Причины
Предплечье состоит из мышечных тканей и двух основных костей – лучевой и локтевой, которые соединены между собой через лучелоктевые суставы.
Эта область тела наиболее подвержена травмам, возникающим в результате физических воздействий.
Разрывы мышц, переломы и ушибы могут привести к изменениям в кровеносных сосудах, возможному защемлению нервов и образованию гематом. Наиболее частыми причинами переломов являются механические травмы и осложнения, вызванные определенными заболеваниями.
Как лечить перелом кисти
Существует множество факторов, способствующих закрытому перелому предплечья, и они зависят от места повреждения. Таким образом, можно выделить несколько категорий травм:
- Перелом лучевой кости часто наблюдается у людей с заболеваниями, связанными с пониженной плотностью костной ткани. Травма обычно происходит при падении на вытянутую руку с опорой на ладонь.
- Сильный удар может привести к повреждению средней части, а также к перелому обеих костей предплечья.
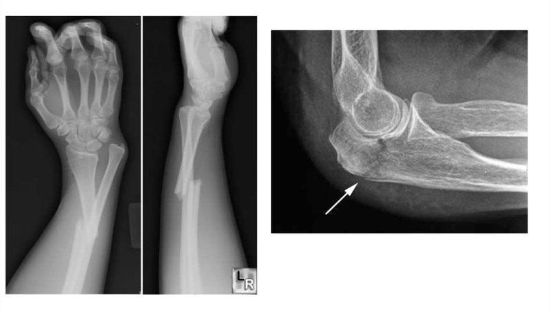
- Если при падении локоть был согнут, то может произойти травма венечного отростка.
- Локтевой отросток может быть поврежден из-за резкого сокращения мышцы, отвечающей за разгибание.
- Удар по предплечью может вызвать перелом Галеации, а если удар отражается согнутым или поднятым предплечьем, это может привести к перелому Монтеджа.
Врачи подчеркивают, что лечение перелома предплечья требует комплексного подхода. Первоначально необходимо провести рентгенографию для определения типа и степени повреждения. В большинстве случаев, при неосложненных переломах, применяется консервативное лечение, включающее иммобилизацию с помощью гипса на срок от 4 до 6 недель. Важно следить за состоянием пациента и при необходимости корректировать лечение. В случаях смещения костей или сложных переломов может потребоваться хирургическое вмешательство, чтобы восстановить анатомическую целостность. Реабилитация играет ключевую роль в восстановлении функции руки, поэтому врачи рекомендуют начинать физиотерапию сразу после снятия гипса. Правильное и своевременное лечение способствует быстрому выздоровлению и минимизирует риск осложнений.

Виды
Локализация травмы позволяет классифицировать переломы на несколько категорий:
- повреждения проксимальных сегментов;
- дистальные сегменты, известные как нижние части предплечья;
- диафизарные переломы.
Наиболее распространенным типом перелома предплечья является диафизарный. Он может затрагивать обе кости, локтевые суставы или сопровождаться вывихом. Переломы, которые происходят с вывихом, делятся на три основные группы:
- монтаггия – сочетает травму локтевой кости с вывихом головки лучевого сустава;
- перелом Галеацци – характеризуется диафизарным повреждением лучевой кости;
- дивергирующий перелом – при котором костные элементы разделяются или разрываются.
Интересный факт: Знаете ли вы, как правильно лечить перелом пястной кости
Количество отломков также влияет на степень повреждения: переломы могут быть простыми или оскольчатыми. В случае простого перелома имеется два надломленных участка, между которыми четко прослеживается линия перелома.
При оскольчатом переломе между двумя поврежденными участками могут находиться мелкие костные осколки, и их количество может быть значительным, что приводит к диагнозу многооскольчатый перелом.
| Стадия лечения | Методы лечения | Возможные осложнения |
|---|---|---|
| Первая помощь | Иммобилизация конечности шиной или косынкой, обезболивание (анальгетики), остановка кровотечения. | Некроз тканей, повреждение нервов и сосудов. |
| Иммобилизация | Гипсовая повязка, ортез. | Пролежни, отек, контрактура суставов, синдром запястного канала. |
| Реабилитация | Физиотерапия (УВЧ, электрофорез, магнитотерапия), лечебная физкультура (ЛФК), массаж. | Замедленная консолидация перелома, остаточные боли, ограничение подвижности. |
| Хирургическое вмешательство (при необходимости) | Остеосинтез (металлические пластины, винты, спицы), артродез. | Инфекция, повреждение нервов и сосудов, неправильное сращение костей. |
Симптомы
При переломе предплечья симптомы и методы лечения могут варьироваться. Признаки повреждения зависят от типа травмы.
Таким образом, по проявлениям травмы можно предварительно определить, с каким именно переломом мы имеем дело:
- Если у человека ограничены движения, а в области ушиба наблюдаются изменения и отек, это может указывать на перелом тела локтевой кости;
- При переломе лучевой кости предплечье деформируется, а пораженная область вызывает резкую боль при прикосновении, при этом отломки могут быть подвижными. В таком состоянии пациент не способен выполнять вращательные движения предплечьем;
- Перелом диафиза обеих костей часто сопровождается смещением отломков, в результате чего предплечье становится укороченным и деформированным.
При любом из перечисленных видов переломов также наблюдаются общие признаки нарушения целостности кости: резкая боль в области ушиба, возможны отек или гематома, а при пальпации травмированного участка возникают болезненные ощущения.
Если вы или ваши близкие испытываете подобные симптомы, необходимо вызвать «скорую помощь» и оказать первую помощь.
Люди, столкнувшиеся с переломом предплечья, часто делятся своим опытом лечения и восстановления. Многие отмечают, что важным шагом является своевременное обращение к врачу, так как правильная диагностика и лечение могут существенно ускорить процесс заживления. Некоторые рекомендуют использовать специальные повязки и шины, которые помогают зафиксировать руку в правильном положении.
Также распространены советы о необходимости соблюдать покой и избегать нагрузок на поврежденную конечность. Восстановление может занять от нескольких недель до нескольких месяцев, и в этот период важно следить за питанием, включая в рацион продукты, богатые кальцием и витамином D.
Физиотерапия и специальные упражнения, по мнению многих, играют ключевую роль в реабилитации, помогая вернуть подвижность и силу руке. В целом, люди подчеркивают, что терпение и соблюдение рекомендаций врача — залог успешного выздоровления.

