Причины
Перелом ладьевидной кости – это довольно частое явление, однако из-за небольших размеров этой кости, диагностика травмы может быть затруднена. Часто такие повреждения сопровождаются переломами нескольких соседних костей, что приводит к тому, что внимание на перелом ладьевидной кости обращается лишь в последнюю очередь.
Когда диагноз перелома ладьевидной кости кисти подтвержден, период лечения может составлять от 2 до 6 месяцев, не включая время на реабилитацию.
Несмотря на то, что такая травма не представляет непосредственной угрозы для жизни, риск возникновения возможных осложнений подчеркивает важность ранней диагностики перелома.
Наиболее частой причиной перелома является падение на вытянутую руку, когда нагрузка приходится на лучевую часть ладони, что создает критическое давление на ладьевидную кость. Также травмы могут возникать при ударе кулаком о твердую поверхность или при резком воздействии на кисть, сосредоточенном на ладони.
Как правило, такие ситуации происходят в результате автомобильных аварий или увлечения активными видами спорта. Редко, но все же возможно, что причиной перелома становится прямая травма кисти.
Врачи подчеркивают, что лечение перелома ладьевидной кости запястья требует индивидуального подхода. В зависимости от характера и степени повреждения, терапия может варьироваться от консервативного до хирургического вмешательства. При неосложненных переломах, как правило, применяется иммобилизация с помощью гипсовой повязки на срок от 6 до 8 недель. Важно следить за состоянием пациента и проводить регулярные рентгенологические исследования для контроля сращения кости. В случаях смещения или нестабильных переломов может потребоваться операция для восстановления анатомической структуры кости. После хирургического вмешательства реабилитация включает физиотерапию и специальные упражнения для восстановления функции запястья. Врачи акцентируют внимание на важности своевременного обращения за медицинской помощью, так как запоздалое лечение может привести к осложнениям и хронической боли.

Виды переломов ладьевидной кости
Переломы классифицируются на открытые (с повреждением кожи) и закрытые (без внешних изменений). Существует несколько типов повреждений при переломах:
- Краевой.
- Поперечный.
- Многооскольчатый.
Наиболее распространённым является краевой перелом ладьевидной кости правой кисти, который обычно лечится консервативными методами. Если перелом находится в центральной части кости, существует риск формирования ложного сустава, что может быть связано с особенностями кровоснабжения ладьевидной кости.
Второй и третий типы переломов требуют хирургического вмешательства.
Эта форма перелома трудно диагностируется, поэтому крайне важно при травме кисти немедленно обратиться к травматологу.
При подозрении на перелом ладьевидной кости симптомы и подходы к лечению могут варьироваться в зависимости от характера повреждений сустава и степени тяжести травмы.
Первым и наиболее характерным признаком повреждения ладьевидной кости являются болезненные ощущения в области так называемой анатомической табакерки.
Также стоит обратить внимание на следующие симптомы, которые могут стать основанием для обращения к врачу:
- боль и отёк в тыльной части кисти;
- подкожные кровоизлияния в месте предполагаемой травмы;
- усиливающаяся боль в области тыла при сгибании и разгибании сустава;
- болезненные ощущения при пальпации повреждённой области;
- ограничение подвижности в кисти.
| Стадия лечения | Методы лечения | Ожидаемые результаты/Возможные осложнения |
|---|---|---|
| Немедленная помощь (первые 24-48 часов) | Иммобилизация с помощью гипса или ортеза; обезболивание (анальгетики, НПВС); холодные компрессы; покой | Снижение боли и отека; предотвращение дальнейшего повреждения |
| Иммобилизация (4-6 недель) | Гипсовая повязка, ортез; регулярные осмотры у врача; контроль за отеком и болевым синдромом | Консолидация перелома; уменьшение боли и отека; возможность развития контрактур, онемения или парестезии |
| Реабилитация (6-12 недель и более) | Физиотерапия (УВЧ, электрофорез, магнитотерапия); лечебная физкультура (ЛФК); массаж; восстановительные упражнения | Восстановление подвижности запястья; укрепление мышц; возвращение к нормальной функции руки; возможность развития хронической боли или ограниченной подвижности |
| Хирургическое вмешательство (в случае неудовлетворительного сращения) | Остеосинтез (фиксация фрагментов кости с помощью винтов, спиц или пластин); артродез (сращение суставных поверхностей) | Ускорение процесса заживления; восстановление анатомической целостности кости; риск инфекции, повреждения нервов и сосудов, неудачного сращения |
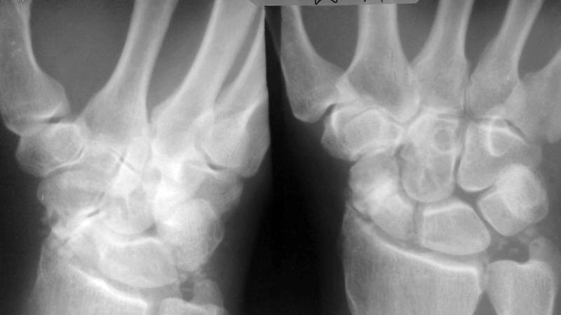
Диагностика
Первичная диагностика перелома основывается на визуальных данных. Для точного определения диагноза необходимы рентгенологические снимки в трех проекциях – прямой, боковой и 3D. Последняя позволяет четко увидеть профиль ладьевидной кости и линию перелома, которая не всегда заметна на рентгенограмме в прямом проекции.
