поддержании здоровья человека. Своевременное проведение этого обследования может оказать решающее влияние на способность человека передвигаться. Не стоит жертвовать своим здоровьем. МРТ является важным инструментом для диагностики нарушений в работе тазобедренного сустава.
Вопрос-ответ
Нужно ли лежать на спине во время МРТ тазобедренного сустава
Затем вас проведут в аппарат МРТ, где вам сделают МРТ. Если вам делают МРТ тазобедренного сустава, вас положат на спину ногами вперёд к магниту. Если вам делают МРТ плеча, вас положат на спину головой вперёд к магниту. Процедура сканирования займёт около 30–45 минут.
Что лучше сделать для тазобедренного сустава МРТ или КТ
Из вышесказанного можно сделать вывод, что КТ и МРТ являются важными инструментами диагностики патологий тазобедренных суставов. КТ превосходно подходит для выявления костных повреждений и острых травм, тогда как МРТ лучше справляется с диагностикой повреждений мягких тканей, воспалений и хронических заболеваний.
Советы
СОВЕТ №1
Перед проведением МРТ тазобедренного сустава обязательно проконсультируйтесь с врачом. Он поможет определить необходимость исследования и объяснит, какие показания могут быть у вас для этой процедуры.
СОВЕТ №2
Убедитесь, что вы сняли все металлические предметы перед входом в магнитно-резонансный томограф. Это включает в себя украшения, часы, кредитные карты и любые другие металлические аксессуары, так как они могут повлиять на качество изображения и вызвать опасность.
СОВЕТ №3
Если у вас есть клаустрофобия или страх перед замкнутыми пространствами, сообщите об этом медицинскому персоналу. Они могут предложить успокаивающие средства или альтернативные методы исследования, такие как открытые МРТ-аппараты.
СОВЕТ №4
После процедуры не спешите покидать медицинское учреждение. Обсудите с врачом результаты исследования и дальнейшие шаги, если они необходимы. Это поможет вам лучше понять состояние вашего здоровья и возможные методы лечения.