Первая помощь
Первая помощь при переломе предплечья должна быть оказана пострадавшему немедленно на месте происшествия. Транспортировать пациента без медицинского сопровождения строго запрещено.
Поскольку такая травма сопровождается интенсивной болью, в первую очередь необходимо использовать обезболивающие препараты. Затем важно правильно зафиксировать поврежденный участок и провести процедуру охлаждения. Это можно сделать, приложив к месту травмы пакет со льдом.
Диагностика перелома предплечья
Специалист сможет установить диагноз после клинического обследования, которое включает в себя пальпацию поврежденной области, внешний осмотр и общение с пациентом. Тем не менее, для окончательной и точной диагностики требуется проведение рентгенологического исследования.
Кроме того, важно определить наличие переломных вывихов, так как игнорирование повреждений капсулы локтевого сустава может привести к серьезным последствиям.

Лечение
Лечение, как правило, осуществляется без хирургического вмешательства.
При вывихе головки лучевой кости предплечья необходимо провести вправление, чтобы обеспечить правильное срастание с другими костными структурами. После этого на поврежденную область накладывают гипс на срок до 10 недель.
На втором этапе лечения можно переходить к более активным упражнениям. Физическую активность можно осуществлять с помощью резинового мяча, который следует сжимать и разжимать, избегая резких движений.
Весь процесс лечебной физкультуры должен проходить под строгим контролем врача, который будет следить за правильностью выполнения упражнений и предотвращать чрезмерные нагрузки на поврежденную область.
Заключение
Перелом предплечья значительно меняет привычный ритм жизни, так как способность к работе снижается до минимума, особенно если профессия связана с активной деятельностью рук. Безусловно, процесс лечения и восстановления занимает продолжительное время, однако такие травмы требуют профессионального подхода, особенно если перелом сопровождается вывихом.
Поэтому важно как можно скорее обратиться к опытному специалисту и строго следовать всем рекомендациям в зависимости от типа перелома.
Вопрос-ответ
Как долго заживает перелом предплечья
Реабилитация. Гипсовую повязку снимают после рентгенологического подтверждения восстановления целостности костной ткани – как правило, через 4-5 недель. Длительность иммобилизации руки после открытой репозиции составляет около 6 недель.
Как врачи лечат переломы предплечья
Хирургическое вмешательство проводится в большинстве случаев переломов предплечья и обычно осуществляется через один или два разреза на разных уровнях и сторонах предплечья. Переломы репонируются и фиксируются пластинами и винтами. После операции на предплечье накладывается короткая шина для комфорта и защиты.
Какая первая помощь нужна при переломе предплечья
Первая помощь при переломах костей предплечья заключается в обезболивании и фиксации поврежденной конечности. В течение нескольких часов рекомендуют наложение холода для предотвращения развития отека. Больной доставляется к врачу.
Советы
СОВЕТ №1
Обратитесь к врачу как можно скорее. При подозрении на перелом предплечья важно получить профессиональную медицинскую помощь. Врач проведет необходимые обследования, такие как рентген, и назначит правильное лечение.
СОВЕТ №2
Следуйте указаниям врача по immobilизации. После диагностики перелома вам, скорее всего, наложат гипс или шину. Очень важно соблюдать рекомендации по срокам ношения и уходу за фиксирующими средствами, чтобы обеспечить правильное сращение кости.
СОВЕТ №3
Не забывайте о реабилитации. После снятия гипса важно постепенно восстанавливать подвижность и силу предплечья. Консультируйтесь с физиотерапевтом для разработки индивидуальной программы упражнений, которая поможет вам вернуться к обычной активности.
СОВЕТ №4
Обратите внимание на питание. Для ускорения процесса заживления важно употреблять продукты, богатые кальцием и витамином D, такие как молочные продукты, рыба и зеленые овощи. Это поможет укрепить кости и поддержать их восстановление.