Если клиническая картина указывает на перелом ладьевидной кости, но рентгенография не показывает его наличие, пациенту накладывается гипсовая повязка, а через несколько дней выполняется повторное рентгенологическое исследование.
В некоторых особенно сложных случаях для точного диагноза может быть использована процедура МРТ.
Люди, столкнувшиеся с переломом ладьевидной кости запястья, часто делятся своим опытом лечения и восстановления. Многие отмечают, что важным этапом является своевременная диагностика, так как этот тип перелома может быть трудно заметить на первых рентгеновских снимках. Врачи рекомендуют использовать гипс на срок от 6 до 12 недель, в зависимости от тяжести травмы.
Некоторые пациенты рассказывают о необходимости реабилитации, которая включает физиотерапию и специальные упражнения для восстановления подвижности. Также упоминается о том, что важно следить за состоянием кости, так как неправильное сращение может привести к хронической боли.
Многие делятся советами по поводу использования противовоспалительных препаратов для облегчения боли и отека. В целом, люди подчеркивают, что терпение и соблюдение рекомендаций врача играют ключевую роль в успешном восстановлении.

Первая помощь
Качественное оказание первой помощи при переломах играет ключевую роль не только в снижении болевого ощущения, но и в уменьшении риска возникновения возможных осложнений в будущем.
Прежде всего, основное внимание следует уделить обезболиванию с использованием анальгетиков, а также устранению отека. Для этого к поврежденной области на 20 минут прикладывается холодный компресс (например, мокрое полотенце). Данная процедура может быть повторена несколько раз с 10-минутными интервалами. При открытом переломе ладьевидной кости необходимо наложить стерильную повязку на рану.
Обязательно запястье должно быть зафиксировано в неподвижном состоянии с помощью доступных средств, после чего пациента следует срочно доставить в медицинское учреждение.
Лечение
Главной целью терапии является восстановление нормальной функции сустава. Специалист тщательно анализирует рентгеновский снимок, изучая перелом и его характеристики, после чего принимает решение о дальнейшем лечении пациента.
Наложение гипса при переломе ладьевидной кости кисти является основным элементом лечебного процесса для подобных травм.
По завершении иммобилизации пациенту предстоит пройти продолжительный курс реабилитации.

Консервативное лечение
Основная цель данного метода терапии – полное ограничение подвижности кисти. В этом случае кисть фиксируется в положении радиального отведения, а пальцы должны находиться в слегка разогнутом состоянии. Такое расположение позволяет максимально сблизить обломки кости, что способствует их успешному сращению. Время ношения гипса составляет от 2 до 3 месяцев, а в некоторых случаях может быть и дольше.
Кроме того, пациенту назначается курс витаминов и кальция. После удаления гипса проводится контрольное рентгенографическое исследование.
Оперативное лечение
Данный метод лечения применяется исключительно в тех случаях, когда консервативные подходы не принесли ожидаемого результата. Пациенту назначается операция с целью:
- удаления фрагментов, которые не смогли правильно срастись;
- установки винтов и костных элементов для фиксации осколков;
- удаления отростка лучевой кости.
После хирургического вмешательства пациенту накладывают иммобилизирующую гипсовую повязку, которую необходимо носить примерно 3 недели.
Реабилитация
Реабилитация после перелома ладьевидной кости кисти, как правило, начинается сразу после наложения гипсовой повязки и продолжается до полного восстановления, включая период после снятия гипса.
Ортез при переломе ладьевидной кости
При наличии значительного отека руки у пациента после перелома, врач советует на время использовать ортез. Как только отек уменьшается, пациенту накладывают гипс.
Ортез отличается удобством в эксплуатации, его легкая и функциональная конструкция позволяет легко фиксировать его с помощью шнуровки. Он также оснащен дополнительной поддержкой для большого пальца, а в комплекте всегда имеется съемная опора для кисти. Ортезы производятся отдельно для левой и правой руки.
Первый период
Данный этап продолжается в течение двух недель и имеет несколько ключевых целей:
- Расслабление мышечной ткани в пораженной области.
- Улучшение кровообращения и лимфотока в тканях.
- Уменьшение болевых ощущений.
- Восстановление жизненно важных процессов.
В этот период рекомендуется выполнять следующие виды упражнений:
- круговые движения в лучезапястном суставе;
- движения пальцами;
- наклоны кисти вперед и назад;
- упражнения для локтевых суставов.
Второй период
На данном этапе перед нами стоят несколько иные задачи:
- Восстановление функциональности кисти.
- Разработка подвижности сустава.
Рекомендуется выполнять гимнастические упражнения с мячом или использовать хореографический станок.
Третий период
Заключительный этап, основными задачами которого являются:
- Восстановление первоначальной подвижности сустава.
- Укрепление общего состояния организма.
Этот этап сопровождается увеличением физических нагрузок:
- усложненные гимнастические упражнения;
- тренировки на шведской стенке;
- занятия на турнике;
- отжимания от пола.
Физиотерапия
Включает в себя ряд методов:
- электротерапия (диатермия и УВЧ);
- парафиновые аппликации на пораженный сустав;
- согревающие компрессы с использованием озокерита;
- бальнеотерапия;
- гидротерапия;
- лечение с помощью грязей.
Пациенту назначается массаж для укрепления мышц и связок, а также для предотвращения патологических изменений в кисти после травмы. Для более эффективной реабилитации рекомендуется плавание в бассейне.
Все физические упражнения допускаются только после тщательного обследования врачом и не ранее чем через три месяца после травмы. В некоторых случаях пациентам разрешается возвращаться к спортивным занятиям лишь через полгода.
Для полного восстановления функций лучезапястного сустава крайне важно своевременно начать реабилитационную терапию. В противном случае возможны серьезные и необратимые последствия.
Возможные осложнения
В процессе лечения перелома иногда могут возникать осложнения, такие как артроз или асептический некроз. Обычно это связано с недостаточным или нарушенным кровоснабжением.
В случае артроза, данное состояние может привести к несращению перелома. Со временем ненормальное движение костных фрагментов может вызвать дисбаланс суставных поверхностей в запястье, что, в свою очередь, приводит к развитию артроза.
При асептическом некрозе происходит отмирание части ладьевидной кости, что вызывает болевые ощущения и ограничивает подвижность кисти.
Особенность асептического некроза заключается в том, что его проявления на рентгеновских снимках становятся заметными только через несколько месяцев после травмы, что является слишком поздним сроком для принятия необходимых мер.
Несросшиеся переломы ладьевидной кости иногда могут способствовать образованию ложного сустава, что негативно сказывается на комфорте пациента и нарушает привычный ритм жизни.
Заключение
Хотя ладьевидная кость и является небольшой, она играет ключевую роль в формировании запястья. Кисть представляет собой сложную структуру, и каждая из мелких костей имеет свое значение. Повреждения этой кости могут привести к серьезным последствиям для нормальной работы лучезапястного сустава. Поэтому крайне важно не игнорировать даже незначительные симптомы, возникшие после травмы руки.
Если вы своевременно обратитесь к врачу и начнете лечение, это поможет восстановить полную функциональность вашего сустава.
Вопрос-ответ
Как ускорить заживление перелома ладьевидной кости?
Первичное лечение и иммобилизация. Немедленное лечение может существенно повлиять на то, насколько хорошо и быстро заживет ваше запястье. Первым шагом в лечении перелома ладьевидной кости является иммобилизация. Это означает, что запястье должно оставаться неподвижным, чтобы предотвратить дальнейшие травмы и позволить кости начать заживать.
Как лечат перелом ладьевидной кости?
Лечение: При подтверждении перелома ладьевидной кости без смещения в качестве лечения, как правило, применяется иммобилизация (которая в наше время осуществляется при помощи термопластичных материалов) на срок обычно 4-8 недель, в некоторых случаях — дольше.
Чем опасен перелом ладьевидной кости?
При переломе может нарушаться кровоснабжение проксимальной ладьевидной кости. Частое осложнение – развитие остеонекроза, даже при идеальном первоначальном лечении. Он может быть причиной нетрудоспособности и развития дегенеративного артрита.
Советы
СОВЕТ №1
Обратитесь к врачу сразу после травмы. Перелом ладьевидной кости может быть сложно диагностировать без рентгеновского снимка, поэтому важно получить профессиональную медицинскую помощь для правильного лечения.
СОВЕТ №2
Следуйте указаниям врача по поводу иммобилизации. Обычно для лечения перелома ладьевидной кости требуется наложение гипса или шины на 6-8 недель. Не снимайте повязку раньше времени, чтобы избежать осложнений.
СОВЕТ №3
После снятия гипса начните с легкой физической терапии. Упражнения на растяжку и укрепление помогут восстановить подвижность и силу запястья. Обратитесь к физиотерапевту для составления индивидуальной программы реабилитации.
СОВЕТ №4
Обратите внимание на свое питание. Убедитесь, что ваш рацион богат кальцием и витамином D, чтобы поддержать здоровье костей и ускорить процесс заживления.





